Michael McNamara (@michael_mc_n) 's Twitter Profile
Michael McNamara

@michael_mc_n

ID: 1121481859

calendar_today26-01-2013 09:29:07

94 Tweet

27 Followers

70 Following

Mayo Clinic Infectious Diseases (@mayoclinicinfd) 's Twitter Profile Photo

#MayoIDQ #IDBR During past few months, 62F has progressive behavioral changes and dementia. MRI hyperintense signal in cerebral cortex, caudate, putamen. CSF normal TNC, glucose and mildly elevated protein. What CSF finding is diagnostic of sporadic Creutzfeld-Jakob disease?

MicrobesInfect (@microbesinfect) 's Twitter Profile Photo

#Yersinia pestis and plague: An updated view on evolution, virulence determinants, immune subversion, vaccination and diagnostics sciencedirect.com/science/articl… #bubonic #plague

#Yersinia pestis and plague:

An updated view on evolution, virulence determinants, immune subversion, vaccination and diagnostics

sciencedirect.com/science/articl… #bubonic #plague
Eric Topol (@erictopol) 's Twitter Profile Photo

Very rare cases of pericarditis, myocarditis are being seen after mRNA vaccines. We've seen a few here in San Diego, too. It's time to get a handle on frequency and determine the mechanism. See Suhail Allaqaband and Dr Ihsan Rafie posts, threads ECGs via Dr. Allaqaband

Very rare cases of pericarditis, myocarditis are being seen after mRNA vaccines. We've seen a few here in San Diego, too. It's time to get a handle on frequency and determine the mechanism.
See <a href="/AllaqabanSuhail/">Suhail Allaqaband</a> and <a href="/ihsan_rafie/">Dr Ihsan Rafie</a> posts, threads
ECGs via Dr. Allaqaband
HIV Ireland (@hivireland) 's Twitter Profile Photo

#Bisexual men reported poorer emotional wellbeing, less social connection and higher perceived levels of HIV-related #stigma than gay men, in this study of bisexual men living with #HIV in Australia. aidsmap.com/news/apr-2021/…

Indiana University Infectious Diseases Fellowship (@iuidfellowship) 's Twitter Profile Photo

#idboardreview 70 M colon cancer presents w/ fever, chills, +murmur, new onset of heart failure, aortic valve vegetation. BC GPC. Dx? #idmedEd #medEd #idtwitter

#idboardreview 70 M colon cancer presents w/ fever, chills, +murmur, new onset of heart failure, aortic valve vegetation. BC GPC. Dx? #idmedEd #medEd #idtwitter
Matthew Hodson (@matthew_hodson) 's Twitter Profile Photo

I am passionate about sharing the #UequalsU message because it implicitly demands that HIV treatment access be universal. If everyone with HIV is treated it will end AIDS deaths and new infections.

Danielle Firkus (@dhess_09) 's Twitter Profile Photo

(1/10) 71 yo F with HTN and ESRD on HD presents to the ED w/ fever 🌡 + back pain, 🧫 BCx + Clostridium septicum. Which test should be considered? 🧐

Christina Coyle, MD (@coyle_cm) 's Twitter Profile Photo

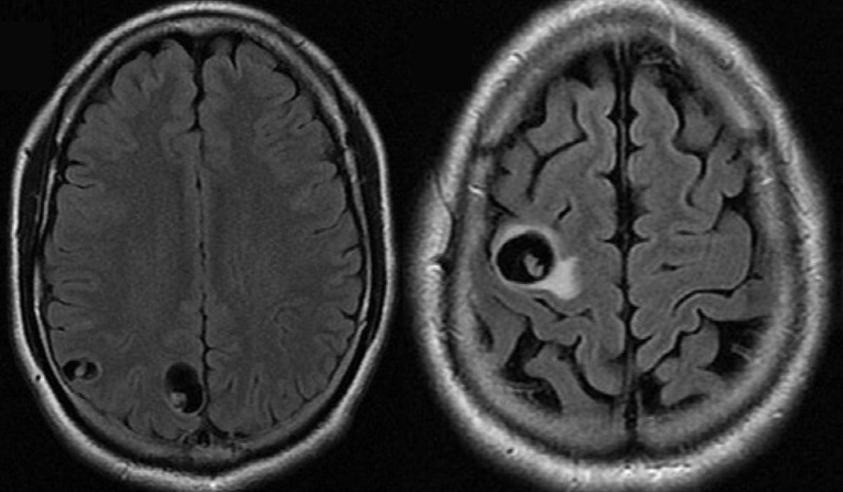
#IDtwitter, #MedEd, #FOAMed, I have a #TropMed case for you... A 38-year-old man from South America presented with seizures. His MRI is shown below⬇️, and the enzyme-linked immunotransfer blot (EITB) for cysticercosis is positive. How would you treat this patient?

#IDtwitter, #MedEd, #FOAMed, I have a #TropMed case for you...

A 38-year-old man from South America presented with seizures. His MRI is shown below⬇️, and the enzyme-linked immunotransfer blot (EITB) for cysticercosis is positive.

How would you treat this patient?
Indiana University Infectious Diseases Fellowship (@iuidfellowship) 's Twitter Profile Photo

#idboardreview 30 M presents w/ 2days of eyelid swelling, pain, redness, diplopia, discharge & restriction of eye movements. CT lacrimal gland swelling. dx? #medEd #idmedEd #idtwitter

#idboardreview 30 M presents w/ 2days of eyelid swelling, pain, redness, diplopia, discharge &amp; restriction of eye movements. CT lacrimal gland swelling. dx? #medEd #idmedEd #idtwitter
Paddy Mallon (@hivtox) 's Twitter Profile Photo

Interested in participating in #COVID19 #vaccine research? Ireland now included in the EU VACCELERATE programme registry so you can register your interest. #VACCELERATE will help keep Ireland at the forefront of #COVID19 vaccine research. See vaccelerate.eu Pls RT.

Associate Deans (@ass_deans) 's Twitter Profile Photo

No, we aren’t giving you a raise. But we do have some great online classes on meditation to reduce stress that should help. We find deep breathing so relaxing!

Indiana University Infectious Diseases Fellowship (@iuidfellowship) 's Twitter Profile Photo

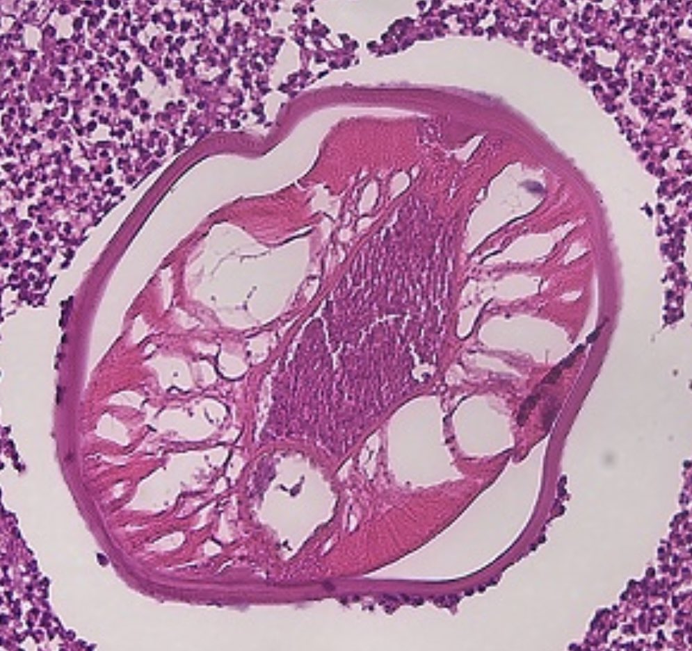
#idboardreview Pt from Srilanka w/ non-tender enlarging cheek nodule. During surgery: a wriggling worm extracted: microscopic exam thick external cuticula w/ longitudinal ridges (microruffling of surface), cogwheel appearance on transverse section. Dx? #idtwitter #meded

#idboardreview Pt from Srilanka w/ non-tender enlarging cheek nodule. During surgery: a wriggling worm extracted: microscopic exam thick external cuticula w/ longitudinal ridges (microruffling of surface), cogwheel appearance on transverse section. Dx? #idtwitter #meded