Cjtapfuma (@cjtapfuma) 's Twitter Profile
Cjtapfuma

@cjtapfuma

My mind

ID: 1404346516253265922

calendar_today14-06-2021 07:54:48

983 Tweet

604 Followers

827 Following

Queen of BaTongađź‘‘ (@the_tonga_queen) 's Twitter Profile Photo

Ndokumbirawo 100 Reposts This is how skin cancer start, meet Samasa Moyo 26, today she approached us very worried about changes of her skin due to lack of sncreen and excessive heat. She is a young mother who is largely working outdoors in the rural areas of Esigodini. The sad

Ndokumbirawo 100 Reposts 
This is how skin cancer start, meet Samasa Moyo 26, today she approached us very worried about changes of her skin due to lack of sncreen and excessive heat. She is a young mother who is largely working outdoors in the rural areas of Esigodini. The sad
Hopewell Chin’ono (@daddyhope) 's Twitter Profile Photo

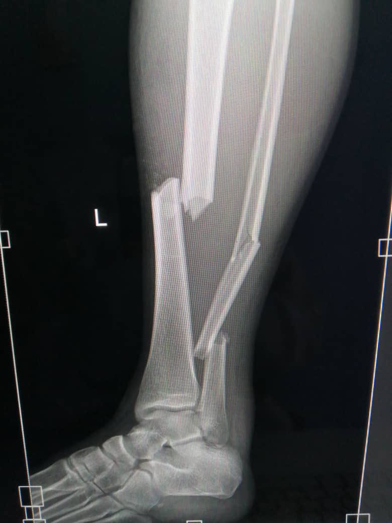
APPEALING FOR HELP FOR TINOTENDA MUNAVA Tinotenda Munava (22years) had an accident on 14 August 2025 and was taken to Harare Central Hospital. His leg was broken in 3 places. See picture below. The doctors now recommend a surgical procedure to hold the broken bones together

APPEALING FOR HELP FOR TINOTENDA MUNAVA

Tinotenda Munava (22years) had an accident on 14 August 2025 and was taken to Harare Central Hospital. His leg was broken in 3 places. See picture below. 

The doctors now recommend a surgical procedure to hold the broken bones together
Zimbabwe Republic Police (@policezimbabwe) 's Twitter Profile Photo

Police in Harare are appealing for information which may assist in locating Primrose Nyakarubve (14) of Tanaka New Stands, Glenview 7, who went missing in Glen View 7. The missing person was last seen on 30/07/25 wearing a white top, black skirt and black sandals. Anyone with

Police in Harare are appealing for information which may assist in locating Primrose Nyakarubve (14) of Tanaka New Stands, Glenview 7, who went missing in Glen View 7. The missing person was last seen on 30/07/25 wearing a white top, black skirt and black sandals. Anyone with
Crime Watch Zimbabwe (@crimewatchzw) 's Twitter Profile Photo

🚨MISSING GIRL – PLEASE HELP FIND HER🚨 Thandiwe Moyo, a 17-year-old girl from Sauerstown, Bulawayo, has been missing since 20 September 2025 (about 4 weeks ago). She is a student at Townsend Girls High School and has not returned home or contacted her family or friends since

🚨MISSING GIRL – PLEASE HELP FIND HER🚨

Thandiwe Moyo, a 17-year-old girl from Sauerstown, Bulawayo, has been missing since 20 September 2025 (about 4 weeks ago). She is a student at Townsend Girls High School and has not returned home or contacted her family or friends since
Crime Watch Zimbabwe (@crimewatchzw) 's Twitter Profile Photo

MISSING | Leslie Kamuzungu, an 11-year-old boy. He was last seen on Thursday, 6 November 2025, around 5 PM in Glaudina, Harare, wearing a black jacket and grey shorts. If seen, please report to the nearest police station or contact 0772917372 / 0772208446. Zimbabwe Republic Police

MISSING | Leslie Kamuzungu, an 11-year-old boy. He was last seen on Thursday, 6 November 2025, around 5 PM in Glaudina, Harare, wearing a black jacket and grey shorts. If seen, please report to the nearest police station or contact 0772917372 / 0772208446.

<a href="/PoliceZimbabwe/">Zimbabwe Republic Police</a>
Zimbabwe Republic Police (@policezimbabwe) 's Twitter Profile Photo

The ZRP is appealing for information which may lead to the location of Leslie Kamuzungu (11). The minor went missing on 6th November 2025 in Glaudina area, Harare. He was wearing a black jacket and grey short. Anyone with information on the whereabouts of Leslie Kamuzungu should

The ZRP is appealing for information which may lead to the location of Leslie Kamuzungu (11). The minor went missing on 6th November 2025 in Glaudina area, Harare. He was wearing a black jacket and grey short. Anyone with information on the whereabouts of Leslie Kamuzungu should
Crime Watch Zimbabwe (@crimewatchzw) 's Twitter Profile Photo

PLEASE SHARE🙏 | 11-year-old Leslie Kamuzungu is still missing. He was last seen on Thursday, 6 November 2025, around 5 PM in Glaudina, Harare, wearing a black jacket and grey shorts. If seen, please report to the nearest police station or contact 0772917372 / 0772208446.

PLEASE SHARE🙏 | 11-year-old Leslie Kamuzungu is still missing. 

He was last seen on Thursday, 6 November 2025, around 5 PM in Glaudina, Harare, wearing a black jacket and grey shorts. If seen, please report to the nearest police station or contact 0772917372 / 0772208446.
Crime Watch Zimbabwe (@crimewatchzw) 's Twitter Profile Photo

PLEASE SHARE🙏 | Good day. We need help in finding Admire Denhere who has been missing since the 5th of June. We are looking for our son Admire Denhere. We last talked to him on the 5th of June 2021.He was last seen on the 6th of June 2021 at Homeground shops in Harare with

PLEASE SHARE🙏 | Good day. We need help in finding Admire Denhere who has been missing since the 5th of June.  

We are looking for our son Admire Denhere. We last talked to him on the 5th of June 2021.He was last seen on the 6th of June 2021 at Homeground shops in Harare with
Crime Watch Zimbabwe (@crimewatchzw) 's Twitter Profile Photo

⚠️MISSING PERSON⚠️ Help us find Panashe Mutero (26). She was last seen on the 15th of November 2025 in Harare CBD. If you have any information, please call: 078 241 8481 or WhatsApp/text: 073 745 2038

⚠️MISSING PERSON⚠️
 
Help us find Panashe Mutero (26). She was last seen on the 15th of November 2025 in Harare CBD. If you have any information, please call: 078 241 8481 or WhatsApp/text: 073 745 2038
Crime Watch Zimbabwe (@crimewatchzw) 's Twitter Profile Photo

Hi family. Please help share this. Some men driving this car stole my brother’s phone around Glenara and Chiremba road, Cranborne, Harare. He had just arrived from the UK and wanted to sell his Samsung S25 Ultra for US$1,150. When the buyers arrived, they made the deal and gave

Hi family. Please help share this. Some men driving this car stole my brother’s phone around Glenara and Chiremba road, Cranborne, Harare. He had just arrived from the UK and wanted to sell his Samsung S25 Ultra for US$1,150. When the buyers arrived, they made the deal and gave
Crime Watch Zimbabwe (@crimewatchzw) 's Twitter Profile Photo

Good morning. Please help. This child is 18 years old and is mentally challenged. She attends school in Mufakose, doing Grade 7 in a special class. Yesterday, her school had a Christmas party, but she did not return home and has been missing since then. These are the clothes she

Good morning. Please help. This child is 18 years old and is mentally challenged. She attends school in Mufakose, doing Grade 7 in a special class. Yesterday, her school had a Christmas party, but she did not return home and has been missing since then. These are the clothes she
~we Barca💥🇪🇸 (@starboy10_zw) 's Twitter Profile Photo

MISSING PERSON Ndamuwi Morris Sandu Last seen on Christmas day after 3pm boarding a Norton bound Kombi Mbuya Nehanda rank.Wearing khaki trousers, cream shirt and khaki sleeveless jacket and a black hat. Contacts: 0772868673 0772818248 0772294372 0772648016 0773271043 Kindly

MISSING PERSON
Ndamuwi Morris Sandu

Last seen on Christmas day after 3pm boarding a Norton bound Kombi Mbuya Nehanda rank.Wearing khaki trousers, cream shirt and khaki sleeveless jacket and a black hat.

Contacts:
0772868673
0772818248
0772294372
0772648016
0773271043

Kindly
Crime Watch Zimbabwe (@crimewatchzw) 's Twitter Profile Photo

🚨PLEASE SHARE 🙏| MISSING CHILD ALERT🚨 Please help us find Asanda Charisma Ndhlovu (2 years old). She was last seen today, 17 February 2026, at Meikles Mall in Bulawayo CBD. Reports say she may have been taken by a man who was wearing a grey hoodie with “Boston” written in

🚨PLEASE SHARE 🙏| MISSING CHILD ALERT🚨

Please help us find Asanda Charisma Ndhlovu (2 years old). She was last seen today, 17 February 2026, at Meikles Mall in Bulawayo CBD. Reports say she may have been taken by a man who was wearing a grey hoodie with “Boston” written in
Part'son The AgroKing 🇿🇼 (@partsonzindi) 's Twitter Profile Photo

May you support our business by just a Retweet. It goes along way in making us visible and reach some clients. Thank you in Advance👏👏

May you support our business by just a Retweet. It goes along way in making us visible and reach some clients. Thank you in Advance👏👏
𝑻𝒉𝒆 𝑺𝒂𝒍𝒕 𝑶𝒇 𝑻𝒉𝒆 𝑬𝒂𝒓𝒕𝒉 (@shadaya_knight) 's Twitter Profile Photo

We are overstimulated and we don't even notice > Netflix while eating > Reels in the toilet > Music while cooking > Podcasts on walks We consume by default, not by intention. You keep filling every gap, then wonder why you feel foggy and unmotivated Boredom and silence are the