Danny Ge (@dannyge2) 's Twitter Profile
Danny Ge

@dannyge2

University of Illinois College of Medicine at Peoria class of 2019 | Aspiring interventional radiologist | SIR RFS research committee

ID: 1020347261996478465

calendar_today20-07-2018 16:38:39

11 Tweet

22 Takipçi

24 Takip Edilen

Danny Ge (@dannyge2) 's Twitter Profile Photo

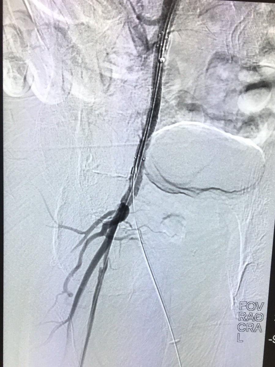
Right external iliac occlusion. Wire went subintimally antegrade and retrograde. Outback catheter deployed to re-enter true lumen. Successful drug-eluting stent placement UICOMP Radiology SIR RFS #SIR #IRad #TwittIR #JVIR Society of Interventional Radiology

Right external iliac occlusion. Wire went subintimally antegrade and retrograde. Outback catheter deployed to re-enter true lumen. Successful drug-eluting stent placement <a href="/UICOMPRadiology/">UICOMP Radiology</a> <a href="/SIRRFS/">SIR RFS</a> #SIR #IRad #TwittIR #JVIR  <a href="/SIRspecialists/">Society of Interventional Radiology</a>
UICOMP Radiology (@uicompradiology) 's Twitter Profile Photo

Successful IVC filter placement in duplicate IVC. Q: Why perform venogram? A: IVC patency, IVC size, locate renal veins, ensure no duplicate IVC (prevalence 0.2%–0.3%). #IRad SIR RFS Society of Interventional Radiology Paige Maurer Nerina DiSomma Danny Ge @yhkarrar BCoombs JVIR

UICOMP Radiology (@uicompradiology) 's Twitter Profile Photo

Chronically occluded distal aorta & b/l common iliac arteries. Subintimal arterial flossing w/ antegrade-retrograde intervention (SAFARI), recan, & distal aorta + b/l kissing stents in b/l common iliac arteries. SIR RFS Society of Interventional Radiology JVIR #TwittIR #IRad

Chronically occluded distal aorta &amp; b/l common iliac arteries. Subintimal arterial flossing w/ antegrade-retrograde intervention (SAFARI), recan, &amp; distal aorta + b/l kissing stents in b/l common iliac arteries. <a href="/SIRRFS/">SIR RFS</a> <a href="/SIRspecialists/">Society of Interventional Radiology</a> <a href="/JVIRmedia/">JVIR</a> #TwittIR #IRad
UICOMP Radiology (@uicompradiology) 's Twitter Profile Photo

Our 4th year medical students had an action packed rotation. Thanks UICOMP IR for your dedication to medical student education! BCoombs @yhkarrar Good luck on your next adventures M4s! SIR RFS Danny Ge Paige Maurer Nerina DiSomma #IRad

Our 4th year medical students had an action packed rotation. Thanks UICOMP IR for your dedication to medical student education! <a href="/NvrTellMeTheOdd/">BCoombs</a> @yhkarrar Good luck on your next adventures M4s! <a href="/SIRRFS/">SIR RFS</a> <a href="/DannyGe2/">Danny Ge</a> <a href="/PaigeKMaurer/">Paige Maurer</a> <a href="/DiSommaNerina/">Nerina DiSomma</a> #IRad
UICOMP Radiology (@uicompradiology) 's Twitter Profile Photo

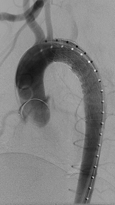
Blunt aortic injury (BAI) & repair. Heneghan et al suggest simplified SVS grading criteria based on tx differences. Thoughts? Minimal=nonoperative. Moderate=semielective TEVAR. Severe=emergency TEVAR. (J Vasc Surg 2016;64:171-6.) SIR RFS Society of Interventional Radiology JVIR

Blunt aortic injury (BAI) &amp; repair. Heneghan et al suggest simplified SVS grading criteria based on tx differences. Thoughts? Minimal=nonoperative. Moderate=semielective TEVAR. Severe=emergency TEVAR. (J Vasc Surg 2016;64:171-6.) <a href="/SIRRFS/">SIR RFS</a> <a href="/SIRspecialists/">Society of Interventional Radiology</a> <a href="/JVIRmedia/">JVIR</a>