نادي طب الطوارئ | Emergency Medicine Students Club (@emsc_kau) 's Twitter Profile
نادي طب الطوارئ | Emergency Medicine Students Club

@emsc_kau

النادي الطلابي لطب الطوارئ برعاية كلية الطب بجامعة الملك عبدالعزيز

ID: 1133984783300800512

calendar_today30-05-2019 06:33:35

194 Tweet

1,1K Followers

13 Following

نادي طب الطوارئ | Emergency Medicine Students Club (@emsc_kau) 's Twitter Profile Photo

Fact of the day 💡: In women, elderly, and diabetic patients, acute coronary syndrome often presents without chest pain due to altered pain perception or autonomic neuropathy. Always keep a broad differential!

نادي طب الطوارئ | Emergency Medicine Students Club (@emsc_kau) 's Twitter Profile Photo

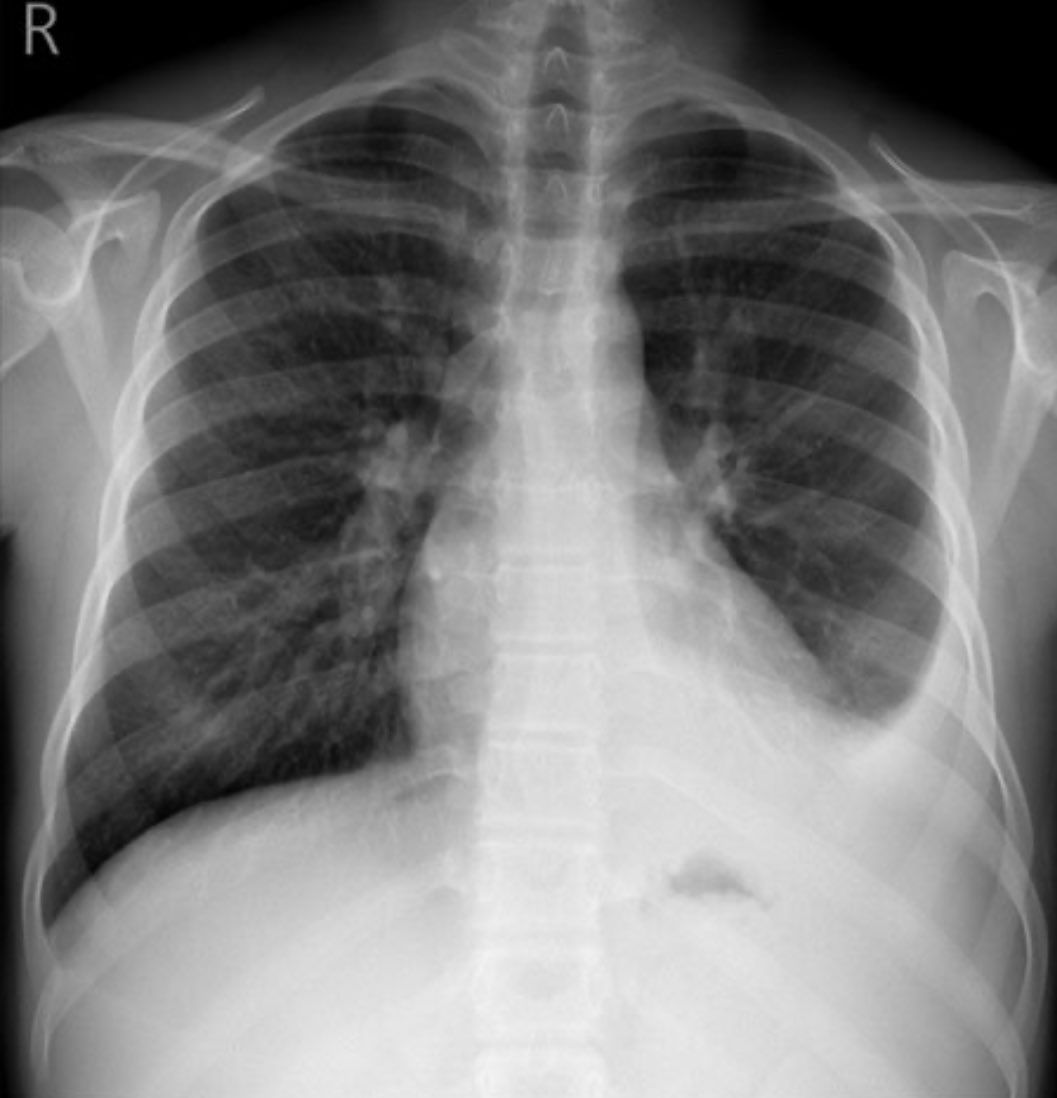
A 20yo male came to the ER with fever, chills and shortness of breath. A chest X-ray was done. 🚑 What is the name of the sign you see? What does it classically indicate?

A 20yo male came to the ER with fever, chills and shortness of breath. A chest X-ray was done. 🚑

What is the name of the sign you see? 
What does it classically indicate?
نادي طب الطوارئ | Emergency Medicine Students Club (@emsc_kau) 's Twitter Profile Photo

Tip of the day 💡: In a suspected cervical spine injury, immobilizing the patient is a critical principle to prevent further damage, including paralysis, and should be done before attempting complex airway maneuvers like the head-tilt/chin-lift technique!

نادي طب الطوارئ | Emergency Medicine Students Club (@emsc_kau) 's Twitter Profile Photo

A 58-year-old man with a history of hypertension presents with sudden-onset severe chest pain radiating to the back. His blood pressure is 180/100 mmHg in the right arm and 130/80 mmHg in the left arm. What’s the diagnosis? 🎯

A 58-year-old man with a history of hypertension presents with sudden-onset severe chest pain radiating to the back. His blood pressure is 180/100 mmHg in the right arm and 130/80 mmHg in the left arm.

What’s the diagnosis? 🎯
نادي طب الطوارئ | Emergency Medicine Students Club (@emsc_kau) 's Twitter Profile Photo

Tip of the day💡: If in doubt with serious symptoms, don’t drive yourself, call for emergency services. For instance, when experiencing chest pain, stroke-like signs, or inability to safely transport yourself, call 911 (or your local emergency number).

نادي طب الطوارئ | Emergency Medicine Students Club (@emsc_kau) 's Twitter Profile Photo

⏳: A 62-year-old diabetic patient presents with fever, confusion, and blood pressure 85/50. He has warm extremities, bounding pulses, and a wide pulse pressure. What type of shock is most likely?

نادي طب الطوارئ | Emergency Medicine Students Club (@emsc_kau) 's Twitter Profile Photo

In a trauma patient with hypotension and distended neck veins, think immediately of tension pneumothorax, not hemorrhagic shock! - Hemorrhagic shock causes flat neck veins. - Tension pneumothorax causes elevated JVP, respiratory distress, and unilateral absent breath sounds.

نادي طب الطوارئ | Emergency Medicine Students Club (@emsc_kau) 's Twitter Profile Photo

Tip of the day 💡: Treat pain early, even before the final diagnosis. Early analgesia in the ED improves patient outcomes, reduces anxiety, and does not delay or obscure diagnosis, including in abdominal pain and trauma cases.