Colton Smith, DO (@coltonjsmith_do) 's Twitter Profile
Colton Smith, DO

@coltonjsmith_do

🔬PGY-3, Chief Resident, AP/CP Rutgers @PathologyRWJMS (he/him/his)🏳️‍🌈 Future #GYNPath fellow @JHUPath

ID: 1280272661931794438

calendar_today06-07-2020 22:49:37

281 Tweet

464 Takipçi

973 Takip Edilen

Ashley Winter MD || Urologist (@ashleygwinter) 's Twitter Profile Photo

(1/4)HORMONE FACTS THAT WILL EXPLODE YOUR BRAIN. You probably spent most of your life thinking that women have lots of estradiol & men have lots of testosterone. That sex hormones were this kinda binary phenom. You probably saw horrible graphs like THIS (w/ NO AXIS LABELING):

(1/4)HORMONE FACTS THAT WILL EXPLODE YOUR BRAIN.

You probably spent most of your life thinking that women have lots of estradiol & men have lots of testosterone. 

That sex hormones were this kinda binary phenom.

You probably saw horrible graphs like THIS (w/ NO AXIS LABELING):
Tania Labiano (@tlabiano) 's Twitter Profile Photo

Pulmonary lymphangitic carcinomatosis- Lymphatic vessels occupied by tumor nests around a pulmonary artery. #pulmpath 🫁 #lungcancer

Pulmonary lymphangitic carcinomatosis- Lymphatic vessels occupied by tumor nests around a pulmonary artery. 
#pulmpath 🫁 #lungcancer
Kamran Mirza MD PhD - کامران مرزا (@kmirza) 's Twitter Profile Photo

.Jonathan Van Ness - so excited! Jonathan, have you ever wondered where diagnoses come from? #pathologists are doctors that demystify all human disease! Would love to discuss this magical ‘behind the scenes’ world of Medicine with you! Can #PathTwitter please RT? #ShowJVNthePath 👋🏽

.<a href="/jvn/">Jonathan Van Ness</a> - so excited! 

Jonathan, have you ever wondered where diagnoses come from? 

#pathologists are doctors that demystify all human disease!

Would love to discuss this magical ‘behind the scenes’ world of Medicine with you!

Can #PathTwitter please RT? 

#ShowJVNthePath 👋🏽
Anthony Chan 💙💛 (@anthonywhchan) 's Twitter Profile Photo

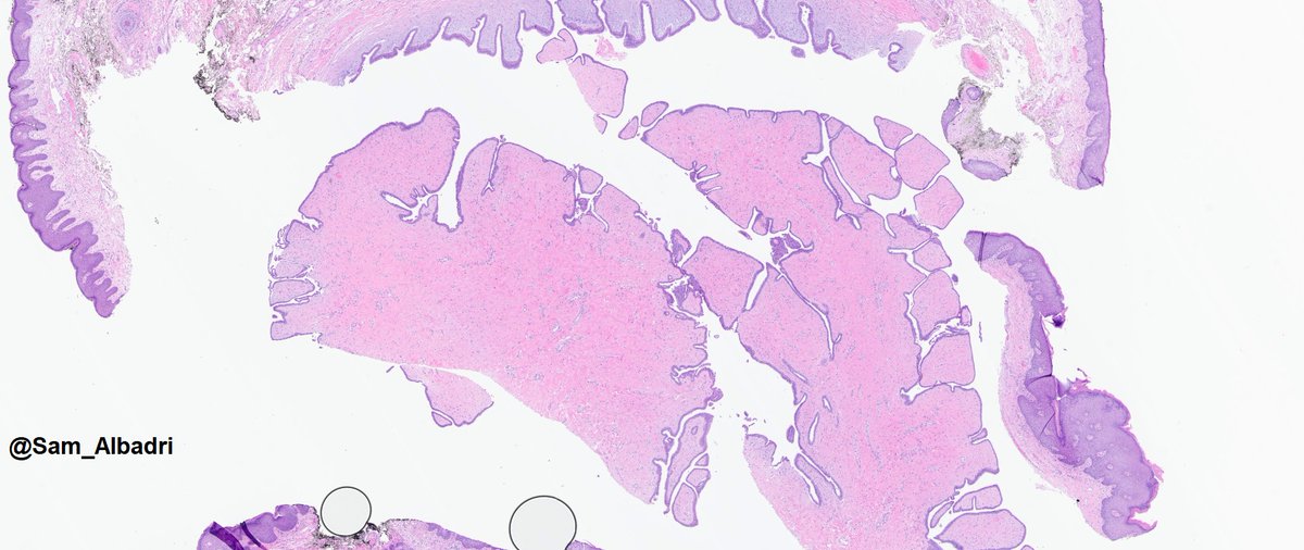
(1/6) A 70-yo female underwent wedge excision for a 1 cm gastric wall "GIST" H&E x2 and desmin x2 #pathology #GIpath #gastroenterology #PathTwitter #ImageOfTheDay

(1/6)
A 70-yo female underwent wedge excision for a 1 cm gastric wall "GIST"

H&amp;E x2 and desmin x2
#pathology #GIpath #gastroenterology #PathTwitter #ImageOfTheDay
Kamran Mirza MD PhD - کامران مرزا (@kmirza) 's Twitter Profile Photo

Over 46,000 impressions, Jonathan Van Ness 🤩🤩 We’re still ready to get you curious about #pathology and how diagnoses are made in a hospital! Please retweet to get Jonathan’s attention! #ShowJVNthePath

Elizabeth Montgomery, MD (@lizmontgomerymd) 's Twitter Profile Photo

Brunner gland hamartoma with adipose tissue as an integral part; the feature makes it distinct from hyperplasia. However, on a tiny sample, it's often not very clear.

Brunner gland hamartoma with adipose tissue as an integral part; the feature makes it distinct from hyperplasia.  However, on a tiny sample, it's often not very clear.
I Heart Histo (@ihearthisto) 's Twitter Profile Photo

💗LOVE in strange places (2022 edition)💗 By row 1💗skin cylindroma 2💗bile duct 3💗pancreas 4💗warty penile growth 5💗colon 6💗hypodermis 7💗oocyte 8💗chondrosarcoma 9💗artery 💗Happy Valentine's Day💗 📷by @ihearthisto (#5 by Donna Horncastle) #histology #anatomy #pathology

💗LOVE in strange places (2022 edition)💗

By row
1💗skin cylindroma
2💗bile duct
3💗pancreas
4💗warty penile growth
5💗colon
6💗hypodermis
7💗oocyte
8💗chondrosarcoma
9💗artery

💗Happy Valentine's Day💗

📷by @ihearthisto (#5 by <a href="/HorncastleDonna/">Donna Horncastle</a>)
#histology  #anatomy #pathology
Anne Mills (@annemillsmd) 's Twitter Profile Photo

Remember that rare cytoplasmic-only p53 staining pattern? Here’s a great example of it in a high-grade serous carcinoma! Important to recognize as abnormal: this is NOT wild-type and indicates a TP53 mutation!

Remember that rare cytoplasmic-only p53 staining pattern?  Here’s a great example of it in a high-grade serous carcinoma!  Important to recognize as abnormal: this is NOT wild-type and indicates a TP53 mutation!
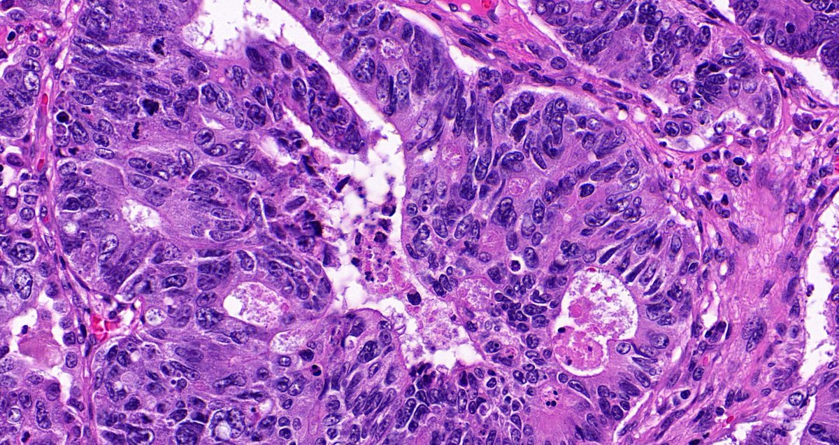
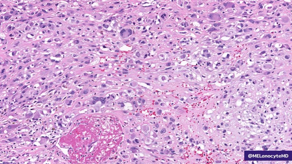
Melanie Bourgeau, MD (@melanocytemd) 's Twitter Profile Photo

50♀️ with rapidly enlarging, painful forearm mass. ➡️ Differential diagnosis? ➡️ Confirmatory IHC? ➡️ Prognostic significance of this subtype? 🔎 WSI: kikoxp.com/posts/9763 💡 Answer: kikoxp.com/posts/9766 #bstpath #pathboards #Kiko25 KiKo

50♀️ with rapidly enlarging, painful forearm mass.

➡️ Differential diagnosis?
➡️ Confirmatory IHC?
➡️ Prognostic significance of this subtype?

🔎 WSI: kikoxp.com/posts/9763
💡 Answer: kikoxp.com/posts/9766

#bstpath #pathboards #Kiko25 <a href="/kiko4docs/">KiKo</a>
syed t. hoda (@01sth02) 's Twitter Profile Photo

pathologists recently topped a list of physicians w/ suicidal thoughts posted around Twitter last week. if you are not feeling well, please reach out to someone that you trust, online or in-person—to help yourself. i, along with many others, am here. #pathtwitter

pathologists recently topped a list 
of physicians w/ suicidal thoughts 
posted around Twitter last week. 

if you are not feeling well, please reach 
out to someone that you trust, online 
or in-person—to help yourself. 

i, along with many others, am here. 

#pathtwitter
Gloria Sura, MD (@gloria_suramd) 's Twitter Profile Photo

Endoscopic fine needle aspiration of a mass in the head of the pancreas. Ductal adenocarcinoma cells are seen adjacent to a sheet of benign ductal cells. #PathArt #PathTwitter #Cytopath #Pathology

Endoscopic fine needle aspiration of a mass in the head of the pancreas. Ductal adenocarcinoma cells are seen adjacent to a sheet of benign ductal cells. #PathArt #PathTwitter #Cytopath #Pathology
Dr. Luca (@atman_ci) 's Twitter Profile Photo

Thanks all for answer! Case N.1 is a nice example of SMILE (stratified mucin-producing intraepithelial lesion), one of best acronyms ever in #Pathology! here for you the strongly expressed p16 M.hossein shahidi Anandi Lobo, MD Barry McGinn SANO Naoki, MD, Pathologist, Japan Kalyani Bambal #PathTwitter #gynpath

Thanks all for answer! Case N.1 is a nice example of SMILE (stratified mucin-producing intraepithelial lesion), one of best acronyms ever in #Pathology! here for you the strongly expressed p16  <a href="/shahidi_hossein/">M.hossein shahidi</a>  <a href="/LoboAnandi/">Anandi Lobo, MD</a> <a href="/DrBMcGinn/">Barry McGinn</a> <a href="/NeoCrazee/">SANO Naoki, MD, Pathologist, Japan</a> <a href="/kriyer68/">Kalyani Bambal</a> #PathTwitter #gynpath
LAPF Patología (@latinamericanpf) 's Twitter Profile Photo

Recien nacido de embarazo y parto normal. Al nacer se encontró una pequena lesion de tejido pedunculado firme que sobresalía de la boca. La lesion estaba adherida a la encía del maxilar, midiendo 1.5 cm.'' Autor: Cristo Guardado

Recien nacido de embarazo y parto normal.  Al nacer se encontró una pequena lesion de tejido pedunculado firme que sobresalía de la boca. La lesion estaba adherida a la encía del maxilar, midiendo 1.5 cm.''
Autor: <a href="/cristoguardado1/">Cristo Guardado</a>
Jerad Gardner, MD (@jmgardnermd) 's Twitter Profile Photo

One classic pic. Your diagnosis? Answer & more images: kikoxp.com/posts/8614. Video: kikoxp.com/posts/4425. #pathology #pathologists #pathTwitter #dermpath #dermatology #dermatologia #dermtwitter

One classic pic. Your diagnosis? Answer &amp; more images:  kikoxp.com/posts/8614. Video: kikoxp.com/posts/4425. #pathology #pathologists #pathTwitter #dermpath #dermatology #dermatologia #dermtwitter
Upasana Joneja (@ujoneja) 's Twitter Profile Photo

Pathology trainees/budding pathologists take note: #AceMyPath team is soon releasing a surgical pathology boards review book like none other "ACE THE BOARDS: SURGICAL PATHOLOGY REIMAGINED" Here is a glimpse of what is to come! #Happylearning Ace My Path Akanksha Gupta, MD