Kumaran Mudaliar (@kmrn_mdlr) 's Twitter Profile
Kumaran Mudaliar

@kmrn_mdlr

Assistant Professor, Loyola University Medical Center. Dermatopathologist. Tweets are my own and are not intended to be medical advice.

ID: 981652406323859461

linkhttps://www.loyolamedicine.org/doctor/kumaran-mudaliar calendar_today04-04-2018 21:59:06

91 Tweet

586 Followers

72 Following

Güliz Akdaş Barkan (@barkanga) 's Twitter Profile Photo

Our Loyola Pathology & Laboratory Medicine alumni Dr. Nitin Wadhwani from Robert and Ann Lurie Children’s Hospital, giving our Grand Rounds today on Pediatric Neuropathology and reporting with the use of molecular testing. #ProudOfYou Wonderful talk! Loyola University Chicago Loyola Medicine MD Lurie Children's

Our <a href="/loyolapathology/">Loyola Pathology & Laboratory Medicine</a> alumni Dr. Nitin Wadhwani from Robert and Ann Lurie Children’s Hospital, giving our Grand Rounds today on Pediatric Neuropathology and reporting with the use of molecular testing. #ProudOfYou Wonderful talk! <a href="/LoyolaChicago/">Loyola University Chicago</a>  <a href="/LoyolaMedMD/">Loyola Medicine MD</a> <a href="/LurieChildrens/">Lurie Children's</a>
Joe (@mbbs_pathology) 's Twitter Profile Photo

Nice example of frontal fibrosing alopecia. Progressive hair loss along anterior hairline of postmenopausal women, with loss of eyebrows. Lichenoid interface folliculitis affecting infundibulum and isthmus with loss of sebaceous glands. Stelae visible beneath involved follicles.

Nice example of frontal fibrosing alopecia. Progressive hair loss along anterior hairline of postmenopausal women, with loss of eyebrows. Lichenoid interface folliculitis affecting infundibulum and isthmus with loss of sebaceous glands. Stelae visible beneath involved follicles.
Texas Soc of Pathol (@texpathol) 's Twitter Profile Photo

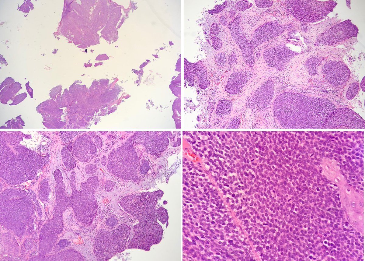
Porocarcinoma: Invasive nests and anastomosing cords of basaloid cells with focal squamous differentiation with numerous mitotic figures. Top differential diagnosis: Poroma, hidradenoma and hidradenocarcinomas, SCC, BCC.

Porocarcinoma: Invasive nests and anastomosing cords of basaloid cells with focal squamous differentiation with numerous mitotic figures. Top differential diagnosis: Poroma, hidradenoma and hidradenocarcinomas, SCC, BCC.
Rami Al-Rohil (@rami_alrohil) 's Twitter Profile Photo

Verruciform xanthoma: usually single lesion, most commonly in oral cavity/external genetalia, Non-HPV. Verrucous-like growth, prominent neutrophilic infiltrate in the overlying para/orthokeratosis, dermal papillae with xanthomatous histiocytes #Pathology #Dermpath #Dermatology

Verruciform xanthoma: usually single lesion, most commonly in oral cavity/external genetalia, Non-HPV. Verrucous-like growth, prominent neutrophilic infiltrate in the overlying para/orthokeratosis, dermal papillae with xanthomatous histiocytes #Pathology #Dermpath #Dermatology
Rami Al-Rohil (@rami_alrohil) 's Twitter Profile Photo

Nodular fasciitis:young to mid-age adults,SubQ,rapid evolution(1-2 mths) 🔬Well circumscribed w/ zonation: hypocellular(mucin pockets)&hypercellular(tissue culture like with mitosis), RBC extravasation &lymphohistiocytic inflammation (USP6 rearranged)#pathology #BSTPath #dermpath

Nodular fasciitis:young to mid-age adults,SubQ,rapid evolution(1-2 mths) 🔬Well circumscribed w/ zonation: hypocellular(mucin pockets)&amp;hypercellular(tissue culture like with mitosis), RBC extravasation &amp;lymphohistiocytic inflammation (USP6 rearranged)#pathology #BSTPath #dermpath
Kamran Mirza MD PhD - کامران مرزا (@kmirza) 's Twitter Profile Photo

Congratulations to all #Path2Path!!!!! #VirtualPathMatch All 4 of our amazing incoming PGY1 are on #Twitter!!! Vananthan Kumaran Mudaliar and I can hardly hold back our excitement!! I will let the PGY1-to-be's announce - but want to WELCOME them to the Loyola Pathology & Laboratory Medicine family!!!

Vananthan (@vijuananthan) 's Twitter Profile Photo

Excited to be re-hosting, the high intensity, #pathboards review series-enjoy this rapid #Virtualweekend session provided by amazing and enthusiastic faculty, Sept.19-20, details TBA; Kamran Mirza MD PhD - کامران مرزا Nicole Cipriani @KrutiManiar Jenny Pincus, MD Imran Uraizee Vikas Mehta Eva Wojcik, MD @iremessa

Kumaran Mudaliar (@kmrn_mdlr) 's Twitter Profile Photo

55 yof with hx of lupus on hydroxychloroquine presenting with blue-gray macular pigmentation involving the lower legs. H&E shows brown pigment scattered throughout the dermis positive for Iron stain. c/w hydroxychloroquine-induced pigmentation

55 yof with hx of lupus on hydroxychloroquine presenting with blue-gray macular pigmentation involving the lower legs. H&amp;E shows brown pigment scattered throughout the dermis positive for Iron stain. c/w hydroxychloroquine-induced pigmentation