Ivan (@ivanartedo05) 's Twitter Profile
Ivan

@ivanartedo05

ID: 719202084860665856

calendar_today10-04-2016 16:35:13

368 Tweet

295 Followers

81 Following

Ricardo Campo (@campo_73r) 's Twitter Profile Photo

Si lo tuyo es la ecografía clínica. Tienes una cita el 24 y 25 de marzo de 2023 en Ciudad Real. 2° Congreso Winfocus Iberia. Estarán los mejores: Peiman Nazerian Tomas Villen Yale Tung-Chen Jordi Mercadal ramon nogue bou, Ana Coca... Programa e inscripciones🔽 winfocusiberia.com/landing-congre…

Ivan (@ivanartedo05) 's Twitter Profile Photo

Los alumnos de Bachillerato de los Maristas de Granada visitan la facultad de Medicina de la ciudad, y qué les enseñan? El presente ….. o es que no hacéis ecografia en vuestro día a día ? SEMESMIR SEMES Asturias SEMES ecoSEMES

Los alumnos de Bachillerato de los Maristas de Granada visitan la facultad de Medicina de la ciudad, y qué les enseñan? El presente ….. o es que no hacéis ecografia en vuestro día a día ? <a href="/SemesMir/">SEMESMIR</a> <a href="/SEMES_Asturias/">SEMES Asturias</a> <a href="/SEMES_/">SEMES</a> <a href="/ecoSEMES_/">ecoSEMES</a>
Melody Anderson (Herman), MD (@anesthesiadocmd) 's Twitter Profile Photo

AAOS guidelines for elderly hip fracture recommends regional anesthesia with strong evidence. Excited to work with Joseph R. Hsu, MD and Denise Fraga MD, MPA on this initiative for our hip fracture patients. This is just the beginning!

Ivan (@ivanartedo05) 's Twitter Profile Photo

Primeros 30 alumnos en grupos de 10 de 5* de Medicina de Universidad de Oviedo que empiezan un nuevo proyecto en la enseñanza de ecografia clínica . Mucha ilusión y esperamos que se amplíe la ecografia en pregrado. SEMES Asturias SEMESMIR ecoSEMES SEMES Residentes CV ETV-SEMES

Primeros 30 alumnos en grupos de 10 de 5* de Medicina de Universidad de Oviedo que empiezan un nuevo proyecto en la enseñanza de ecografia clínica . Mucha ilusión y esperamos que se amplíe la ecografia en pregrado. <a href="/SEMES_Asturias/">SEMES Asturias</a> <a href="/SemesMir/">SEMESMIR</a> <a href="/ecoSEMES_/">ecoSEMES</a> <a href="/ResiSEMES_CV/">SEMES Residentes CV</a> <a href="/ETVSEMES/">ETV-SEMES</a>
Issac Cheong (@issac80) 's Twitter Profile Photo

Transorbital Ultrasonography Used to Detect Papilledema in a Patient with Intracranial Hypertension Journal of Diagnostic Medical Sonography doi.org/10.1177/875647… #POCUS #papilledema

Ivan (@ivanartedo05) 's Twitter Profile Photo

Encantado de estar presente como en años anteriores difundiendo la ecografia point of care y rompiendo los esquemas tradicionales 😬 Universidad Oviedo SEMESMIR @UFVComunicacion SEMES #HUSA

NephroPOCUS (@nephrop) 's Twitter Profile Photo

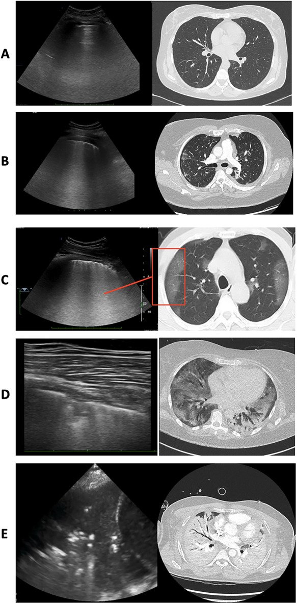
Lung #POCUS findings correlated to chest CT progressing from normal aeration (A), to progressively more deaerated conditions: coalescent B-lines (B and C), small peripheral consolidation (D), large consolidation (E). The red box in (C) shows an area of ncbi.nlm.nih.gov/pmc/articles/P…

Lung #POCUS findings correlated to chest CT progressing from normal aeration (A), to progressively more deaerated conditions: coalescent B-lines (B and C), small peripheral consolidation (D), large consolidation (E). The red box in (C) shows an area of ncbi.nlm.nih.gov/pmc/articles/P…
ecoSEMES (@ecosemes_) 's Twitter Profile Photo

Ecografía Clínica en pregrado… un tren que va cogiendo velocidad y ya no hay quien lo pare. ¿Tus alumnos ya se han subido como los de Ivan ?

Sergio Calleja (@montecoya) 's Twitter Profile Photo

Han puesto en marcha una plataforma web gratuíta llamada louis-stroke.com en honor del Profesor Louis R. Caplan. Si introduces los síntomas de tu paciente con ictus, la plataforma sugiere la posible topografía de la lesión y la arteria que puede estar implicada.

Han puesto en marcha una plataforma web gratuíta llamada louis-stroke.com en honor del Profesor Louis R. Caplan. Si introduces los síntomas de tu paciente con ictus, la plataforma sugiere la posible topografía de la lesión y la arteria que puede estar implicada.
UAB Emergency Ultrasound (@uab_sono) 's Twitter Profile Photo

41M w ischemic CM s/p recent VF arrest followed by ICD placement 3 wks prior who presented with CP/SOB. Cardiac #POCUS performed. What's the diagnosis? Next steps? UAB Emergency Medicine Residency Program UAB Cardiovascular Disease ACEP Ultrasound Jailyn/Ben #FOAMus #FOAMed #UABWOTW

ecoSEMES (@ecosemes_) 's Twitter Profile Photo

Nuestra propuesta científica para #SEMES2023 : las aplicaciones que serán rutinarias en el futuro y una perspectiva global de la Ecografía Clínica en nuestra Especialidad. No os lo podéis perder‼️‼️

Nuestra propuesta científica para #SEMES2023 : las aplicaciones que serán rutinarias en el futuro y una perspectiva global de la Ecografía Clínica en nuestra Especialidad. No os lo podéis perder‼️‼️
ecoSEMES (@ecosemes_) 's Twitter Profile Photo

La imagen muy buena pero hay que recordar que no por tener broncograma aéreo dinámico es una neumonía o por ser estático es una atelectasia. Orienta pero no diagnostica

Juanjo Zafra (@jj_zafra) 's Twitter Profile Photo

Gente de SEMES que vais al #congreso #SEMES23 y os gusta el rollo ecoSEMES !!! (a los que no tambien) No os perdáis esto: (ver vídeo con sonido)

NephroPOCUS (@nephrop) 's Twitter Profile Photo

New #POCUS review by SAlerhand, et al. What #echofirst findings differentiate acute pulmonary embolism and chronic pulmonary hypertension? #MedEd #FOAMcc 🔗 sciencedirect.com/science/articl…

New #POCUS review by <a href="/SAlerhand/">SAlerhand</a>, et al.
What #echofirst findings differentiate acute pulmonary embolism and chronic pulmonary hypertension?
#MedEd #FOAMcc 
🔗 sciencedirect.com/science/articl…
WINFOCUS WORLD (@winfocus) 's Twitter Profile Photo

LATEST NEWS! 8TH World Congress on Ultrasound in Medical Education! @ResaELewiss & Michael Blaivas speaking! - tinyurl.com/3pberd52 Jenny Mladenovic & Richard Hoppmann speaking on gender equity & careers in academics - tinyurl.com/57xzateb Register Now! wcume2023.org

LATEST NEWS! 8TH World Congress on Ultrasound in Medical Education!
@ResaELewiss &amp; Michael Blaivas speaking! - tinyurl.com/3pberd52
<a href="/dr_jennyM/">Jenny Mladenovic</a> &amp; <a href="/RichardHoppmann/">Richard Hoppmann</a> speaking on gender equity &amp; careers in academics - tinyurl.com/57xzateb
Register Now! wcume2023.org
ecoSEMES (@ecosemes_) 's Twitter Profile Photo

Como siempre toda eco (incluso en el contexto de una RCP) precisa una historia clínica. Aquí el peligro es ver únicamente el derrame y asumir q es la causa… va a ser una pericardiocentesis de unos 5 litros de sangre 😬

Tomas Villen (@tomasvillen) 's Twitter Profile Photo

Entras de turno a las 8.00 am y te pasan un paciente diagnosticado de ICA desde el día anterior pendiente de evolución y tto con diuréticos. Te explico en mi #HiloTesis qué aporta la eco y por qué deberías usarla SIEMPRE en esta situación Red Divulga Fundación Ignacio Larramendi Universidad Francisco de Vitoria

Entras de turno a las 8.00 am y te pasan un paciente diagnosticado de ICA desde el día anterior pendiente de evolución y tto con diuréticos. Te explico en mi #HiloTesis qué aporta la eco y por qué deberías usarla SIEMPRE en esta situación <a href="/RedDivulga/">Red Divulga</a> <a href="/filarramendi/">Fundación Ignacio Larramendi</a> <a href="/ufvmadrid/">Universidad Francisco de Vitoria</a>