BALI Salah (@bali_salah) 's Twitter Profile
BALI Salah

@bali_salah

#radonc #radiotherapy #brachytherapy #ASTRO #ESTRO #ASCO #ESMO #prostatecancer #pcsm #hncsm #breastcancer #bcsm #lcsm #gyncsm

ID: 353614212

linkhttp://www.cliniqueathena.com calendar_today12-08-2011 10:52:35

995 Tweet

465 Followers

153 Following

H. Jack West, MD, FASCO (@jackwestmd) 's Twitter Profile Photo

Overall Survival Benefit for Local Ablative Therapy (LAT) as Consolidation for #Oligometastatic Stage IV NSCLC: Where Does #LAT Fit in Practice Now? My video on latest data presented by Dr. Gomez at #ASTRO18 & what it means going forward. bit.ly/BMIC70 #LCAM #OMD

Overall Survival Benefit for Local Ablative Therapy (LAT) as Consolidation for #Oligometastatic Stage IV NSCLC: Where Does #LAT Fit in Practice Now? 

My video on latest data presented by Dr. Gomez at #ASTRO18 & what it means going forward.

bit.ly/BMIC70
#LCAM #OMD
Scott Delacroix M.D. (@urocancer) 's Twitter Profile Photo

Should radiotherapy be offered for metastatic prostate Ca? urologytimes.com/article/should… Badar M. Mian, MD encourages continued clincal trial support and not SOC in 2018. SWOG Cancer Research Network #swog1802 Brian F. Chapin

The Nobel Prize (@nobelprize) 's Twitter Profile Photo

Congratulations to James Allison and Tasuku Honjo! Watch the moment the 2018 Medicine Laureates collect their #NobelPrize diploma and medal.

Amanda Walker, MD (@drajwalker) 's Twitter Profile Photo

(1/8) THREAD: Workshop Summary on Clinical Development of RT-Drug Combinations is available online. Here's why I think people should care. clincancerres.aacrjournals.org/content/early/… FDA Oncology ASTRO AACR Science and Innovation at Cancer Research UK

ASTRO (@astro_org) 's Twitter Profile Photo

Partial Breast #RadiationTherapy May Effectively Prevent Cancer Relapse, Trial Shows breastcancer-news.com/2019/01/11/sho… #radonc #bcsm

Castalia Fernández, MD. (@fuenteapolo) 's Twitter Profile Photo

genesenvironment.biomedcentral.com/articles/10.11… Low-dose radiation from A-bombs elongated lifespan and reduced cancer mortality relative to un-irradiated individuals LNT #radonc Un poquito de radiación no viene mal 🤭

ASTRO (@astro_org) 's Twitter Profile Photo

New study in #RedJournal from Dr. Dwight Heron on more aggressive form of #RadiationTherapy extending long-term survival for some patients with stage-IV cancers while maintaining quality of life. ow.ly/Kh6m30nwM9n #radonc UPMC

Castalia Fernández, MD. (@fuenteapolo) 's Twitter Profile Photo

Postmastectomy hypofractionated radiotherapy was non-inferior to and had similar toxicities to conventional fractionated radiotherapy in patients with high-risk breast cancer.  #bcsm #RadOnc thelancet.com/journals/lanon…

Postmastectomy hypofractionated radiotherapy was non-inferior to and had similar toxicities to conventional fractionated radiotherapy in patients with high-risk breast cancer.  #bcsm #RadOnc thelancet.com/journals/lanon…
Dr. Nina Niu Sanford (@niusanford) 's Twitter Profile Photo

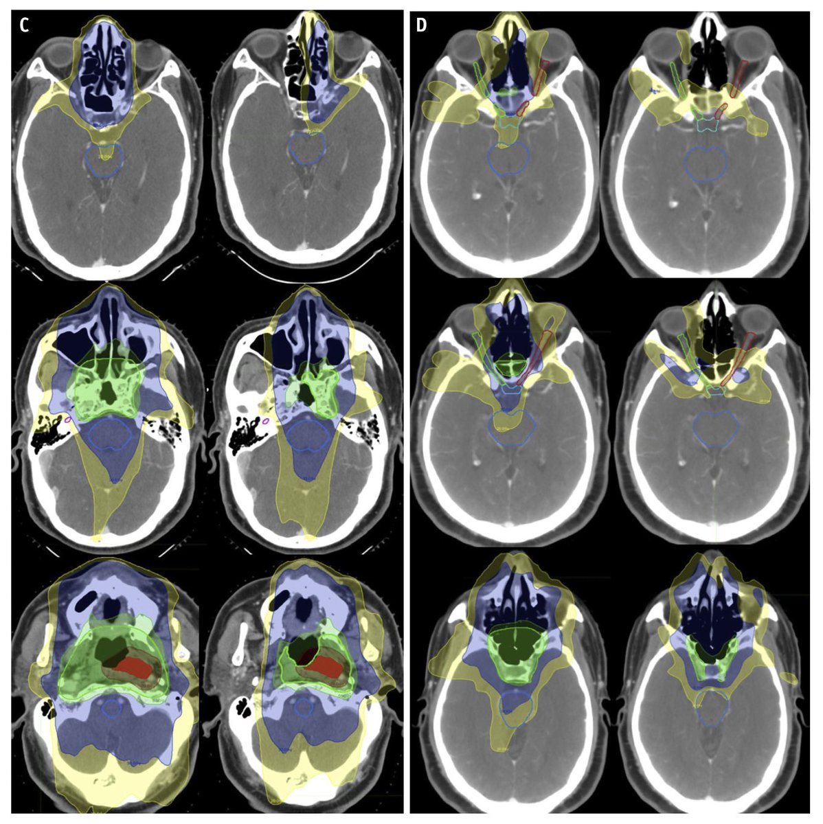
Happy (and relieved) that our manuscript on contouring for nasopharynx cancer is finally published. It was a labor (of love?) with the one and only Dr. Annie Chan. #evilgray @MGHCancerCenter authors.elsevier.com/a/1YUr01Hx51~H…

Happy (and relieved) that our manuscript on contouring for nasopharynx cancer is finally published.  It was a labor (of love?) with the one and only Dr. Annie Chan. #evilgray @MGHCancerCenter 

authors.elsevier.com/a/1YUr01Hx51~H…
Pierre Blanchard, MD (@pblanchardmd) 's Twitter Profile Photo

The "Gregoire" 2019 is out, with @Julian_Biau and team. A new proposal for neck node levels to be included for each #hncsm subsite, although these should ALWAYS be discussed by multidisciplinary teams. Few examples below, read more at: bit.ly/2Wzl8j8. #radonc

The "Gregoire" 2019 is out, with @Julian_Biau and team. A new proposal for neck node levels to be included for each #hncsm subsite, although these should ALWAYS be discussed by multidisciplinary teams. Few examples below, read more at: bit.ly/2Wzl8j8. #radonc
Pierre Blanchard, MD (@pblanchardmd) 's Twitter Profile Photo

Zelefsky, Brett Cox, MD et al demonstrate dose efficacy relationship in #prostatecancer #SBRT. "incidence of a 2-year positive biopsy was 47.6%, 19.2%, 16.7%, and 7.7% for 32.5, 35, 37.5 & 40 Gy in 5 fx, respectively". Strong work. Read: bit.ly/2Bx8Izl #radonc #pcsm

Zelefsky, <a href="/brettcoxmd/">Brett Cox, MD</a> et al demonstrate dose efficacy relationship in #prostatecancer #SBRT. "incidence of a 2-year positive biopsy was 47.6%, 19.2%, 16.7%, and 7.7% for 32.5, 35, 37.5 &amp; 40 Gy in 5 fx, respectively". Strong work. Read: bit.ly/2Bx8Izl #radonc #pcsm
Pierre Blanchard, MD (@pblanchardmd) 's Twitter Profile Photo

Want to give pelvic elective #SBRT to high risk #prostatecancer (5x5 pelvis 5x8 prostate)? Dr. Andrew Loblaw et al suggest it is tolerated & associated w/ a lower relapse rate than prostate only treatment: bit.ly/2SDtYxj. Of course larger cohorts needed... #pcsm #radonc

Want to give pelvic elective #SBRT to high risk #prostatecancer (5x5 pelvis 5x8 prostate)? <a href="/DrAndrewLoblaw/">Dr. Andrew Loblaw</a> et al suggest it is tolerated &amp; associated w/ a lower relapse rate than prostate only treatment: bit.ly/2SDtYxj. Of course larger cohorts needed... #pcsm #radonc
BALI Salah (@bali_salah) 's Twitter Profile Photo

#pcsm #radonc #urology #UroOnc ASTRO Radiation Nation PSA and Single Nucleotide Polymorphisms better predicts #prostatecancer and allows for higher risk stratification jurology.com/doi/10.1016/j.…

#pcsm #radonc #urology #UroOnc
<a href="/ASTRO_org/">ASTRO</a> <a href="/Rad_Nation/">Radiation Nation</a>

PSA and Single Nucleotide Polymorphisms better predicts #prostatecancer and allows for higher risk stratification
 jurology.com/doi/10.1016/j.…