Michael F Dombrowski, DPT (@dr_dombrowski) 's Twitter Profile
Michael F Dombrowski, DPT

@dr_dombrowski

TPI Certified Expert🔸Residency Trained Orthopaedic Manual Physical Therapist▪️Muscle Energy▪️Myofascial Release▪️Joint Manipulations▪️ART▪️PNF▪️Redcord NEURAC

ID: 374730035

linkhttps://linktr.ee/DrDombrowski calendar_today16-09-2011 20:48:10

93 Tweet

179 Followers

2,2K Following

Michael "Mike" Albert, MD (@michaelalbertmd) 's Twitter Profile Photo

Diagnosed my first case of Trigeminal Neuralgia due to acute #COVID19. I’ve heard of ageusia and anosmia, but this is the first I’ve seen of CN5 involvement. It appears that the 🦠 hangs out in the cranial nerves? Anyone else seeing similar cases? #medtwitter #COVID4MDs

Diagnosed my first case of Trigeminal Neuralgia due to acute #COVID19. I’ve heard of ageusia and anosmia, but this is the first I’ve seen of CN5 involvement. It appears that the 🦠 hangs out in the cranial nerves? Anyone else seeing similar cases? #medtwitter #COVID4MDs
Benoît Rizk (@drbenoitrizk) 's Twitter Profile Photo

Sagittal vertical fracture line through C5 vertebral body after axial compression trauma with left lamina fracture. Fracture of C4 right articular facet. Fortunately no vertebral artery dissection nor medullary lesion. #MSKrad #spine ajronline.org/doi/pdf/10.221…

Sagittal vertical fracture line through C5 vertebral body after axial compression trauma with left lamina fracture. Fracture of C4 right articular facet. Fortunately no vertebral artery dissection nor medullary lesion. #MSKrad #spine
ajronline.org/doi/pdf/10.221…
Muhammad Ali (@muhammadali) 's Twitter Profile Photo

“I know where I'm going and I know the truth, and I don't have to be what you want me to be. I'm free to be what I want.” - #MuhammadAli 📸 #KenRegan #TheGreatest #Freedom #Respect

“I know where I'm going and I know the truth, and I don't have to be what you want me to be. I'm free to be what I want.” - #MuhammadAli

📸 #KenRegan #TheGreatest #Freedom #Respect
Gavin Preston, M.D. (@gavinprestonmd) 's Twitter Profile Photo

Four traits I admire in a doctor: 1. Humility. (Keep asking why) 2. Compassion. (No one cares how much you know, until they know how much you care) 3. Integrity. (Say what you do, do what you say) 4. Diligence. (Keep working the problem) #Meded #medtwitter

Bharti Khurana, MD, MBA, FACR, FASER (@khuranabharti) 's Twitter Profile Photo

Posterior shoulder fracture-dislocation #radres look at the loss of overlap between glenoid & humeral head and trough sign on AP; obvious on axillary #FOAMed #FOAMrad #EMRad #MSkrad #MedEd #orthotwitter

Posterior shoulder fracture-dislocation #radres look at the loss of overlap between glenoid & humeral head and trough sign on AP; obvious on axillary #FOAMed #FOAMrad #EMRad #MSkrad #MedEd #orthotwitter
TPI (@mytpi) 's Twitter Profile Photo

If he ever gets tired of playing, Jon Rahm Rodriguez could have a career in coaching. A great understanding of the movement intent and technique. Full movement prep with Rahm, Spencer Tatum on YouTube: youtube.com/watch?v=AzCqG5…

PADI (@padi) 's Twitter Profile Photo

With a view like this, it's no surprise why divers never want their dive to end! Tag a buddy you want to go shark diving with! 📷: IG user ericdevicente - Maldives

With a view like this, it's no surprise why divers never want their dive to end! Tag a buddy you want to go shark diving with! 📷: IG user ericdevicente - Maldives
Amy West MD, EdM, CF-L2, CAQSM (@amywestmd) 's Twitter Profile Photo

The government partnering with corporations to track and limit what you buy and eat. Regardless of your meat consumption preferences, this should concern you.

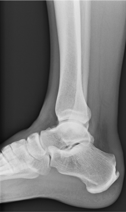
Jan Szatkowski (@orthotraumamd) 's Twitter Profile Photo

A 38 M was playing soccer and swears he was hit from behind. See anything on these x-rays? What's the diagnosis? What would you do? #MedTwitter #orthotwitter

A 38 M was playing soccer and swears he was hit from behind. See anything on these x-rays? What's the diagnosis? What would you do? #MedTwitter #orthotwitter
JS Watch Co. Reykjavik (@js_watch) 's Twitter Profile Photo

Jon Snow was here...! We are Proud to Introduce the Newest Member in our Hall of Fame, Kit Harington, best known for his role as Jon Snow in the hit television series Game of Thrones. #jswatch #reykjavik #iceland #winteriscoming #gameofthrones #kitharington #jonsnow

Jon Snow was here...! We are Proud to Introduce the Newest Member in our Hall of Fame, Kit Harington, best known for his role as Jon Snow in the hit television series Game of Thrones. #jswatch #reykjavik #iceland #winteriscoming #gameofthrones #kitharington #jonsnow
PADI (@padi) 's Twitter Profile Photo

Out of these four iconic dive destinations, which one is at the very top of your bucket list: Silfra Fissure, Raja Ampat, the Sardine Run in South Africa, or the Galapagos? padi.co/ZES9Nh

Out of these four iconic dive destinations, which one is at the very top of your bucket list: Silfra Fissure, Raja Ampat, the Sardine Run in South Africa, or the Galapagos?  padi.co/ZES9Nh