Ayah Ali (@ayahkali) 's Twitter Profile
Ayah Ali

@ayahkali

Breast Path Fellow at Northwestern_University and Hemepath trained at Loyola, AP/CP at Creighton

ID: 1542993543052107776

calendar_today01-07-2022 22:08:59

33 Tweet

26 Followers

36 Following

Kamran Mirza MD PhD - کامران مرزا (@kmirza) 's Twitter Profile Photo

An amazing evening celebrating all the excellent trainees graduating Loyola Pathology & Laboratory Medicine!! A special shout out to our incredible Loyola Hematopathology fellows Ayah Ali and @MrMork87 - I am SO PROUD of you! 🙌🏾🙌🏾 We will miss you but we know that you will take the skills, lessons and

An amazing evening celebrating all the excellent trainees graduating <a href="/loyolapathology/">Loyola Pathology & Laboratory Medicine</a>!!

A special shout out to our incredible <a href="/LoyolaHemePath/">Loyola Hematopathology</a> fellows <a href="/AyahKali/">Ayah Ali</a> and @MrMork87 - I am SO PROUD of you! 🙌🏾🙌🏾

We will miss you but we know that you will take the skills, lessons and
Raza Hoda MD (@razahoda) 's Twitter Profile Photo

Case of Postradiation Angiosarcoma (RT-AS) 🔬 RT-AS is found in superficial breast or chest wall of patients who received adjuvant radiation therapy, shows infiltrative channels with atypical endothelial cells, and has MYC gene amplification. #PathTwitter #PathX #breastpath

Case of Postradiation Angiosarcoma (RT-AS) 🔬

RT-AS is found in superficial breast or chest wall of patients who received adjuvant radiation therapy, shows infiltrative channels with atypical endothelial cells, and has MYC gene amplification.

#PathTwitter #PathX #breastpath
Raza Hoda MD (@razahoda) 's Twitter Profile Photo

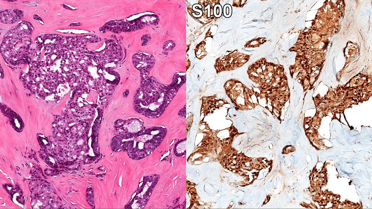
Case of Secretory Carcinoma of Breast🔬 Secretory carcinoma is an exceptionally rare triple-negative breast tumor analogous to its salivary gland counterpart, shows abundant eosinophilic or amphophilic secretions, and typically positive for S100. #PathX #PathTwitter #breastpath

Case of Secretory Carcinoma of Breast🔬

Secretory carcinoma is an exceptionally rare triple-negative breast tumor analogous to its salivary gland counterpart, shows abundant eosinophilic or amphophilic secretions, and typically positive for S100.

#PathX #PathTwitter #breastpath
Raza Hoda MD (@razahoda) 's Twitter Profile Photo

Case of Rosai-Dorfman Disease of Breast 🔬 Rosai-Dorfman Disease (shown 👇) is an exceptional occurrence in breast and can mimic other S100+ lesions, like Langerhans cell histiocytosis, Erdheim-Chester disease, and metastatic melanoma. #PathX #PathTwitter #breastpath #hemepath

Case of Rosai-Dorfman Disease of Breast 🔬

Rosai-Dorfman Disease (shown 👇) is an exceptional occurrence in breast and can mimic other S100+ lesions, like Langerhans cell histiocytosis, Erdheim-Chester disease, and metastatic melanoma.

#PathX #PathTwitter #breastpath #hemepath