Diego Morales, MD (@diegomoralesn) 's Twitter Profile
Diego Morales, MD

@diegomoralesn

Always a student. I like lenses & I’m very curious. #DermPath #SurgPath #birding #ILikeLenses #pathfulness. Opinions my own. Tweets are not medical advice.

ID: 94004205

calendar_today02-12-2009 02:44:04

2,2K Tweet

2,2K Takipçi

746 Takip Edilen

KiKo (@kiko4docs) 's Twitter Profile Photo

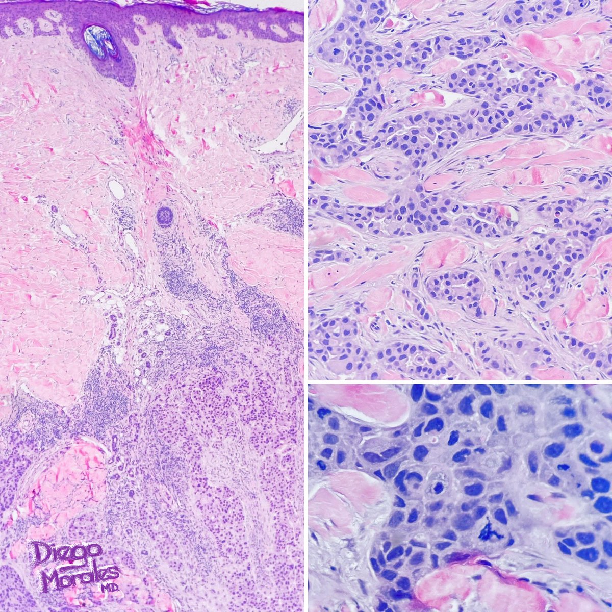
Easy to miss! ⚠️ What's happening here? More pics, immunostains & answer: kikoxp.com/posts/24795 More posts from Dr. Diego Morales, MD kikoxp.com/diego_morales1 #medTwitter #pathology #pathologists #pathTwitter #dermpath #dermatology #dermatologia #dermtwitter

Easy to miss! ⚠️ What's happening here? 
More pics, immunostains & answer: kikoxp.com/posts/24795 
More posts from Dr. <a href="/DiegoMoralesN/">Diego Morales, MD</a> kikoxp.com/diego_morales1 
#medTwitter #pathology #pathologists #pathTwitter #dermpath #dermatology #dermatologia #dermtwitter
Diego Morales, MD (@diegomoralesn) 's Twitter Profile Photo

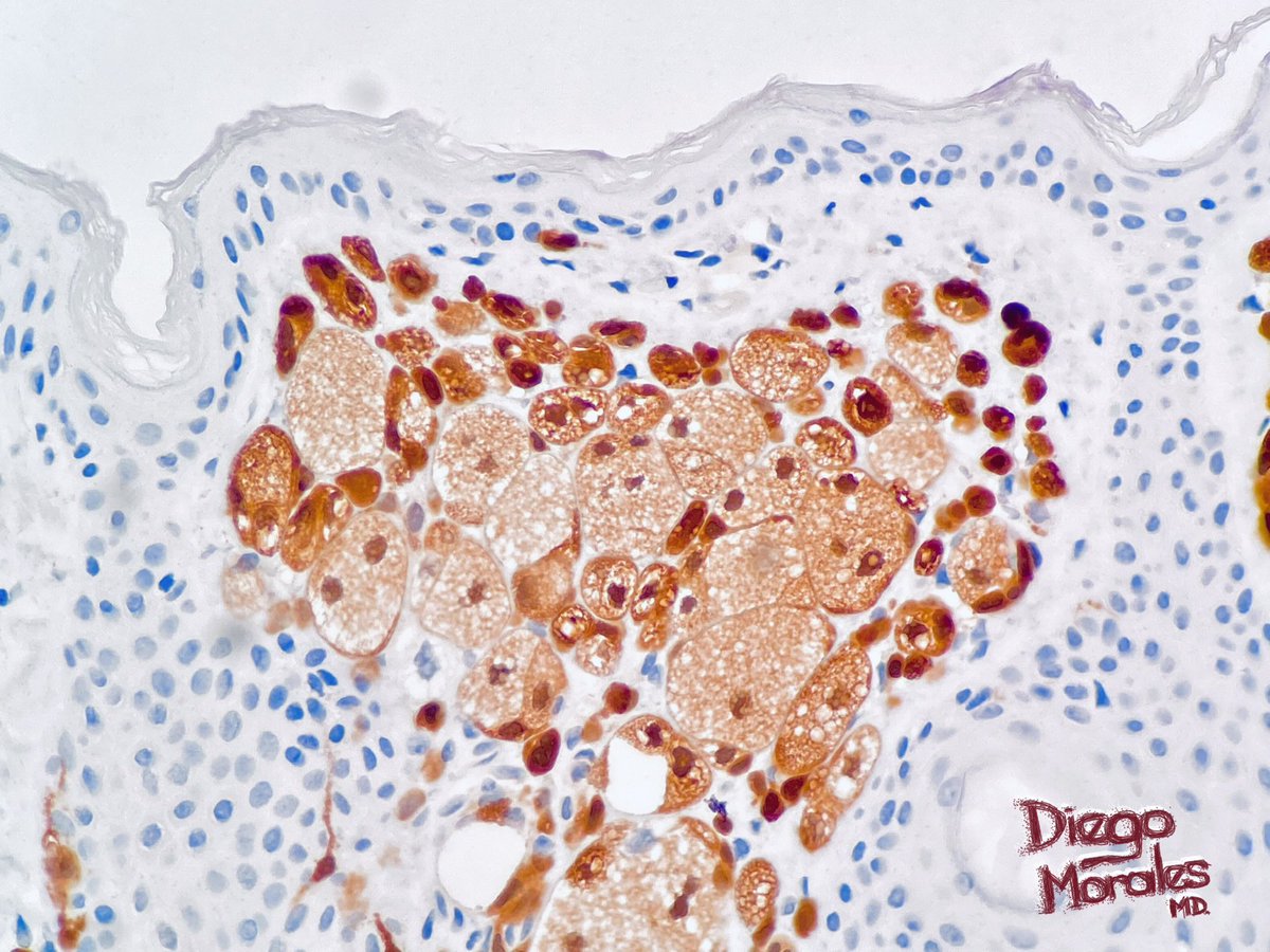
PRAME expression in a cutaneous metastasis of HER2+ breast carcinoma. Some studies (i.e. PMID: 31869767) have reported ⬆️ detection of PRAME in the HER2+ variant of breast CA. It has been correlated with worse prognosis & ⬇️ patient survival. #PathTwitter #dermpath #patologia

PRAME expression in a cutaneous metastasis of HER2+ breast carcinoma. 

Some studies (i.e. PMID: 31869767) have reported ⬆️ detection of PRAME in the HER2+ variant of breast CA. It has been correlated with worse prognosis &amp; ⬇️ patient survival. 

#PathTwitter #dermpath #patologia
Diego Morales, MD (@diegomoralesn) 's Twitter Profile Photo

PRAME expression in myofibroblasts of a scar in an excision of melanocytic lesion, a potential pitfall. Reported last year for the 1st time in this letter to the editor pubmed.ncbi.nlm.nih.gov/35103337/, and this case is a first for me. #PathTwitter #dermpath #ihcpath

PRAME expression in myofibroblasts of a scar in an excision of melanocytic lesion, a potential pitfall.

Reported last year for the 1st time in this letter to the editor pubmed.ncbi.nlm.nih.gov/35103337/, and this case is a first for me.

#PathTwitter #dermpath #ihcpath
Jacob Smalberger, M.D. (@jacobsmalberger) 's Twitter Profile Photo

1/2. Teen♂️Face Looks like a Spitz nevus to me. P16 uniformly retained. Question: Do you give an excision recommendation on your report? If yes, how many millimeters, or just generic excise NOS? Tim McCalmont Henry YANG Arnaud de la Fouchardiere MD, PhD Diego Morales, MD Christine J. Ko, MD Steven

1/2.
Teen♂️Face
Looks like a Spitz nevus to me. P16 uniformly retained.
Question: Do you give an excision recommendation on your report? If yes, how many millimeters, or just generic excise NOS?
<a href="/mccalmo/">Tim McCalmont</a> <a href="/HENRYY_MD/">Henry YANG</a> <a href="/melanopath/">Arnaud de la Fouchardiere MD, PhD</a> <a href="/DiegoMoralesN/">Diego Morales, MD</a>
<a href="/ChristineJKoMD/">Christine J. Ko, MD</a> <a href="/STEVENKOLKERMD/">Steven</a>
Diego Morales, MD (@diegomoralesn) 's Twitter Profile Photo

The "Eyeliner Sign" in melanoma! While the #EyelinerSign is often linked with SCC in situ/Bowen’s disease or occasionally Paget’s, this case of nevoid (nested) melanoma in situ is showcasing the same distinctive feature. #DermPath #PathTwitter #pathfulness

The "Eyeliner Sign" in melanoma!

While the #EyelinerSign is often linked with SCC in situ/Bowen’s disease or occasionally Paget’s, this case of nevoid (nested) melanoma in situ is showcasing the same distinctive feature. #DermPath #PathTwitter #pathfulness
Diego Morales, MD (@diegomoralesn) 's Twitter Profile Photo

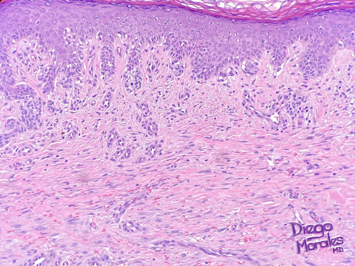
A “floating nest” Ring-like cleft around a nevus nest. In nevi, they are mostly -but not exclusively- seen in Spitz tribe. Also, clefts have been proposed as a adjuvant clue for a dx of melanoma (Bernie’s Clue 34). #dermpath #pathtwitter #tooprettynottoshare

A “floating nest”

Ring-like cleft around a nevus nest. In nevi, they are mostly -but not exclusively- seen in Spitz tribe. Also, clefts have been proposed as a adjuvant clue for a dx of melanoma (Bernie’s Clue 34). #dermpath #pathtwitter #tooprettynottoshare
Diego Morales, MD (@diegomoralesn) 's Twitter Profile Photo

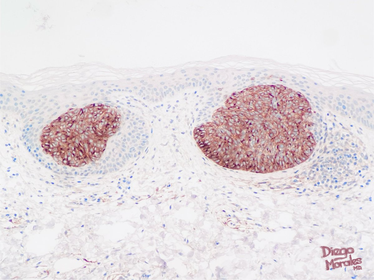
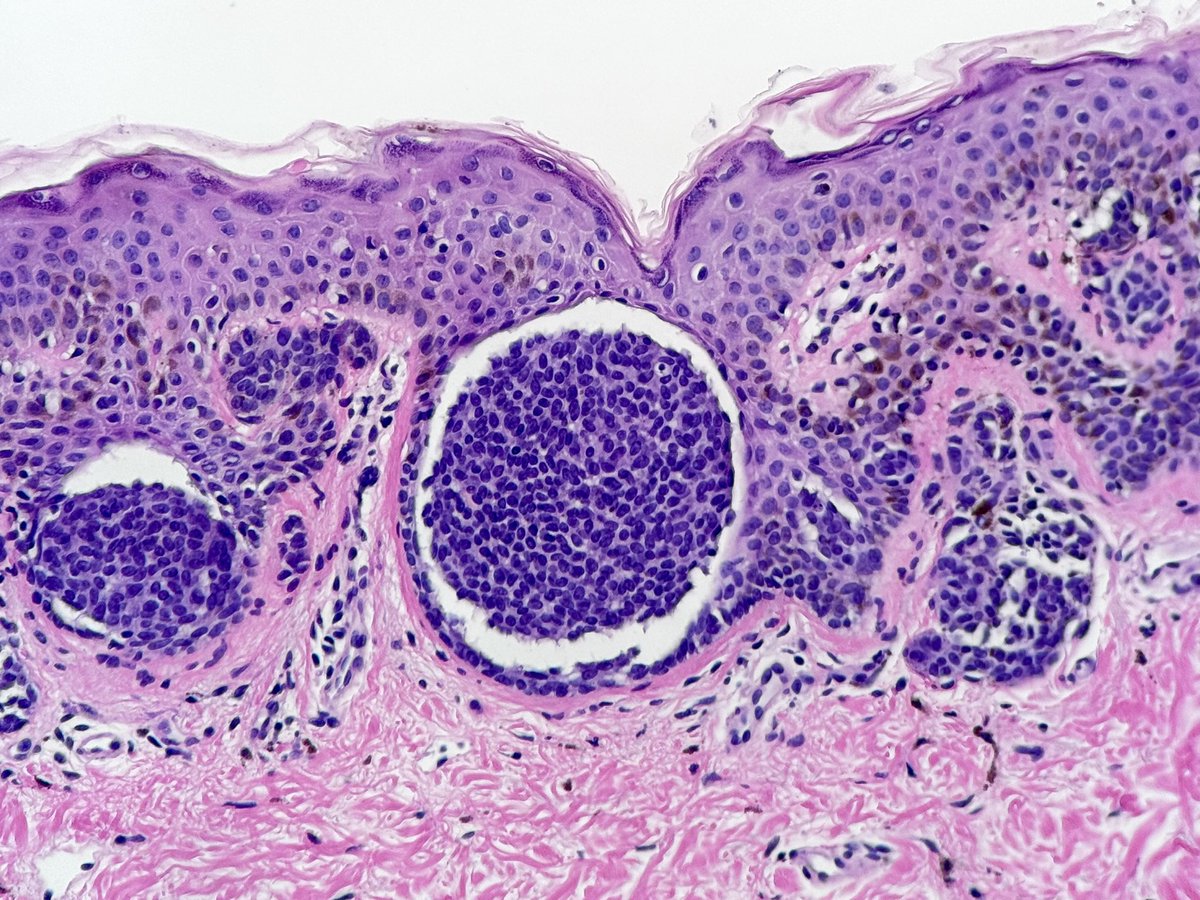
A sort of pseudo-#EyelinerSign, focal finding in a superficial basal cell carcinoma showing some intraepidermally located nests above the dermoepidermal junction. The IHC is BerEp4. #dermpath #pathtwitter #tooprettynottoshare #pathfulness #freudeandermorphologie

A sort of pseudo-#EyelinerSign, focal finding in a superficial basal cell carcinoma showing some intraepidermally located nests above the dermoepidermal junction. The IHC is BerEp4. #dermpath #pathtwitter #tooprettynottoshare #pathfulness #freudeandermorphologie
Diego Morales, MD (@diegomoralesn) 's Twitter Profile Photo

This epidermal mitosis seems appropriate for today’s date. #JoyForMorfology #freudeandermorphologie #tooprettynottoshare #histobeauty #reallifedermpath #dermpath

This epidermal mitosis seems appropriate for today’s date.

#JoyForMorfology #freudeandermorphologie #tooprettynottoshare #histobeauty #reallifedermpath #dermpath