Araceli Abad (@araceliabad4) 's Twitter Profile
Araceli Abad

@araceliabad4

Neumóloga a tiempo parcial. Jefa de Servicio del Hospital Universitario de Getafe. Interés por el soñar, el ventilar y el bien respirar.

ID: 1145381477418491904

calendar_today30-06-2019 17:19:59

853 Tweet

927 Takipçi

451 Takip Edilen

Maite Rio (@rrtechu) 's Twitter Profile Photo

Hoy hemos realizado el primer procedimiento con crioEBUS en Neumología Hospital Universitario de Getafe. Agradecimiento al resto del equipo y a los dos grandes referentes en la técnica Miguel Ariza Prota y Javier Perez Pallares #Neumologia que nos han acompañado. Avanzamos. Medicina más precisa y menos invasiva.👌🏽

Hoy hemos realizado el primer procedimiento con crioEBUS en <a href="/Neumologia_HUG/">Neumología Hospital Universitario de Getafe</a>. Agradecimiento al resto del equipo y a los dos grandes referentes en la técnica <a href="/MiguelAriza83/">Miguel Ariza Prota</a> y <a href="/jpallaresneumo/">Javier Perez Pallares #Neumologia</a> que nos han acompañado. Avanzamos. Medicina más precisa y menos invasiva.👌🏽
Javier Perez Pallares #Neumologia (@jpallaresneumo) 's Twitter Profile Photo

Q emoción haber vivido con vosotros este primer paso tan importante!. Nos llevamos momentos imborrables Gracias por la confianza, por la ilusión y por apostar por una neumología más precisa, segura y humana. ¡Lo mejor está por venir! 👏💙 Seguimos caminando juntos.

Neumología Hospital Universitario de Getafe (@neumologia_hug) 's Twitter Profile Photo

#ERS2025 🫁El Dr @Mrmora residente Neumología Hospital Universitario de Getafe 🩺 presenta: -Pitolisant in the management of Obstructive Sleep Apnea with persistent daytime sleepiness despite CPAP/APAP adherence. -Managemente of intermediate-risk acute pulmonary embolism:The role of intermediate care units.

#ERS2025 🫁El Dr @Mrmora residente <a href="/Neumologia_HUG/">Neumología Hospital Universitario de Getafe</a> 🩺 presenta:
-Pitolisant in the management of Obstructive Sleep Apnea with persistent daytime sleepiness despite CPAP/APAP adherence.
-Managemente of intermediate-risk acute pulmonary embolism:The role of intermediate care units.
Neumología Hospital Universitario de Getafe (@neumologia_hug) 's Twitter Profile Photo

#ERS2025 La Dra Neumocitocurioso🫁 compañera de Neumología Hospital Universitario de Getafe 🫁presenta: - Phenotype analysis of chronic Bronchial infection patients on inhaled antibiotic therapy: A multicentre retrospective cohort study in Spain (INBREATHING STUDY).

#ERS2025 La Dra <a href="/biosani/">Neumocitocurioso🫁</a>  compañera de <a href="/Neumologia_HUG/">Neumología Hospital Universitario de Getafe</a> 🫁presenta:
- Phenotype analysis of chronic Bronchial infection patients on inhaled antibiotic therapy: A multicentre retrospective cohort study in Spain (INBREATHING STUDY).
Salud Madrid (@saludmadrid) 's Twitter Profile Photo

🏥 El Hospital público de Getafe impulsa los avances en la asistencia a pacientes con glucogenosis y la enfermedad de Pompe. ✅ Ha acogido un congreso internacional sobre estas patologías, consideradas raras. comunidad.madrid/noticias/2025/…

Neumocitocurioso🫁 (@biosani) 's Twitter Profile Photo

Muy feliz por recibir el Premio NeumoMadrid a la Divulgación por el proyecto Neumocitocurioso. Gracias @Neumomadrid y a todos los que cada día hacéis posible que la neumología llegue más lejos. 💙 #PremiosNeumoMadrid2025 #DivulgaciónCientífica #Neumología

Muy feliz por recibir el Premio NeumoMadrid a la Divulgación por el proyecto Neumocitocurioso.
Gracias @Neumomadrid y a todos los que cada día hacéis posible que la neumología llegue más lejos. 💙
#PremiosNeumoMadrid2025 #DivulgaciónCientífica #Neumología
Neumocitocurioso🫁 (@biosani) 's Twitter Profile Photo

Muy feliz por recibir el Premio NeumoMadrid 2025 al Proyecto Novel de Investigación por nuestro trabajo: “Registro de levofloxacino nebulizado en pacientes con bronquiectasias no FQ: estudio retrospectivo y multicéntrico en vida real (INBREATHING)”. Gracias a GETIR SEPAR

Muy feliz por recibir el Premio NeumoMadrid 2025 al Proyecto Novel de Investigación por nuestro trabajo:
“Registro de levofloxacino nebulizado en pacientes con bronquiectasias no FQ: estudio retrospectivo y multicéntrico en vida real (INBREATHING)”.
Gracias a <a href="/getirsepar/">GETIR SEPAR</a>
Neumocitocurioso🫁 (@biosani) 's Twitter Profile Photo

💙 Muy orgullosa de mis compañeros Diego Durán y María Teresa Rio reconocidos en los Premios NeumoMadrid 2025 con dos becas de investigación, y de la bolsa de viaje obtenida por nuestro residente Alejandro García. #NeumoMadrid2025 #HospitalGetafe #Neumología Neumología Hospital Universitario de Getafe

💙 Muy orgullosa de mis compañeros Diego Durán y María Teresa Rio reconocidos en los Premios NeumoMadrid 2025 con dos becas de investigación, y de la bolsa de viaje obtenida por nuestro residente Alejandro García.
#NeumoMadrid2025 #HospitalGetafe #Neumología <a href="/Neumologia_HUG/">Neumología Hospital Universitario de Getafe</a>
Neumocitocurioso🫁 (@biosani) 's Twitter Profile Photo

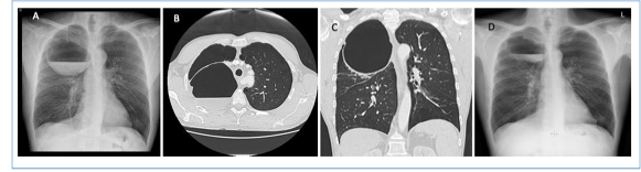
🫁 Publicado en la Revista de Patología Respiratoria “Bulla pulmonar gigante sobreinfectada: evolución favorable con antibioterapia” RPR 2025;28(3):178-179 👏 ¡Enhorabuena a nuestra residente María Conejero por este excelente trabajo! 🔗 doi.org/10.24875/RPR.2… #bulla

🫁 Publicado en la Revista de Patología Respiratoria
“Bulla pulmonar gigante sobreinfectada: evolución favorable con antibioterapia” RPR 2025;28(3):178-179

👏 ¡Enhorabuena a nuestra residente María Conejero por este excelente trabajo!
🔗 doi.org/10.24875/RPR.2…
#bulla
Neumología Hospital Universitario de Getafe (@neumologia_hug) 's Twitter Profile Photo

#PremiosNeumomadrid2025 Becas a Proyectos de Investigación para Maite Rio Diego Durán y Neumocitocurioso🫁 Premio a la labor médica divulgativa: Neumocitocurioso🫁 Premio Mejor residente del año: Dra Castellanos🩺. Es un orgullo para Neumología Hospital Universitario de Getafe contar con este gran equipo!Enhorabuena compañeros!!🫁

#PremiosNeumomadrid2025
Becas a Proyectos de Investigación para <a href="/RrTechu/">Maite Rio</a> <a href="/dduranb/">Diego Durán</a> y <a href="/biosani/">Neumocitocurioso🫁</a>
Premio a la labor médica divulgativa: <a href="/biosani/">Neumocitocurioso🫁</a>
Premio Mejor residente del año: Dra Castellanos🩺. Es un orgullo para <a href="/Neumologia_HUG/">Neumología Hospital Universitario de Getafe</a> contar con este gran equipo!Enhorabuena compañeros!!🫁
Araceli Abad (@araceliabad4) 's Twitter Profile Photo

Hoy durante los PremiosTOP20, compartiendo el #procesoEPOC en el HospitalGetafe. El @Neumologia_HUGl. la UCRI, la fisioterapia y rehabilitación respiratoria, paliativos, han tenido un papel fundamental para reducir estancias y reingresos. #IQVIA #TOP20

Hoy durante los PremiosTOP20, compartiendo el #procesoEPOC en el HospitalGetafe. El @Neumologia_HUGl. la UCRI, la fisioterapia y rehabilitación respiratoria, paliativos, han tenido un papel fundamental para reducir estancias y reingresos. #IQVIA #TOP20
Neumología Hospital Universitario de Getafe (@neumologia_hug) 's Twitter Profile Photo

Aportando nuestro granito de arena a la Enfermedad de Pompe, gracias a la colaboración de nuestro compañero:José M Díaz, neumólogo de la unidad de sueño y ventilación de #HospitalGetafe y Ana Hdez de la unidad de neuromusculares del marly nuvan

Aportando nuestro granito de arena a la Enfermedad de Pompe, gracias a la colaboración de nuestro compañero:José M Díaz, neumólogo de la unidad de sueño y ventilación de #HospitalGetafe y Ana Hdez de la unidad de neuromusculares del <a href="/12octubre/">marly  nuvan</a>
Neumología Hospital Universitario de Getafe (@neumologia_hug) 's Twitter Profile Photo

El HospitaldeGetafe ha celebrado hoy sus XVII jornadas de investigación. Con la puesta en común de los mejores proyectos, trabajos y artículos publicados. Enhorabuena ⁦@LeoSaldana y ⁦Neumocitocurioso🫁⁩ por vuestras distinciones!!! 👏👏👏

El HospitaldeGetafe ha celebrado hoy sus XVII jornadas de investigación. Con la puesta en común de los mejores proyectos, trabajos y artículos publicados. Enhorabuena ⁦@LeoSaldana y ⁦<a href="/biosani/">Neumocitocurioso🫁</a>⁩ por vuestras distinciones!!! 👏👏👏
Araceli Abad (@araceliabad4) 's Twitter Profile Photo

Los jóvenes se inician en el vapeo a edades muy tempranas. Desde el Neumología Hospital Universitario de Getafe volvemos un año más a las aulas del ies.altair . Toda información siempre será poca para combatir #tabaquismo. Neumocitocurioso🫁

ConSalud.es (@consalud_es) 's Twitter Profile Photo

#DíaMundialdelaEpoc | 3 millones de personas en España conviven con esta #enfermedad 🗣️La Dra. Araceli Abad, de SeparRespira, reclama un pacto nacional para todas las enfermedades respiratorias crónicas consalud.es/Especiales/dia…