
DermpathJC
@dermpathjc
The First Dermatopathology Online Journal Club #dermpathJC 🌎🔬🌏😎 @ASDPTweets #dermpath #dermatology #pathology @SGottesmanMD tweeting as @DermpathJC
ID: 842744354808745984
http://www.dermpathjc.com 17-03-2017 14:28:06
2,2K Tweet
3,3K Takipçi
1,1K Takip Edilen

Silvija Gottesman MD Alejandro Gru (Ale) J Cutan Pathol Katy Veprauskas Maxwell Fung, MD Gregory A Hosler Henry YANG David Terrano Dermpath-L Dermpath_doc_trish Tristan Rutland MBBS FRCPA IFCAP Etan Marks, DO Maryam Aghighi, MD. DABP. Jerad Gardner, MD Cacey Peters, MD, FCAP, FASDP Pembe Oltulu, MD Walter Klein MD Andrea P Moy, MD Patrick Rush Jisun Cha MD FAAD Sara Shalin James A. Ramirez Joseph Susa, DO Rosalynn Nazarian MD 🅰🅼🆈🅷🅳🅴🅴🅺🅴🅽🅼🅳 Mariantonieta Tirado Vijay Shankar S Mike DeWall, D.O. Olaleke Folaranmi David Larson Luis Humberto Cruz C Kamran Mirza MD PhD - کامران مرزا Toño Navarro, M.D. 🔬🎗️ Nicole D. Riddle, MD, MSHI, FCAP (she/her) Do you need a vulvar dermatopathology review?! Check out our #dermpathJC summary from the bright Haneen Salah live on our website. And don’t forget to watch the embedded YouTube video, a Q&A session with the amazing Dr May P. Chan. #dermpath #gynpath dermpathjc.com/2022/01/25/der…

Silvija Gottesman MD Alejandro Gru (Ale) J Cutan Pathol Katy Veprauskas Maxwell Fung, MD Gregory A Hosler Henry YANG David Terrano Dermpath-L Dermpath_doc_trish Tristan Rutland MBBS FRCPA IFCAP Etan Marks, DO Maryam Aghighi, MD. DABP. Jerad Gardner, MD Cacey Peters, MD, FCAP, FASDP Pembe Oltulu, MD Walter Klein MD Andrea P Moy, MD Patrick Rush Jisun Cha MD FAAD Sara Shalin James A. Ramirez Joseph Susa, DO Rosalynn Nazarian MD 🅰🅼🆈🅷🅳🅴🅴🅺🅴🅽🅼🅳 Mariantonieta Tirado Vijay Shankar S Mike DeWall, D.O. Olaleke Folaranmi David Larson Luis Humberto Cruz C Kamran Mirza MD PhD - کامران مرزا Toño Navarro, M.D. 🔬🎗️ Nicole D. Riddle, MD, MSHI, FCAP (she/her) Haneen Salah Ladies and gentleman. She's done it again! The bright Dr. Haneen Salah prepared another post #dermpathJC summary. Nice recap of "Lichenoid dermatoses with pseudomelanocytic nests vs inflamed #melanoma in situ" is available at the link: dermpathjc.com/2022/03/22/der… #dermpath #pathology

Hello #dermpathJC! Ready to start an exciting journal club? Silvija Gottesman MD here. No COI.



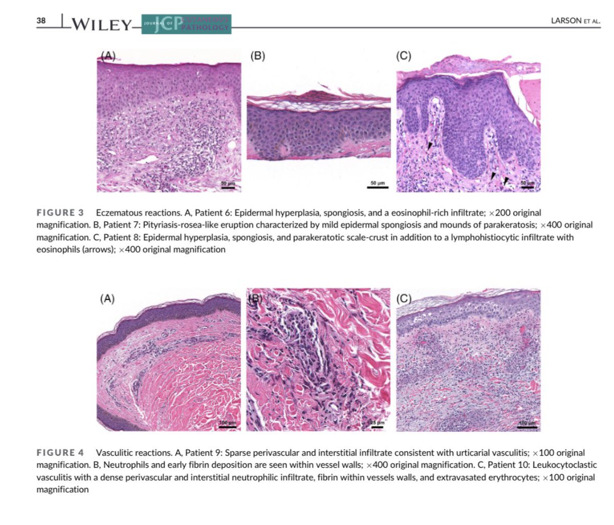
Jerad Gardner, MD DermpathJC Dermpath_doc_trish they have 803 vaccine reactions reported, 58 (7%) cases had biopsy done. The most common histopathologic reaction pattern was spongiotic dermatitis, which clinically ranged from robust papules with overlying crust, to PR-like eruptions, to pink papules with fine scale.#dermpathJC



DermpathJC Hello #dermpathJC. Small vessel vasculitic pattern reactions following #COVID19 vaccination in 4 patients was also described in a case series published in the BJD. (Un)fortunately, only 12% of the 405 cases from the series had histology for review.

Hello #dermpathJC. Good to see you again! Silvija Gottesman MD here. No COI.

Not familiar with this entity GLI1 mesenchymal neoplasms enlighten us Gregory A Hosler #dermpathjc



Gregory A Hosler I was just going to ask if there's one feature we should keep an eye out for -- would it be the pericyte pattern? #dermpathjc



Thank you Gregory A Hosler. Learned something new today!! We will keep the regular schedule after the holidays and see you back on the fourth Thursday of the month. Next #dermpathJC to take place on January 26th at 9pm EST. #dermpath

Silvija Gottesman MD Alejandro Gru (Ale) J Cutan Pathol Katy Veprauskas Maxwell Fung, MD Gregory A Hosler Henry YANG David Terrano Dermpath-L Dermpath_doc_trish Tristan Rutland MBBS FRCPA IFCAP Etan Marks, DO Maryam Aghighi, MD. DABP. Jerad Gardner, MD Cacey Peters, MD, FCAP, FASDP Pembe Oltulu, MD Walter Klein MD Andrea P Moy, MD Patrick Rush Jisun Cha MD FAAD Sara Shalin James A. Ramirez Joseph Susa, DO Rosalynn Nazarian MD 🅰🅼🆈🅷🅳🅴🅴🅺🅴🅽🅼🅳 Mariantonieta Tirado Vijay Shankar S Mike DeWall, D.O. Olaleke Folaranmi David Larson Luis Humberto Cruz C Kamran Mirza MD PhD - کامران مرزا Toño Navarro, M.D. 🔬🎗️ Nicole D. Riddle, MD, MSHI, FCAP (she/her) Haneen Salah Save the Date. Save the Date. Hot off the press. Next #dermpathJC to take place on 01/26/23 at 9pm EST, here on Twitter. Open access link at: jamanetwork.com/journals/jaman… #dermpath


Hello #dermpathJC, first journal club in the New Year! Silvija Gottesman MD here. No COI. Reporting from New York. Sadly no snow here!!! #dermpath
