Dika (@rdmdika) 's Twitter Profile
Dika

@rdmdika

2:186

ID: 495518222

calendar_today18-02-2012 02:00:56

8,8K Tweet

252 Followers

357 Following

🫧R (@riizkyaji) 's Twitter Profile Photo

gk sengaja menguping dalam antrian tabung oksigen, ternyata Air mata juga bisa pecah di sini "Nak pulang, sudah tidak usah antri lagi bapak dah gk ada". kemudian pemuda itu membasuh air matanya, mengemasi tabungnya dan pulang.

Яizal do (@afrkml) 's Twitter Profile Photo

Sebenarnya virus corona penyebab COVID-19 ngapain aja sih pas masuk ke tubuh? Kok sampai segitunya bikin orang sesak hingga rebutan oksigen? Imun kita kerjanya ngapain aja? -- A THREAD Kalian lihat gambar di bawah? Good. Itulah penyebabnya. Bingung? Oke sini-sini, aku ceritain.

Sebenarnya virus corona penyebab COVID-19 ngapain aja sih pas masuk ke tubuh? Kok sampai segitunya bikin orang sesak hingga rebutan oksigen? Imun kita kerjanya ngapain aja?

-- A THREAD

Kalian lihat gambar di bawah? Good. Itulah penyebabnya.
Bingung? Oke sini-sini, aku ceritain.
detikcom (@detikcom) 's Twitter Profile Photo

Total sebanyak 17 kapal motor (KM) nelayan di Pontianak, Kalimantan Barat tenggelam akibat cuaca buruk news.detik.com/berita/d-56477…

Ruang Taktik (@ruangtaktik) 's Twitter Profile Photo

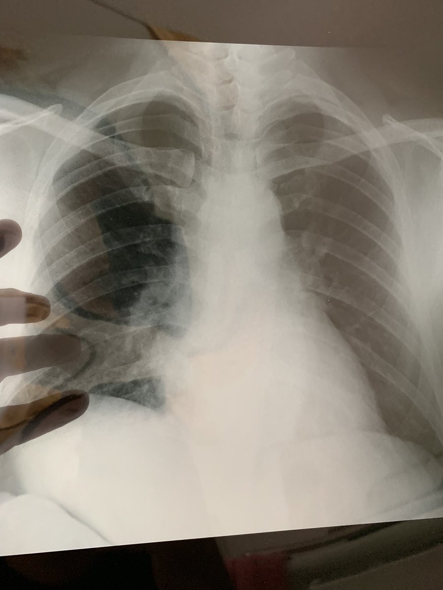
“Heatmaps” covid di paru2 admin (ga ngeroko). Teman2 harus lebih berhati2 lagi krn defend rapat pun jebol. Rontgent ini 3 hari setelah muncul gejala. Mohon maaf jarang update skr dirawat & fokus di kesembuhan.

“Heatmaps” covid di paru2 admin (ga ngeroko). Teman2 harus lebih berhati2 lagi krn defend rapat pun jebol. Rontgent ini 3 hari setelah muncul gejala. Mohon maaf jarang update skr dirawat & fokus di kesembuhan.
Asumsi (@asumsico) 's Twitter Profile Photo

Penderita GERD harus lebih meningkatkan kewaspadaannya di masa pandemi Covid-19. Sebab, penyakit ini dianggap sebagai komorbid yang mematikan jika mereka terpapar virus Corona. asumsi.co/post/hati-hati…

muchlis a rofik (@muchlis_ar) 's Twitter Profile Photo

60 pengusaha bis di jogja sudah jual aset. 5500 kru bis wisata jogja, nganggur. 317 armada gak bergerak selama 17 bulan. "kami hanya pasrah. tidak boleh bertanya, tidak boleh menolak." ~organda jogja. (HL Tribun)

60 pengusaha bis di jogja sudah jual aset.

5500 kru bis wisata jogja, nganggur.

317 armada gak bergerak selama 17 bulan.

"kami hanya pasrah. tidak boleh bertanya, tidak boleh menolak."

~organda jogja. (HL Tribun)
Sayid Machmoed BSA (@sayid__machmoed) 's Twitter Profile Photo

الحق ما شهدت به الأعداء ! Seringkali kebenaran itu adalah apa yang disaksikan musuh! — Sebagian orang tidak mampu berbaik sangka, karena berburuk sangka selalu menyuguhkan mereka cerita yang menarik. ☕️🌹

الحق ما شهدت به الأعداء !

Seringkali kebenaran itu adalah apa yang disaksikan musuh!

—
Sebagian orang tidak mampu berbaik sangka, karena berburuk sangka selalu menyuguhkan mereka cerita yang menarik.

☕️🌹
A. Ainur Rohman (@ainurohman) 's Twitter Profile Photo

Laki-laki yg berusaha melawan apa yg tak mungkin bisa ditaklukkan; waktu. Bersenang2 menikmati perjalanan. Tak ada target. Tak ada beban. Tersenyum, apapun hasilnya. Terus bersiasat agar bisa bertahan menghadapi tubuh yg semakin menua, melemah. Hormatku pada kalian berdua!

Dika (@rdmdika) 's Twitter Profile Photo

Tergantung tambang apa dulu, penempatan di HO apa di project site, kerjanya di owner apa di kontraktor, bagian operation apa support.

Dika (@rdmdika) 's Twitter Profile Photo

Apa yang bisa diharapkan dari lulusan SMA/Sederajat, dididik selama 6 bulan saja, dan diberi kekuasaan sebagai penegak hukum ? (Kapolres Munich)