ARRS (@arrs_radiology) 's Twitter Profile
ARRS

@arrs_radiology

The American Roentgen Ray Society is the first radiology society in the United States. ARRS publishes @AJR_Radiology and @R3_Journal.

ID: 16028084

linkhttps://linktr.ee/arrs_radiology calendar_today28-08-2008 15:19:31

11,11K Tweet

30,30K Takipçi

1,1K Takip Edilen

R3 Journal (@r3_journal) 's Twitter Profile Photo

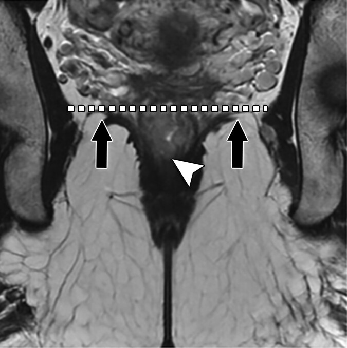
Epitransverse and paracondylar processes at the atlanto-occipital junction are easy to miss but can cause symptoms and complicate surgery. Learn what they look like and why they matter in this latest R3 case report. r3journal.org/doi/10.2214/r3…

Epitransverse and paracondylar processes at the atlanto-occipital junction are easy to miss but can cause symptoms and complicate surgery. Learn what they look like and why they matter in this latest R3 case report.

r3journal.org/doi/10.2214/r3…
AJR (@ajr_radiology) 's Twitter Profile Photo

Mark your calendars! 🗓️ Join us for our next AJR Forum Livestream on quantitative ultrasound. Our expert panel will cover everything from the physics of ultrasound to liver fat quantification. 📅 Monday, June 9

Mark your calendars! 🗓️ Join us for our next AJR Forum Livestream on quantitative ultrasound. Our expert panel will cover everything from the physics of ultrasound to liver fat quantification.

📅 Monday, June 9
AJR (@ajr_radiology) 's Twitter Profile Photo

Join us this afternoon for an AJR Forum livestream on quantitative ultrasound, featuring expert talks + Q&A on ultrasound measurements, elastography, liver fat quantification, and blood flow evaluation using Doppler and non-Doppler techniques.

Join us this afternoon for an AJR Forum livestream on quantitative ultrasound, featuring expert talks + Q&A on ultrasound measurements, elastography, liver fat quantification, and blood flow evaluation using Doppler and non-Doppler techniques.
ARRS (@arrs_radiology) 's Twitter Profile Photo

Talk about a horse of a different color. A 20-year-old went to the ER for a horse bite but left with a diagnosis for a rare heart condition. 🐴 Radiology Case Review: Cardiac Imaging is now available in the ARRS 2025 Meeting Portal. www2.arrs.org/am25

AJR (@ajr_radiology) 's Twitter Profile Photo

This AJR Expert Panel Narrative Review addresses recent advances and key areas of contention in rectal cancer MRI. ajronline.org/doi/10.2214/AJ…

This AJR Expert Panel Narrative Review addresses recent advances and key areas of contention in rectal cancer MRI.

ajronline.org/doi/10.2214/AJ…
AJR (@ajr_radiology) 's Twitter Profile Photo

The purpose of this study was to evaluate US diagnostic performance for midgut malrotation and volvulus separately and assess individual sonographic signs for each diagnosis. ajronline.org/doi/10.2214/AJ…

ARRS (@arrs_radiology) 's Twitter Profile Photo

Teaching at ARRS is more than a presentation: it’s a chance to connect with peers, boost your CV, and contribute to the future of radiology. Submit your 2026 course idea by June 27. arrs.org/courseproposals

Teaching at ARRS is more than a presentation: it’s a chance to connect with peers, boost your CV, and contribute to the future of radiology. Submit your 2026 course idea by June 27.

arrs.org/courseproposals
R3 Journal (@r3_journal) 's Twitter Profile Photo

How should you evaluate new ML reconstruction tools? These promising approaches have limitations, including a "black box" nature and a need for further validation. Learn what to look for in the new R3 "What's New?" guide. r3journal.org/doi/10.2214/R3…

How should you evaluate new ML reconstruction tools? These promising approaches have limitations, including a "black box" nature and a need for further validation.

Learn what to look for in the new R3 "What's New?" guide.

r3journal.org/doi/10.2214/R3…
AJR (@ajr_radiology) 's Twitter Profile Photo

This review describes the acquisition, postprocessing, and analysis of T1 maps in the abdomen and explores applications in the liver, spleen, pancreas, and kidney. ajronline.org/doi/10.2214/AJ…

This review describes the acquisition, postprocessing, and analysis of T1 maps in the abdomen and explores applications in the liver, spleen, pancreas, and kidney.

ajronline.org/doi/10.2214/AJ…
Praveen T. S. Balamuralikrishna (@drpraveentsb) 's Twitter Profile Photo

Grateful for the opportunity to participate in the ARRS 2025-2026 Abstract reviewer program. I’ll be reviewing submissions in GI imaging. I’ll go with my gut feeling..✌🏻😸 #ARRS #RadTwitter #MedTwitter #Radiology

Grateful for the opportunity to participate in the <a href="/ARRS_Radiology/">ARRS</a> 2025-2026 Abstract reviewer program. I’ll be reviewing submissions in GI imaging. I’ll go with my gut feeling..✌🏻😸

#ARRS #RadTwitter #MedTwitter #Radiology
ARRS (@arrs_radiology) 's Twitter Profile Photo

Ever wonder how ARRS courses are selected? It starts with you. Submit your course idea and bring it to life at #ARRS26. arrs.org/courseproposals

Ever wonder how ARRS courses are selected? It starts with you. Submit your course idea and bring it to life at #ARRS26.

arrs.org/courseproposals
AJR (@ajr_radiology) 's Twitter Profile Photo

This study examines how AI assistance affects radiologists’ ability to detect lung metastases on chest CT in colorectal cancer patients. ajronline.org/doi/10.2214/AJ…

This study examines how AI assistance affects radiologists’ ability to detect lung metastases on chest CT in colorectal cancer patients.

ajronline.org/doi/10.2214/AJ…
R3 Journal (@r3_journal) 's Twitter Profile Photo

Incidental splenic lesions can be a diagnostic headache. This R3 pictorial essay proposes a simple classification algorithm to help radiologists manage these findings, from benign to likely malignant. r3journal.org/doi/10.2214/R3…

Incidental splenic lesions can be a diagnostic headache. This R3 pictorial essay proposes a simple classification algorithm to help radiologists manage these findings, from benign to likely malignant.

r3journal.org/doi/10.2214/R3…
ARRS (@arrs_radiology) 's Twitter Profile Photo

This MSK Case Review available in the ARRS 2025 Meeting Portal breaks down a benign surface lipoma with a memorable analogy and key CT findings. There's still time to get access to all of this year's education through May 1, 2026. Learn more: www2.arrs.org/am25

AJR (@ajr_radiology) 's Twitter Profile Photo

Exciting News! AJR's 2024 Impact Factor is 6.1!🌟 This places us at the 92.2nd percentile among imaging journals, our best-ever ranking. We extend immense gratitude to our authors, reviewers, editors, and staff for making this possible.

Exciting News! AJR's 2024 Impact Factor is 6.1!🌟

This places us at the 92.2nd percentile among imaging journals, our best-ever ranking. We extend immense gratitude to our authors, reviewers, editors, and staff for making this possible.
ARRS (@arrs_radiology) 's Twitter Profile Photo

Final chance to register for next week's symposium: Imaging of Small Joints! Can't make the live presentations? All registrants get a year of on-demand access for learning on your schedule. arrs.org/ARRSLIVE/ARRSL…

Final chance to register for next week's symposium: Imaging of Small Joints! Can't make the live presentations? All registrants get a year of on-demand access for learning on your schedule.

arrs.org/ARRSLIVE/ARRSL…