
Aysha Mubeen
@amubeen_path
MD | Pathologist @UNMPathology | Fellowships @brighamwomens @UABPathology| Residency @ Univ of Florida|tweets are mine| #gynpath #GUpath #cytopath
ID: 874798353812512768
https://scholar.google.com/citations?hl=en&user=anaAEyQAAAAJ 14-06-2017 01:19:15
6,6K Tweet
8,8K Takipçi
1,1K Takip Edilen






THE USCAP 114TH ANNUAL MEETING ABSTRACTS HAVE BEEN PUBLISHED IN LABORATORY INVESTIGATION! #USCAP2025 Laboratory Investigation laboratoryinvestigation.org/issue/S0023-68…


Here is proof that I attended #USCAP2025! Met so many incredible people! Boston is a truly a special place. 😊 Our poster with my very talented resident Darrell UNM Pathology



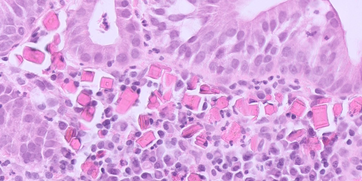
CC357. Long-standing hemopericardium. We talk a lot about molecular biology and very little about cell biology. One of those peculiar cytologic findings with no histological counterpart, so far Barry McGinn Kalyani Bambal Lorand Kis Mark Ong







