akira (@chloeglttt) 's Twitter Profile
akira

@chloeglttt

anti$ocial

ID: 701162338477613056

calendar_today20-02-2016 21:51:43

6,6K Tweet

146 Followers

168 Following

Chaouinette (@chaouinette) 's Twitter Profile Photo

T’envoie ton gamin de 14 ans à son stage d’observation le matin et il revient pas parce qu’il est mort sur un chantier. Et ça n’émeut personne. Tout comme les centaines de morts au travail chaque année.

Infos Séries (@lnfosseriesfr) 's Twitter Profile Photo

#Théorie Vanessa Hudgens et Zac Efron à East High ont posté ceci à 3 semaines d’intervalles + regardez l’heure de l’horloge

#Théorie Vanessa Hudgens et Zac Efron à East High ont posté ceci à 3 semaines d’intervalles + regardez l’heure de l’horloge
dragon du futur (@durocgirl) 's Twitter Profile Photo

Les erasmus ils aiment trop laisser leur destination en bio 2 ans après en mode ils ont la bi nationalité après 3 mois d’échange et un semestre à 11 de moyenne

Amine 😞🌧 (@aminematue) 's Twitter Profile Photo

NOUVELLE VIDÉO 👊🏼 ENTRAÎNEMENT ET CHALLENGE AVANT LE MATCH FRANCE ESPAGNE 😀 60 Personnes seront tirées au sort parmi les RT de ce tweet pour venir avec un +1 au match samedi 😵 RT RT RT youtu.be/DMDzVb9j148

AI EXPLORER🤖 (@aiexplorerfr) 's Twitter Profile Photo

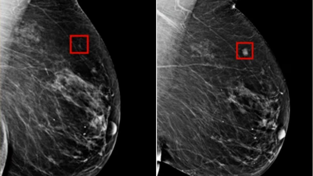
La vraie valeur de l'IA se trouve ici, dans la médecine👇 L'intelligence artificielle a détecté un cancer du sein 4 ans avant qu'il ne se développe. Source: edition.cnn.com/videos/health/…

La vraie valeur de l'IA se trouve ici, dans la médecine👇

L'intelligence artificielle a détecté un cancer du sein 4 ans avant qu'il ne se développe.

Source: edition.cnn.com/videos/health/…