
Daisy Maharjan
@daisymdpath
ECFMG certified, #PathMatch23 applicant #pathtwitter
DipRCPath (UK),MD Path (TU, IOM)
Consultant pathologist Shukraraj Tropical and Infectious Disease Hospital
ID: 1260530385043087362
13-05-2020 11:21:19
150 Tweet
315 Takipçi
563 Takip Edilen



Gross Spotter craze- Adrenal myelolipoma, admixture of adipose tissue and haemorrhagic areas. #APCON2022 #APCON2022PathTweet Adriana Ancer Padma Priya J Aditya Agnihotri 🇮🇳 Archana bhat Annie A. Wu, MD, PhD Frank Ingram, MD Daisy Maharjan Sandeep Mathur Department of Pathology, AIIMS, New Delhi Dr Anila Sharma Arunima Deb, MD


Thank you CAP Foundation for the recognition and opportunity. I am excited to attend #CAP22 virtually. Too eager to learn and meet wonderful people of Pathology. 🙏




Q for global pathologists: Do you follow any standarized cancer reporting templates? Like CAP cancer protocol or ICCR? If yes, which one? and how do you encorporate it in your report? Please comment with country of practice! #path2path #PathTwitter Pepe Jiménez Heffernan Olaleke Folaranmi

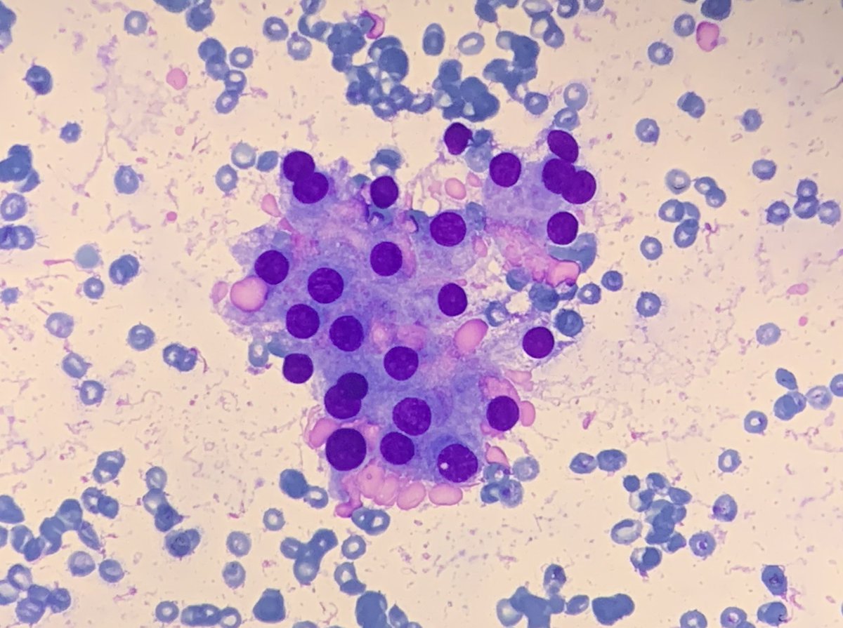
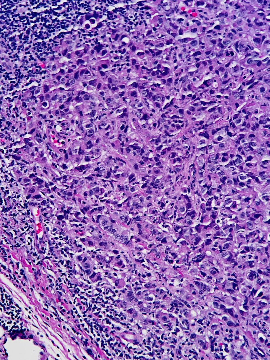
Incidental finding in a screening case ;) #BreastPathology #PathTwitterFamily #PathTwitter Alexander Damron, MD Elizabeth Montgomery, MD Olaleke Folaranmi Dr. Luca Eylül Gün, MD Pembe Oltulu, MD Jerad Gardner, MD Nejib Ben Yahia, MD Karen Pinto DNB, FRCPath M Adib Houreih, M.D, DipRCPath محمد أديب حورية Masood Hassan @Mattzaborowski1 Ari M A. Cristina Vargas


Mark your calendar for January 25th at 12pm EST, as you don’t want to miss three captivating cases in the first @ISGyP LiVE Interesting Case Presentations of 2023! Register now at isgyp.ca Manisha Goel Ciarán Ó Riain University of Chicago Pathology Columbia Pathology @IJGP @gynpath


#PULMPATH Non-Small Cell Carcinoma, Pitfalls and Mimics (Dr. Yasmeen M. Butt, Assistant Professor of Pathology, Mayo Clinic, Arizona ) 🗓 February 28, 2023 - 12:00 PM (ET, NYC)


Different pattern of immune deposits within the glomerulus on immunofluorescence#pathcastvideos# Wonderful lecture on renal biopsy#Basic Kidney Pathology for Pathology Boards Rifat Mannan, MD pathCast Arkana Laboratories youtube.com/watch?v=VbvUtJ…


Margination of neutrophils within the glomerular capillary loops, think of renal vein thrombosis!! Thank you Shree Sharma @pathcast Rifat Mannan, MD for the informative lecture on Basic Kidney Pathology#pathcast#


#PATHBOARDS Basic Kidney Pathology for Pathology Boards - Part 1 (Dr. Shree Sharma, Laboratory Director Arkana Laboratories) 📷April 18, 2023 - 12:00 PM (ET, NYC)




FREE Pathology Board Review for Pulmonary Fellows youtu.be/kOdw_p6KfrA via YouTube Please share if you know fellows who are taking pulm boards and need to brush up on lung pathology Naftali Kaminski Puja Mehta 🧩 🌻 Dr. Bharat Gopal 🫁 🇮🇳 Leticia Kawano-Dourado (I'm on BlueSky/LinkedIn) joe cicenia Atul C Mehta @smittay07


Calling all our #Globalpath #PathTwitter community to register for this informative webinar by CAP Foundation ! The Royal College of Pathologists of Australasia @britishcytology @turkishpath Olaleke Folaranmi ASCO #path2path #cancerprotocol CAPathologists The Australasian Division of the IAP International Academy Cytology IARC #MedEd Kamran Mirza MD PhD - کامران مرزا Jerad Gardner, MD Sanjay Mukhopadhyay

an amazing insight into #pathology #complexitytheory...how to always look at the slide through "the eyes of a beginner (who sees many) and not that of an expert (who sees less)"!! Abhimanyu (Abhi) Tushir, MD Arun Ranjan Napit Daisy Maharjan Priyanka Batra, MD Dr. Luca #PathTwitter

Join us tomorrow pathCast #pathboards #PathTwitter Abhimanyu (Abhi) Tushir, MD City of Hope @HadeerMKEm Daisy Maharjan