Odharnaith Ní Bhriain (@odharnaitho) 's Twitter Profile
Odharnaith Ní Bhriain

@odharnaitho

Consultant Pathologist #gupath #hemepath

ID: 4221903327

calendar_today18-11-2015 23:37:10

154 Tweet

180 Followers

379 Following

Daniel Berney (@daniel_berney) 's Twitter Profile Photo

1/3. Rare Dan Tweetorial or Renal: Kidney Biopsy in young man with metastatic disease. Looks nasty! CA9, P63 and GATA 3 negative.

1/3. Rare Dan Tweetorial or Renal: Kidney Biopsy in young man with metastatic disease. Looks nasty! CA9, P63 and GATA 3 negative.
Susan Prendeville (@s_prendeville) 's Twitter Profile Photo

RCC with fibromyomatous stroma ➡️Novel entity (PMID 33526874) 🔸Elongated branching tubules 🔸Abundant clear/pale cytoplasm 🔸Variable fibromuscular stroma - gives nodular appearance 🔹CK7 diffuse➕ 🔹CA-IX➕ 🔹CD10➕ Ass with mutations in TSC/MTOR and ELOC/TCEB1 #gupath

RCC with fibromyomatous stroma

➡️Novel entity (PMID 33526874)

🔸Elongated branching tubules
🔸Abundant clear/pale cytoplasm
🔸Variable fibromuscular stroma - gives nodular appearance

🔹CK7 diffuse➕ 
🔹CA-IX➕
🔹CD10➕

Ass with mutations in TSC/MTOR and ELOC/TCEB1

#gupath
Susan Prendeville (@s_prendeville) 's Twitter Profile Photo

Angiomyolioma with epithelial cysts (AMLEC) 🔹Uncommon variant of AML ➡️HMB45/MelanA/Cathepsin K + 🔹Cystic component lined by cuboidal or hobnail epithelium (PAX8+) with subepithelial mullerian-like stroma (ER+) #gupath #pathresidents

Angiomyolioma with epithelial cysts (AMLEC)

🔹Uncommon variant of AML  ➡️HMB45/MelanA/Cathepsin K +

🔹Cystic component lined by cuboidal or hobnail epithelium (PAX8+) with subepithelial mullerian-like stroma (ER+)

#gupath #pathresidents
Monika Vyas (@mvgs1706) 's Twitter Profile Photo

PanIN-like vascular invasion is the most common type of VI seen in PDAC Tips to recognize - - Adjacent to thick walled vessel - Circumferential smooth muscle - Lonely gland in the peripheral fat Poor prognostic factor #pancpath #pancreas For more info; pubmed.ncbi.nlm.nih.gov/22082604/

PanIN-like vascular invasion is the most common type of VI seen in PDAC
Tips to recognize - 
- Adjacent to thick walled vessel
- Circumferential smooth muscle
- Lonely gland in the peripheral fat
Poor prognostic factor

#pancpath #pancreas

For more info;
pubmed.ncbi.nlm.nih.gov/22082604/
C. Christofer Juhlin (@drjuhlin) 's Twitter Profile Photo

34-year-old female patient with Graves' disease. No prior FNAC. Planned for thyroidectomy, but surgery was limited to the left lobe due to loss of nerve signals. 6 mm nodule evident during grossing. Encapsulated and well demarcated, macro- to microfollicular pattern:

34-year-old female patient with Graves' disease. No prior FNAC. Planned for thyroidectomy, but surgery was limited to the left lobe due to loss of nerve signals. 6 mm nodule evident during grossing. Encapsulated and well demarcated, macro- to microfollicular pattern:
Dublin Airport (@dublinairport) 's Twitter Profile Photo

You could win return flights for you and your bestie with Air Canada to Toronto, Canada. When you've seen all the city has to offer, you can take a trip to Niagara Falls, just an hour away by car. To enter, just FOLLOW & RT 👍 T&C’s: ow.ly/jndR50G35IC

You could win return flights for you and your bestie with <a href="/AirCanada/">Air Canada</a> to Toronto, Canada. 
When you've seen all the city has to offer, you can take a trip to Niagara Falls, just an hour away by car.

To enter, just FOLLOW &amp; RT 👍

T&amp;C’s: ow.ly/jndR50G35IC
Odharnaith Ní Bhriain (@odharnaitho) 's Twitter Profile Photo

Hi @eflow_freeflow I have tried to contact you by phone and email for the past week and have received no reply to date. Can an agent please contact me?

Scott Kilpatrick, MD (@scottbikeethan) 's Twitter Profile Photo

The most common sarcoma in the hand, epithelioid sarcoma, can mimic GA or rheumatoid nodule. Best screening test is pan-keratin, as ES always is +. INI1 while helpful may be retained in up to 10% of cases. I never like doing a "negative test" for screening. #BSTpath Cleveland Clinic Pathology Residency

The most common sarcoma in the hand, epithelioid sarcoma, can mimic GA or rheumatoid nodule. Best screening test is pan-keratin, as ES always is +. INI1 while helpful may be retained in up to 10% of cases. I never like doing a "negative test" for screening. #BSTpath <a href="/CCFPathRes/">Cleveland Clinic Pathology Residency</a>
Leonie Schön (@lamellipodium) 's Twitter Profile Photo

Hi #MedTwitter - this is a Happy New Year Giveaway! You can win one of my 2022 Calendars filled with 12 of my paintings. All you have to is: follow me and retweet this post until Sunday! 🍀🍀 The Giveaway is open worldwide, shipping is on me. Not sponsored by anyone but me 🙃

Hi #MedTwitter - this is a Happy New Year Giveaway!

You can win one of my 2022 Calendars filled with 12 of my paintings. All you have to is: follow me and retweet this post until Sunday! 🍀🍀

The Giveaway is open worldwide, shipping is on me. Not sponsored by anyone but me 🙃
C. Christofer Juhlin (@drjuhlin) 's Twitter Profile Photo

In thyroid cancer, skeletal muscle invasion represents extrathyroidal spread, but this is only reliable in the lateral lobes and not the isthmus. This is due to Soemmerring's muscle arising from the hyoid bone and inserting on the isthmus. Be careful when assessing tumors here!

In thyroid cancer, skeletal muscle invasion represents extrathyroidal spread, but this is only reliable in the lateral lobes and not the isthmus. This is due to Soemmerring's muscle arising from the hyoid bone and inserting on the isthmus. Be careful when assessing tumors here!
Priya Rao, MD (@priyaraomd) 's Twitter Profile Photo

I have a post #immunotherapy complete response (yPT0) in a clear cell RCC on my desk. The advent of immunotherapy has changed the landscape of renal tumors & there are few things that give me greater joy than pushing the sign out button & imagining the patients relief. #Science

Gladell Paner, MD (@gladellpaner) 's Twitter Profile Photo

The exquisitely unusual invasive #urothelial carcinoma with prominent myxoid stroma (chordoid features) of the #bladder. It retains GATA3+ and p63+ and often presents with higher stage. Still not an official subtype as of 2022 WHO blue book. PMID: 19542871 #GUPath

The exquisitely unusual invasive #urothelial carcinoma with prominent myxoid stroma (chordoid features) of the #bladder.

It retains GATA3+ and p63+ and often presents with higher stage. Still not an official subtype as of 2022 WHO blue book.

PMID: 19542871 #GUPath
Siba El Hussein, MD (@sibaelhussein) 's Twitter Profile Photo

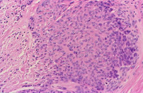
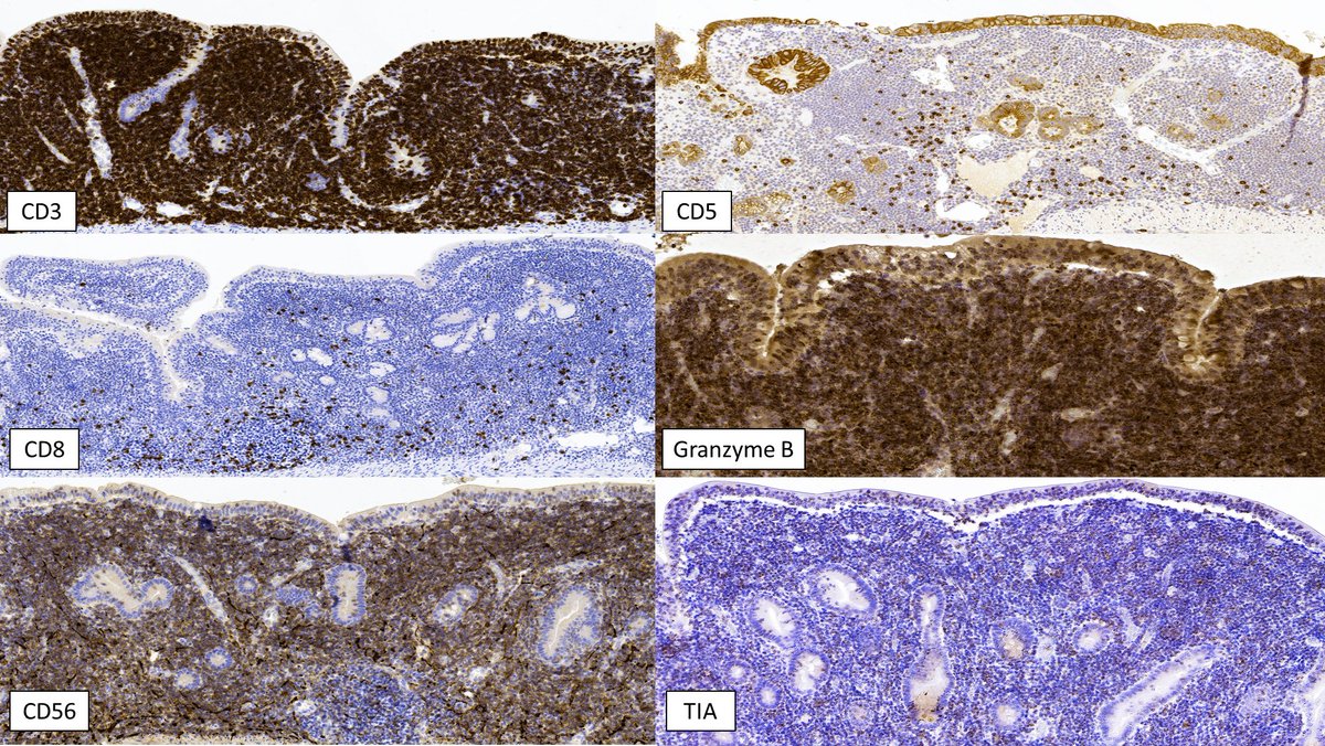
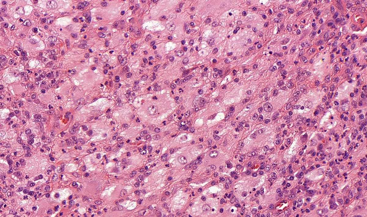
Most monomorphic epitheliotropic intestinal T-cell lymphoma (MEITL) cases are CD8+; However, 10-20% can be CD8- like case below #Lymsm #GIpath #surgpath #PathTwitter #MedTwitter

Most monomorphic epitheliotropic intestinal T-cell lymphoma (MEITL) cases are CD8+; However, 10-20% can be CD8- like case below #Lymsm #GIpath #surgpath #PathTwitter #MedTwitter
The Royal College of Pathologists of Australasia (@pathologyrcpa) 's Twitter Profile Photo

RCPA is deeply saddened to hear of the passing of Nobel Laureate Professor John Robin Warren AC, an eminent and highly respected pathologist and medical pioneer. Professor Warren was the joint recipient of the 2005 Nobel Prize for Medicine alongside Professor Barry Marshall AC

RCPA is deeply saddened to hear of the passing of Nobel Laureate Professor John Robin Warren AC, an eminent and highly respected pathologist and medical pioneer.

Professor Warren was the joint recipient of the 2005 Nobel Prize for Medicine alongside Professor Barry Marshall AC
Siba El Hussein, MD (@sibaelhussein) 's Twitter Profile Photo

Rare cases of FL/ DLBCL with BCL2 and IRF4 rearrangements exist, and should not be confused with large B-cell lymphoma with IRF4 rearrangement. FL/ DLBCL with BCL2 and IRF4 rearrangements typically show triple expression of CD10, BCL6 and MUM1 by IHC stains. FL/ DLBCL with

Rare cases of FL/ DLBCL with BCL2 and IRF4 rearrangements exist, and should not be confused with large B-cell lymphoma with IRF4 rearrangement.

FL/ DLBCL with BCL2 and IRF4 rearrangements typically show triple expression of CD10, BCL6 and MUM1 by IHC stains. 

FL/ DLBCL with
Daniel Berney (@daniel_berney) 's Twitter Profile Photo

As mentioned by many, this is Cystic trophoblastic tumour in a post chemo orchidectomy specimen. Degenerate remnants of choriocarcinoma after systemic chemo. hCG should only be mildly raised. As mentioned by Andres Martin Acosta (Andy): these tumours should be treated conservatively.