Tricia Rood Lowrey, MD (@trood12) 's Twitter Profile
Tricia Rood Lowrey, MD

@trood12

Pathology AP/CP, Chief Resident. UTSW Cytology Fellow 2021-2022.

ID: 993850281795424257

calendar_today08-05-2018 13:49:06

66 Tweet

176 Followers

179 Following

Sanjay Mukhopadhyay (@smlungpathguy) 's Twitter Profile Photo

Society: science types are so nerdy Doctors: if we weren’t nerds we wouldn’t be docs Surgeons: we’re the jockiest of the nerds! Pediatricians: we’re nerdy but caring Radiologists: even the other nerds call us nerdy. Can anyone outnerd us? Pathologists: hold my beer...

Neda Wick, MD (@nedawickedpath) 's Twitter Profile Photo

Thank you @DeyzeBadarane for organizing this great resource! #path2path check out the new additions for our Pathology Residency Virtual Open House at UT Southwestern 10/4 @ 3pm(CST) and 10/7 @ 6:30pm(CST)! We would love to have you join us! 🔬😀 #PathMatch21 #PathTwitter Tricia Rood Lowrey, MD

Elena Daoud (@daoud_elena) 's Twitter Profile Photo

A woman in her 20s presented with an acute onset ataxia, dysarthria and weakness. Biopsy shows brain infiltrated by CD68-positive macrophages. Neurofilament reveals axons in the midst of the macrophages and LFB/PAS/Hematoxylin reveals marked loss of myelin. What is the diagnosis?

A woman in her 20s presented with an acute onset ataxia, dysarthria and weakness. Biopsy shows brain infiltrated by CD68-positive macrophages. Neurofilament reveals axons in the midst of the macrophages and LFB/PAS/Hematoxylin reveals marked loss of myelin. What is the diagnosis?
Elena Daoud (@daoud_elena) 's Twitter Profile Photo

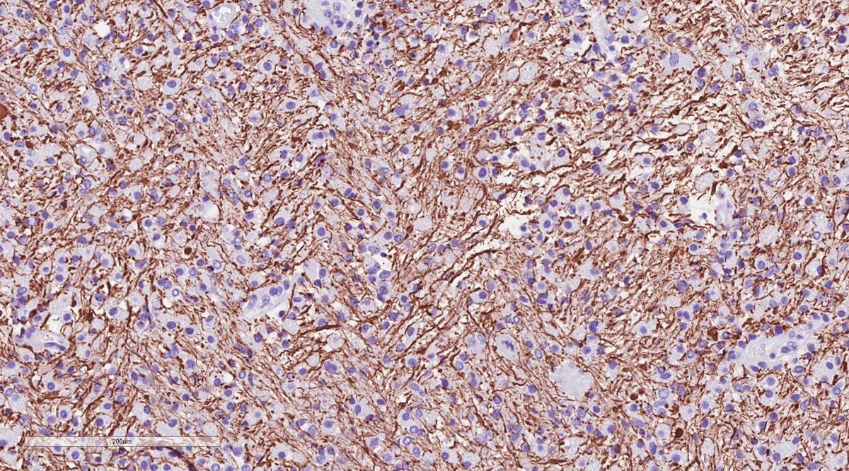
A woman in her 40s with an enhancing intradural mass in the foramen magnum area. Can you guess the diagnosis and the IHC shown here?

A woman in her 40s with an enhancing intradural mass in the foramen magnum area. Can you guess the diagnosis and the IHC shown here?
UTSW Department of Pathology (@utsw_pathology) 's Twitter Profile Photo

Dr. Patricia Jones moderated a virtual congressional briefing to educate the lab medicine community on lab-developed tests for the diagnosis of COVID-19. aacc.org/media/press-re… UTSW Media Relations #UTSW #pathology Patti Jones

Dr. Patricia Jones moderated a virtual congressional briefing to educate the lab medicine community on lab-developed tests for the diagnosis of COVID-19. 

aacc.org/media/press-re…

<a href="/UTSWNews/">UTSW Media Relations</a> #UTSW #pathology <a href="/pmjo/">Patti Jones</a>
UTSW Department of Pathology (@utsw_pathology) 's Twitter Profile Photo

Fast fact- A collegial and friendly learning atmosphere and the campus culture is relaxed and welcoming. Learn more details at utsouthwestern.edu/education/medi…

Fast fact- A collegial and friendly learning atmosphere and the campus culture is relaxed and welcoming. Learn more details at utsouthwestern.edu/education/medi…
UTSW Department of Pathology (@utsw_pathology) 's Twitter Profile Photo

Melissa Brown is celebrating 35 years within the UTSW Pathology Department. She states that "the best part of her job is helping people with their jobs". Thank you Melissa for everything you do! #35Years #EmployeeRecognition #UTSWPathology Read More: utsouthwestern.edu/ctplus/stories…

Melissa Brown is celebrating 35 years within the UTSW Pathology Department.  She states that "the best part of her job is helping people with their jobs".  Thank you Melissa for everything you do! #35Years #EmployeeRecognition #UTSWPathology

Read More: utsouthwestern.edu/ctplus/stories…