Daniel Babu, MD (@danbabumd) 's Twitter Profile
Daniel Babu, MD

@danbabumd

Hematopathologist. Opinions my own; RTs/likes not endorsements.

ID: 2194724255

calendar_today24-11-2013 22:35:53

4,4K Tweet

3,3K Followers

598 Following

Fernando Martín Moro (@fer_martinmoro) 's Twitter Profile Photo

First experience with CRLF2 expression in an adult patient with ALL-B without recurrent genetic abnormalities, at University Hospital of Getafe Flow #Cytometry Lab jose garcia vela 🧵⤵️

First experience with CRLF2 expression in an adult patient with ALL-B without recurrent genetic abnormalities, at University Hospital of Getafe Flow #Cytometry Lab <a href="/jagarciavela/">jose garcia vela</a> 🧵⤵️
Siba El Hussein, MD (@sibaelhussein) 's Twitter Profile Photo

#Never_stop_at_one_diagnosis : Classic Hodgkin Lymphoma (CHL) with a granulomatous background (black arrows: granulomas) #hemepath #lymsm #pathtwitter #medtwitter

#Never_stop_at_one_diagnosis :
Classic Hodgkin Lymphoma (CHL) with a granulomatous background (black arrows: granulomas) #hemepath #lymsm #pathtwitter #medtwitter
Siba El Hussein, MD (@sibaelhussein) 's Twitter Profile Photo

Bone marrow involvement by previously established myeloma (population labeled 1), marginal zone lymphoma (population 2) & CLL/SLL (population 3) #hemepath #lymsm #PathTwitter #MedTwitter ICCS_Education Véronique Saada

Bone marrow involvement by previously established myeloma (population labeled 1), marginal zone lymphoma (population 2) &amp; CLL/SLL (population 3) #hemepath #lymsm #PathTwitter #MedTwitter <a href="/ICCS_Education/">ICCS_Education</a> <a href="/saada_vsaada/">Véronique Saada</a>
Siba El Hussein, MD (@sibaelhussein) 's Twitter Profile Photo

Illustration of the floral variant of follicular lymphoma➡️ 🩸Rare distinct morphologic entity 🩸Can be seen in all grades of FL 🩸Most importantly: Can mimic progressive transformation of germinal center (PTGC) 🩸Which may lead to underdiganosis as a reactive, rather than a

Illustration of the floral variant of follicular lymphoma➡️
🩸Rare distinct morphologic entity 
🩸Can be seen in all grades of FL
🩸Most importantly: Can mimic progressive transformation of germinal center (PTGC)
🩸Which may lead to underdiganosis as a reactive, rather than a
ICCS (@news_iccs) 's Twitter Profile Photo

ICCS WEBINAR | Flow Cytometry in Detecting Abnormalities in T Cells will take place on Tues. May 21 at 12pm ET. All are welcome. ICCS_Education @ICCS_WIC Here is link to register: cytometry.org/web/calendar.p…

ICCS WEBINAR | Flow Cytometry in Detecting Abnormalities in T Cells will take place on Tues. May 21 at 12pm ET. All are welcome. <a href="/ICCS_Education/">ICCS_Education</a> <a href="/IccsWic/">@ICCS_WIC</a> Here is link to register: cytometry.org/web/calendar.p…
Oscar F. Borja Montes, MD (@oscarfborja) 's Twitter Profile Photo

This is our most recent article on VEXAS syndrome. @arkhamknight96 Abu Baker Sheikh, MD, FACP VEXAS syndrome unveiled: a multidimensional journey from clinical presentation to management: Baylor University Medical Center Proceedings: Vol 0, No 0 - Get Access tandfonline.com/doi/full/10.10…

ICCS_Education (@iccs_education) 's Twitter Profile Photo

The FDA has released its final rule on Laboratory Developed Tests. To learn more about the potential impact of the new regulatory landscape on your lab, sign up now for this free ASCP expert panel virtual town hall on Tuesday, May 21 at noon CDT: ascp-org.zoom.us/webinar/regist…

The FDA has released its final rule on Laboratory Developed Tests. To learn more about the potential impact of the new regulatory landscape on your lab, sign up now for this free <a href="/ASCP_Chicago/">ASCP</a> expert panel virtual town hall on Tuesday, May 21 at noon CDT: ascp-org.zoom.us/webinar/regist…
Blood Journal (@bloodjournal) 's Twitter Profile Photo

AEL transformed from post-ET myelofibrosis with a sinusoidal pattern, JAK2 mutation, and biallelic TP53 inactivation ow.ly/Nj9U50RIL7r #bloodwork #myeloidneoplasia

AEL transformed from post-ET myelofibrosis with a sinusoidal pattern, JAK2 mutation, and biallelic TP53 inactivation
ow.ly/Nj9U50RIL7r #bloodwork #myeloidneoplasia
ICCS_Education (@iccs_education) 's Twitter Profile Photo

Don't miss this webinar TODAY, May 23 at 10 am CDT from the College of American Pathologists on FDA's Final Rule for Laboratory-Developed tests. Register here: cap-org.zoom.us/webinar/regist…

Don't miss this webinar TODAY, May 23 at 10 am CDT from the College of American Pathologists on FDA's Final Rule for Laboratory-Developed tests. 
Register here: cap-org.zoom.us/webinar/regist…
Jake Bledsoe (@jake_bledsoe) 's Twitter Profile Photo

How to recognize and diagnose acute promyelocytic leukemia with TTMV::RARA fusion. It is cryptic on all standard testing modalities, unless you know what to look for… Free link below! authors.elsevier.com/a/1j8XI3B8d8%7… #hemepath #leusm #pathtwitter

ICCS_Education (@iccs_education) 's Twitter Profile Photo

TRBC1 has been a much-needed game changer in T-cell analysis. K Devitt MD et al discuss utility & incorporation of TRBC1 into #flowcytometry panels as well as interpretation & reporting issues in this new paper from Clinical Cytometry! #flowEdu #hemepath onlinelibrary.wiley.com/doi/10.1002/cy…

TRBC1 has been a much-needed game changer in T-cell analysis. <a href="/kdevittvt/">K Devitt MD</a> et al discuss utility &amp; incorporation of TRBC1 into #flowcytometry panels as well as interpretation &amp; reporting issues in this new paper from Clinical Cytometry! #flowEdu #hemepath

onlinelibrary.wiley.com/doi/10.1002/cy…
Kamran Mirza MD PhD - کامران مرزا (@kmirza) 's Twitter Profile Photo

🚨 The FDA's proposed rule on #LDTs (Laboratory Developed Tests) could drastically impact patient care by limiting access to essential diagnostic tests! Timely editorial by Dr. Genzen and Dr. Moser in Lab Medicine #HealthcareReform #Pathology #LDTs" bit.ly/4bZtoPs

🚨 The FDA's proposed rule on #LDTs (Laboratory Developed Tests) could drastically impact patient care by limiting access to essential diagnostic tests! Timely editorial by Dr. Genzen and Dr. Moser in <a href="/LabMedjournal/">Lab Medicine</a> #HealthcareReform #Pathology #LDTs" bit.ly/4bZtoPs
Feras Zaiem, MD (@feraszaiem) 's Twitter Profile Photo

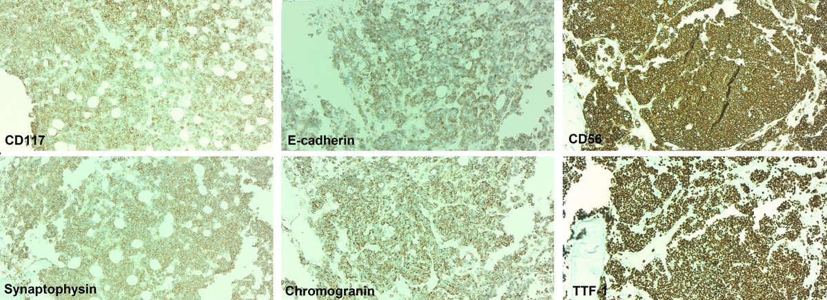
70s, pancytopenia, no hx/imaging. Dx: Met ca with NE diff, favor lung. Almost came very close to call it erythroid hyperplasia and move on. The clusters on aspirates bothered me to do more IHCs. F/u showed lung small cell ca! FISH: del(5q)! More info⬇️ #PathTwitter #HemePath

70s, pancytopenia, no hx/imaging.
Dx: Met ca with NE diff, favor lung.

Almost came very close to call it erythroid hyperplasia and move on. The clusters on aspirates bothered me to do more IHCs. F/u showed lung small cell ca!

FISH: del(5q)! More info⬇️
#PathTwitter #HemePath
ICCS_Education (@iccs_education) 's Twitter Profile Photo

T, B, and NK-cell enumeration is of the most common and important assays performed in flow cytometry labs. Learn how you can improve your assay by using additional markers and optimal gating strategies in the latest module from the ICCS Q & S Committee! cytometry.org/web/modules/Mo…

T, B, and NK-cell enumeration is of the most common and important assays performed in flow cytometry labs. Learn how you can improve your assay by using additional markers and optimal gating strategies in the latest module from the ICCS Q &amp; S Committee!
cytometry.org/web/modules/Mo…
NRMP® (@thenrmp) 's Twitter Profile Photo

NRMP® is excited to welcome Hematopathology and Molecular Genetic Pathology to the new multi-specialty Pathology Fellowship Match! Welcome to the #NRMP, SocforHemepath and @AMpath! ow.ly/qyhc50S9Z6F #FellowMatch #MedEd

Judith Ferry (@judith_ferry) 's Twitter Profile Photo

Dear friends and colleagues, check out my review article on space-associated lymphomas. authors.elsevier.com/a/1jFaa6FKYG3M… #hemepath #lymphoma

ICCS (@news_iccs) 's Twitter Profile Photo

Join us for the next ICCS Practical Course in San Antonio, Texas. This will take place January 14-16, 2025. @ICCS_WIC ICCS_Education. More Information can be found here: cytometry.org/2025-Practical…

Join us for the next ICCS Practical Course in San Antonio, Texas. This will take place January 14-16, 2025. <a href="/IccsWic/">@ICCS_WIC</a> <a href="/ICCS_Education/">ICCS_Education</a>.  More Information can be found here: cytometry.org/2025-Practical…
cherians (@sindhucherian) 's Twitter Profile Photo

Did you know… Not all CD38 directed targeted therapy has the same impact on flow cytometry studies. To learn more, see this recent report in the British Journal of Haematology brought to you by Afshin Shameli . doi.org/10.1111/bjh.20…

Did you know… Not all CD38 directed targeted therapy has the same impact on flow cytometry studies. To learn more, see this recent report in the <a href="/BrJHaem/">British Journal of Haematology</a> brought to you by <a href="/AfshinShameli/">Afshin Shameli</a> . 

doi.org/10.1111/bjh.20…
ICCS (@news_iccs) 's Twitter Profile Photo

Register before Dec 6 to receive the early registration rate and secure your spot. ICCS_Education To view the full course description, use this link: cytometry.org/2026-PC/course…