AngelonEarth (@acbeale) 's Twitter Profile
AngelonEarth

@acbeale

I’d rather be woke than weak and my informed views are unabashedly my own.

ID: 1051750603

calendar_today01-01-2013 03:41:19

2,2K Tweet

169 Followers

395 Following

AngelonEarth (@acbeale) 's Twitter Profile Photo

I’m asked why is the murder of Tyree Nichols about racism…if there were only some theory we can research that critically examines the use of institutions to quantify the races. Hmm?

AngelonEarth (@acbeale) 's Twitter Profile Photo

My friend Zhara has a travel life I envy…30+ countries visited!!! littlewildexperiences.wordpress.com/?blogsub=confi…

CALL TO ACTIVISM (@calltoactivism) 's Twitter Profile Photo

Wow!! 100-year-old Grace Linn stood up to Ron DeDantis and demanded Florida STOP banning books at a Martin County School Board meeting! Everyone needs to see this!

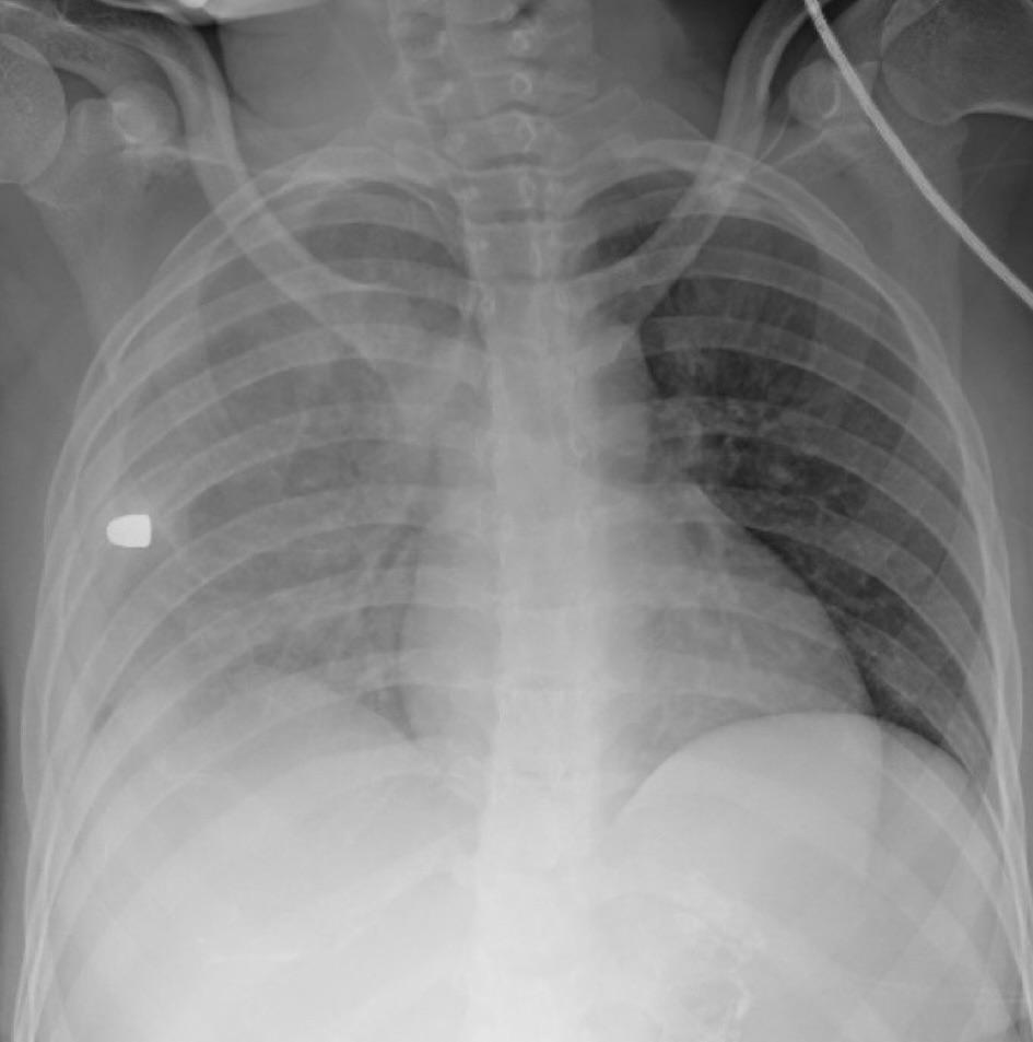
Jonathan Cage (@jonathan_cage10) 's Twitter Profile Photo

Chest x-ray of a young girl suffering from the leading cause of death in American children. Hint: it's not a book about a penguin having two dads, or a textbook talking about Rosa Parks. #ItsTheGuns #EndGunViolence #NoMoreThoughtsAndPrayers

Chest x-ray of a young girl suffering from the leading cause of death in American children. 

Hint: it's not a book about a penguin having two dads, or a textbook talking about Rosa Parks.

#ItsTheGuns #EndGunViolence #NoMoreThoughtsAndPrayers
President Biden Archived (@potus46archive) 's Twitter Profile Photo

Three kids and three officials gunned down in yet another mass shooting. And what are GOP officials focused on? Punishing lawmakers who joined thousands of peaceful protesters calling for action. It's shocking, undemocratic, and without precedent.

AngelonEarth (@acbeale) 's Twitter Profile Photo

Bigotry leads to Gerrymandering leads to Supermajority Rule leads to Authoritarianism Government leads to Fascism. Pay attention TN, we’re halfway through that list.

Bigotry leads to Gerrymandering leads to Supermajority Rule leads to Authoritarianism Government leads to Fascism. Pay attention TN, we’re halfway through that list.
AngelonEarth (@acbeale) 's Twitter Profile Photo

The Whole Story’s report on the year anniversary of the Robb Elem shooting in Uvalde by @ShimonPro is the reporting this nation needs to see. Thank you @ShimonPro for being one of the best and @cnn for giving him a platform to hold those in positions of power accountable.

AngelonEarth (@acbeale) 's Twitter Profile Photo

Submerged in Harmony: Diving's Ethereal Experience of Unity and Serenity littlewildexperiences.wordpress.com/2023/07/09/sub…