Yazan Alhalaseh (@alhalasehy) 's Twitter Profile
Yazan Alhalaseh

@alhalasehy

Pathology Resident (PGY-4) at Loyola University Medical Center

ID: 1378263478981525513

calendar_today03-04-2021 08:30:09

26 Tweet

163 Followers

123 Following

Loyola Dermatopathology (@loyoladermpath) 's Twitter Profile Photo

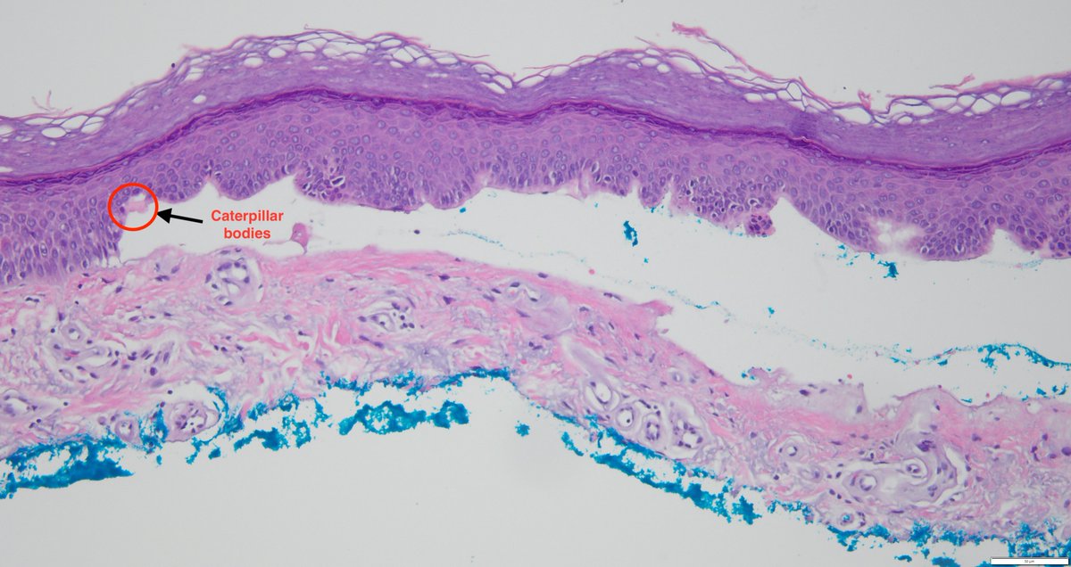
A case of Porphyria Cutanea Tarda showing a sub-epidermal split with minimal inflammatory infiltrate. There is subepidermal festooning and associated hyalinization of the upper dermal vessels. Scattered Caterpillar bodies on the epidermal side of the split are also seen.

A case of Porphyria Cutanea Tarda showing a sub-epidermal split with minimal inflammatory infiltrate. There is subepidermal festooning and associated hyalinization of the upper dermal vessels. Scattered Caterpillar bodies on the epidermal side of the split are also seen.
Loyola Dermatopathology (@loyoladermpath) 's Twitter Profile Photo

A 62-year-old female presented with itchy rash on her back. A biopsy was done. What are the histologic findings and tell us your diagnosis?

A 62-year-old female presented with itchy rash on her back. A biopsy was done. What are the histologic findings and tell us your diagnosis?
Yazan Alhalaseh (@alhalasehy) 's Twitter Profile Photo

I am very honored to be presenting at the ISDP 26th meeting, world cup presentation! Special thanks to Dr. Speiser (Jodi Speiser) , Dr. Dahyia and Dr. Modi (Mitul B. Modi, MD)!

I am very honored to be presenting at the ISDP 26th meeting, world cup presentation! 
Special thanks to Dr. Speiser (<a href="/JJSpeiserMD/">Jodi Speiser</a>) , Dr. Dahyia and Dr. Modi (<a href="/MitulModiMD/">Mitul B. Modi, MD</a>)!
Yazan Alhalaseh (@alhalasehy) 's Twitter Profile Photo

It was an amazing experience to join CAP for laboratory inspection. Special thanks to Dr. Maggiore and all my great colleges!!

It was an amazing experience to join CAP for laboratory inspection. Special thanks to Dr. Maggiore and all my great colleges!!
Yazan Alhalaseh (@alhalasehy) 's Twitter Profile Photo

I am excited to share my publication “Mpox Case Presenting With Genital Lesions and Proctitis” in the american journal of dermatopathology. pubmed.ncbi.nlm.nih.gov/38457670/

Yazan Alhalaseh (@alhalasehy) 's Twitter Profile Photo

I am excited to share our recent publication about Sebaceoma on Pathology outlines. Link: pathologyoutlines.com/topic/skintumo…

I am excited to share our recent publication about Sebaceoma on Pathology outlines.

Link: pathologyoutlines.com/topic/skintumo…
Genevieve Crane, MD, PhD (@evemariecrane) 's Twitter Profile Photo

For anyone attending #ASDP25, please check out Yazan Alhalaseh's talk happening soon as part of Oral Abstract Session 1 in Key Ballroom 1-6! Feel free to sneak in the back or sit right up front. He will be presenting a fascinating case of TFH lymphoma primarily involving the skin.

For anyone attending #ASDP25, please check out <a href="/AlhalasehY/">Yazan Alhalaseh</a>'s talk happening soon as part of Oral Abstract Session 1 in Key Ballroom 1-6!  Feel free to sneak in the back or sit right up front.  He will be presenting a fascinating case of TFH lymphoma primarily involving the skin.