U of Cincinnati MLS (@uofcincymls) 's Twitter Profile
U of Cincinnati MLS

@uofcincymls

University of Cincinnati Medical Laboratory Science (MLS) Program

ID: 839904548399509509

linkhttp://www.cahs.uc.edu/ClinicalHealthInformationSciences/academics/bs-in-medical-laboratory-science calendar_today09-03-2017 18:23:43

329 Tweet

169 Takipçi

197 Takip Edilen

U of Cincinnati MLS (@uofcincymls) 's Twitter Profile Photo

Nominate your extraordinary colleague for recognition as a Lab Hero. Selected nominees will receive a grant for use for educational purposes. Lab Hero will receive a $750 and each runner-up (2) will receive a $375 honorarium. details in comments. #LabHeroes #WeSaveLivesEveryday

ASCLS (@ascls) 's Twitter Profile Photo

Happening now: ASCLS & AGT 2020 Joint Annual Meeting Closing Keynote - Understanding Health Disparities and Social Determinants of Health: A New Era for Health Care Professionals. Livestreamed on YouTube! #IamASCLS #TheRealAGT #Labucate20 #Lab4Life youtube.com/watch?v=1kQyRp…

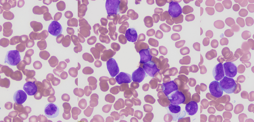
Sanam Loghavi, MD صنم لغوی 🔬🧬 (@sanamloghavi) 's Twitter Profile Photo

One of those leukemias that read the books.. a perfect example of Cup-like blasts... flow phenotype was CD34-, CD117+, HLA-DR- , which often raises concern for APL... This is a classic example of NPM1-mutated AML.. #hemepath #leusm pubmed.ncbi.nlm.nih.gov/19672946/

One of those leukemias that read the books.. a perfect example of Cup-like blasts... flow phenotype was CD34-, CD117+, HLA-DR- , which often raises concern for APL... This is a classic example of NPM1-mutated AML..  #hemepath #leusm 

pubmed.ncbi.nlm.nih.gov/19672946/
U of Cincinnati MLS (@uofcincymls) 's Twitter Profile Photo

Hello UC MLS students - UC is currently experiencing a system-wide network outage - working on a fix, stay-tuned! Many (not all) users are currently affected.

Jim Flanigan, CAE (@jimflanigancae) 's Twitter Profile Photo

“It’s never-ending,” she said. “Myself and all the people in the lab are that way -- we’re just so burnt out. And there’s really no end in sight.” bloomberg.com/news/articles/…

U of Cincinnati MLS (@uofcincymls) 's Twitter Profile Photo

Congrats to UC MLS alumna, Dr. Melanie Giusti - who recently earned an EDD in Education in Leadership & Healthcare from Nebraska Methodist College! We are proud of your accomplishments and your continued advocacy for our profession! MelanieG #labvocate #raisethebar #UofCincyMLS

Melanie Giusti (@melgiusti) 's Twitter Profile Photo

❤️ This. Thank you to all our healthcare professionals. And to my fellow medical laboratory scientists & technicians, much respect and appreciation!!!

U of Cincinnati MLS (@uofcincymls) 's Twitter Profile Photo

Celebrate Lab Week by showing us your “mask-terpiece”!  Your mask can be funny, scary, creative, or cool – just post a pic of you wearing your favorite mask below! The mask that gets the most likes by Friday will win a prize from the UC MLS Program!