د.فيصل المطيري (@faisalfjober) 's Twitter Profile
د.فيصل المطيري

@faisalfjober

استشاري طب أسنان الأطفال وذوي الإحتياجات الخاصة.

ID: 885131805057220610

linkhttps://t.snapchat.com/ec6WU6ij calendar_today12-07-2017 13:40:42

12,12K Tweet

10,10K Followers

2,2K Following

د.فيصل المطيري (@faisalfjober) 's Twitter Profile Photo

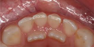
يستخدم مصطلح أسنان القرش لوصف الحالة التي تظهر فيها الأسنان الدائمة خلف أسنان الطفل اللبنية قبل أن تسقط، مما يؤدي إلى ظهور صفين من الأسنان، ويحدث هذا عادة بين سن 5-7 سنوات. لاداعي للقلق، غالبًا لا يتطلب اي علاج، لأن السن اللبني يصبح تدريجياً أكثر ارتخاءً ويسقط من تلقاء نفسه.

يستخدم مصطلح أسنان القرش لوصف الحالة التي تظهر فيها الأسنان الدائمة خلف أسنان الطفل اللبنية قبل أن تسقط، مما يؤدي إلى ظهور صفين من الأسنان، ويحدث هذا عادة بين سن 5-7 سنوات.

لاداعي للقلق، غالبًا لا يتطلب اي علاج، لأن السن اللبني يصبح تدريجياً أكثر ارتخاءً ويسقط من تلقاء نفسه.
د.فيصل المطيري (@faisalfjober) 's Twitter Profile Photo

#الغاز_الضاحك في عيادات اسنان الأطفال ؟ الغاز الضاحك (Nitrous oxide) هو غاز عديم اللون والرائحة يستخدم في بعض عيادات أسنان الأطفال لتخفيف الألم والتوتر أثناء العلاج. يتم استنشاق الغاز من خلال قناع يوضع على الأنف ويمتزج مع الهواء الذي يتنفسه الطفل. يعمل الغاز على تقليل الألم

#الغاز_الضاحك في عيادات اسنان الأطفال ؟

الغاز الضاحك (Nitrous oxide) هو غاز عديم اللون والرائحة يستخدم في بعض عيادات أسنان الأطفال لتخفيف الألم والتوتر أثناء العلاج.

يتم استنشاق الغاز من خلال قناع يوضع على الأنف ويمتزج مع الهواء الذي يتنفسه الطفل. 

يعمل الغاز على تقليل الألم
د.فيصل المطيري (@faisalfjober) 's Twitter Profile Photo

ابدأ العناية بأسنان طفلك مبكرًا حتى قبل بزوغ الأسنان! • امسح لثة الطفل بلُطْف بقطعة شاش مبللة أو منشفة ناعمة بعد كل رضعة، حتى قبل ظهور الأسنان. •عند بزوغ أول سن (عادة بين 6–10 أشهر)، ابدأ بتنظيفه بفرشاة أسنان ناعمة خاصة بالأطفال وماء فقط.

صفحة من القرآن يوميا (@holy_quran4) 's Twitter Profile Photo

صفحة من القران يومياً كفيلة بأن تبعدك عن هجره واتكفل انا بتنزيلها يوميا إن شاء الله الصفحة رقم ٥٢٥

صفحة من القران يومياً
كفيلة بأن تبعدك عن هجره 
واتكفل انا بتنزيلها يوميا إن شاء الله 
الصفحة رقم ٥٢٥
د.فيصل المطيري (@faisalfjober) 's Twitter Profile Photo

قال رسول الله ﷺ: “من صلى عليّ واحدة، صلى الله عليه بها عشرًا.” 📚 رواه مسلم. #يوم_الجمعة #الصلاة_على_النبي

قال رسول الله ﷺ:

“من صلى عليّ واحدة، صلى الله عليه بها عشرًا.”
📚 رواه مسلم.

#يوم_الجمعة 
#الصلاة_على_النبي
د.فيصل المطيري (@faisalfjober) 's Twitter Profile Photo

نرفع أسمى آيات التهاني والتبريكات لمقام خادم الحرمين الشريفين وولي عهده الأمين ولشعب السعودي العظيم بمناسبة اليوم الوطني السعودي 95. ودام عزك يا أغلى وطن 🇸🇦 #اليوم_الوطني_السعودي_95 #عزنا_بطبعنا

نرفع أسمى آيات التهاني والتبريكات لمقام خادم الحرمين الشريفين وولي عهده الأمين ولشعب السعودي العظيم بمناسبة اليوم الوطني السعودي 95.

ودام عزك يا أغلى وطن 🇸🇦

#اليوم_الوطني_السعودي_95 
#عزنا_بطبعنا
د.فيصل المطيري (@faisalfjober) 's Twitter Profile Photo

#مفتي_عام_المملكه رحمه الله رحمة واسعة وغفر له وانزله منازل السعداء في الجنة وجزاه عنا وعن الأمة الإسلامية خير الجزاء واحسن الله عزاء الجميع.

سلمان بن عبدالعزيز (@kingsalman) 's Twitter Profile Photo

في ذكرى يومنا الوطني، نحمد الله على ما تحقق من إنجازات في بلادنا الغالية، ووحدة وطنية قامت على الشريعة الإسلامية والعدل.

بَسَّام الحَامِدِي (@bassam_0a0) 's Twitter Profile Photo

أخبار السعودية أخلاق تنطق بالحكمة.. كُن أنت الرسالة. حافظ على ابتسامتك مع الجميع. ﴿وَقُولُوا لِلنَّاسِ حُسْنًا﴾ {البقرة 83} الابتسامة من أحسن القول، فهي صدقة تُهديها بلا كلام. لا تنصح من لم يطلب منك النصيحة. ﴿وَمَا أَنْتَ عَلَيْهِمْ بِجَبَّارٍ﴾ {ق 45} الدعوة بالحكمة تبدأ بالاستئذان، لا

د.فيصل المطيري (@faisalfjober) 's Twitter Profile Photo

كيف تحافظ على أسنان طفلك ؟!🦷👶🏻 1. تنظيف الأسنان مرتين يومياً على الأقل 2. الإشراف على تنظيف الأسنان حتى عمر 8 سنوات 3. التقليل من السكريات 4. المراجعة الدورية كل 3 إلى 6 أشهر للمتابعة وتنظيف الأسنان عند الطبيب واكتشاف أي مشاكل مبكراً قبل أن تتطور. #طب_أسنان_الأطفال

Dr. Heji Alzoayed (@drheji_alzoayed) 's Twitter Profile Photo

توجيه مهم حول استخدام شراب الباراسيتامول لخفض الحرارة عند الأطفال الدواء باراسيتامول (Paracetamol) هو الاسم العلمي، وله أسماء تجارية متعددة مثل: فيفادول – أدول – باندركس وغيرها. ملاحظة مهمة قبل الاستخدام: يجب التأكد من تركيز الشراب المكتوب على العلبة، لأن بعض الأنواع تكون

توجيه مهم  حول استخدام شراب الباراسيتامول لخفض الحرارة عند الأطفال

الدواء باراسيتامول (Paracetamol) هو الاسم العلمي، وله أسماء تجارية متعددة مثل:

فيفادول – أدول – باندركس وغيرها.

ملاحظة مهمة قبل الاستخدام:

يجب التأكد من تركيز الشراب المكتوب على العلبة،
لأن بعض الأنواع تكون
د.فيصل المطيري (@faisalfjober) 's Twitter Profile Photo

اللهم إني أصبحتُ أُشهدكَ وأُشهدُ حملةَ عرشك وملائكتكَ وجميع خلقك أنك أنت الله لا إله إلا أنت وحدك لا شريك لك وأن محمدًا عَبدٌكَ ورسولك. #أذكار_الصباح

المُصْحَف (@almosahf) 's Twitter Profile Photo

﴿إِنَّ اللَّهَ لَذُو فَضْلٍ عَلَى النَّاسِ وَلَٰكِنَّ أَكْثَرَ النَّاسِ لَا يَشْكُرُونَ﴾

د.فيصل المطيري (@faisalfjober) 's Twitter Profile Photo

الطبيب الذي يعالج المريض، ويخفف ألمه، ويهتم بحاله ينال أجر الصدقة والإحسان، لأنه يقدّم خدمة عظيمة تُحيي النفوس وتمنح الأمل إذا صاحَبَه الإخلاص والنية الصالحة، وأجره عند الله عظيم.