Simon Roy MD (@simonroymd) 's Twitter Profile
Simon Roy MD

@simonroymd

Dermatopathologist I Yale Melanoma Research | Climbing, sourdough baking 👨‍🍳 Own views

ID: 999984092908261376

linkhttps://www.researchgate.net/profile/Simon_Roy2 calendar_today25-05-2018 12:02:41

1,1K Tweet

1,1K Takipçi

917 Takip Edilen

Allison Osmond MD MSc FRCPC 🕊 🌎 🕊 (@redsnapperpath) 's Twitter Profile Photo

Simon Roy MD Awesome #tweetorial 4 #dermpath #gynepath & #PathTwitter - not surprising as #tumor necrosis --> aggressive growth across many tumor types. It was a honour to work with Simon Roy MD and Vincent to bring attention to this gendered #melanoma that so far is not well studied!

Int Soc Dermpath (@intsocdermpath) 's Twitter Profile Photo

#ISDP #Olympics Spot diagnosis Case 4 - Jose Candido EXTRAMAMMARY PAGET DISEASE Intraepithelial proliferation of cells with vesicular nuclei and basophilic/amphophilic cytoplasm. Cells distributed in a solitary fashion or in nest/gland-like structures #derm #path #med

#ISDP #Olympics 

Spot diagnosis
Case 4 - <a href="/JCandidoXavier/">Jose Candido</a> 

EXTRAMAMMARY PAGET DISEASE

Intraepithelial proliferation of cells with vesicular nuclei and basophilic/amphophilic cytoplasm.
Cells distributed in a solitary fashion or in nest/gland-like structures

#derm #path #med
Melanie Bourgeau, MD (@melanocytemd) 's Twitter Profile Photo

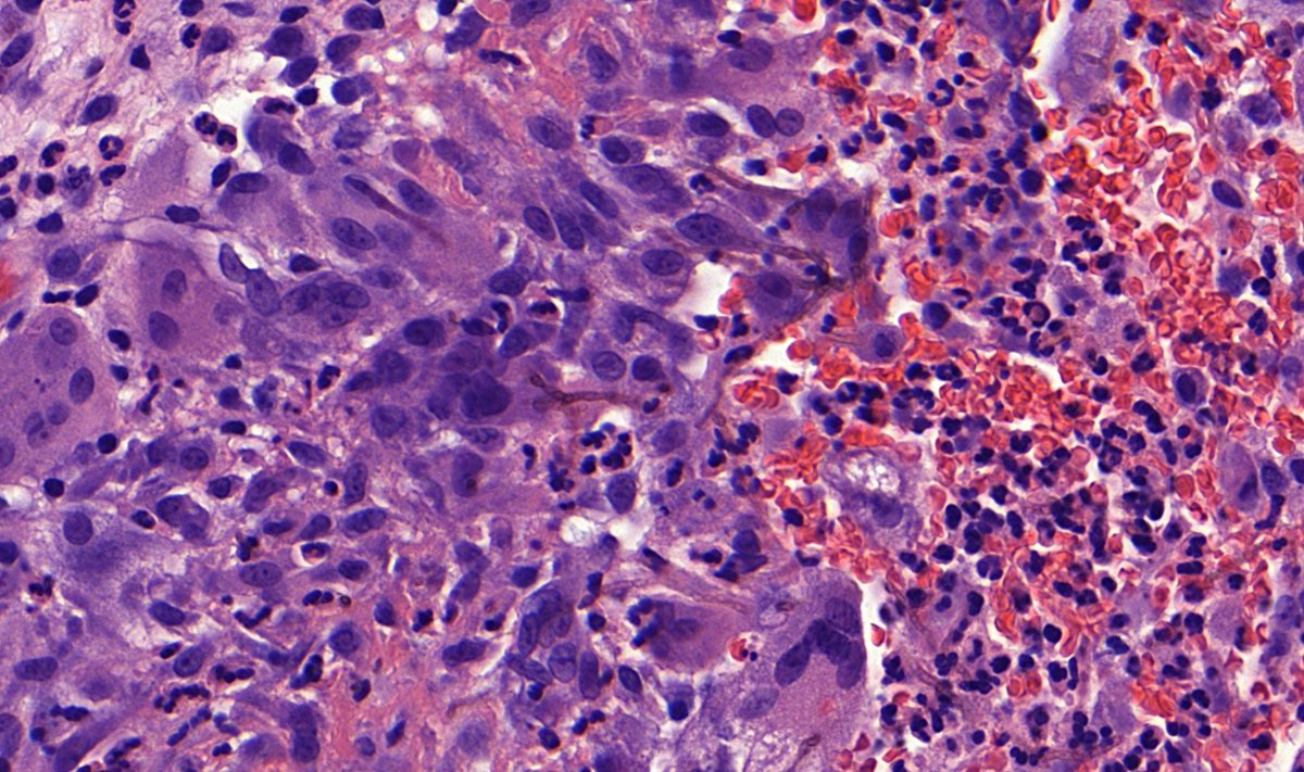
68♂️ w/ lytic femur mass Is it... 1️⃣ Sarcoma? 2️⃣ Melanoma? 3️⃣ Carcinoma? 4️⃣ Lymphoma? 🔎WSI: kikoxp.com/posts/46908 💡 Answer: kikoxp.com/posts/46910 #BSTpath (...or is it? 🤔)

68♂️ w/ lytic femur mass

Is it...
1️⃣ Sarcoma?
2️⃣ Melanoma?
3️⃣ Carcinoma?
4️⃣ Lymphoma?

🔎WSI: kikoxp.com/posts/46908
💡 Answer: kikoxp.com/posts/46910

#BSTpath (...or is it? 🤔)
Robert Avram (@robertavrammd) 's Twitter Profile Photo

FRESH OFF THE PRESS - New study in European Society of Cardiology European Society of Cardiology Journals Prediction of incident atrial fibrillation using deep learning, clinical models and polygenic scores shows #AI can predict new-onset atrial fibrillation from ECGs with high accuracy, outperforming clinical and genetic

FRESH OFF THE PRESS - New study in <a href="/escardio/">European Society of Cardiology</a> <a href="/ESC_Journals/">European Society of Cardiology Journals</a>  Prediction of incident atrial fibrillation using deep learning, clinical models and polygenic scores shows #AI can predict new-onset atrial fibrillation from ECGs with high accuracy, outperforming clinical and genetic
Daniela Robles @daniela-oaks.bsky.social (@daniela_oaks) 's Twitter Profile Photo

An honour to listen to Ruth Halaban Yale University, the first woman that graduated from Princeton University with a PhD degree in biology and recipient of the PASPCR lifetime achievement award, talk about the #LZTR1 gene and #melanoma

An honour to listen to Ruth Halaban <a href="/Yale/">Yale University</a>, the first woman that graduated from <a href="/Princeton/">Princeton University</a> with a PhD degree in biology and recipient of the <a href="/PASPCR1/">PASPCR</a> lifetime achievement award, talk about the #LZTR1 gene and #melanoma
Daniela Robles @daniela-oaks.bsky.social (@daniela_oaks) 's Twitter Profile Photo

The next speaker in the #Mexico, #Central and #South #America research session is by Patricia Possik 🇧🇷, and she is telling us about the genetic landscape of #acral #melanoma in Brazilian patients PASPCR

The next speaker in the #Mexico, #Central and #South #America research session is by <a href="/PatriciaPossik/">Patricia Possik</a> 🇧🇷, and she is telling us about the genetic landscape of #acral #melanoma in Brazilian patients <a href="/PASPCR1/">PASPCR</a>
Daniela Robles @daniela-oaks.bsky.social (@daniela_oaks) 's Twitter Profile Photo

I am really happy to see the #preprint of our work studying #acral #melanoma tumours from 🇲🇽 Mexican patients out today! This has been a ~8 year-long work involving many colleagues from Mexico and abroad. Some of our findings here below.... ⬇️ (1/12)