Alba Scerrati (@albetta12) 's Twitter Profile
Alba Scerrati

@albetta12

Neurovascular Surgeon, Interventional Neuroradiology, PhD Fellow in Traslational Neurosciences and Neurotechnologies [email protected]

ID: 939135858837422080

linkhttp://linkedin.com/in/alba-scerrati-62395021 calendar_today08-12-2017 14:13:31

94 Tweet

67 Followers

186 Following

Paolo Zamboni (@zambo57) 's Twitter Profile Photo

A #Vascular Nutcracker never been described so far. The eagle jugular syndrome | BMC Neurology | Full Text #CCSVI ⁦Alba Scerrati⁩ bmcneurol.biomedcentral.com/articles/10.11…

Alba Scerrati (@albetta12) 's Twitter Profile Photo

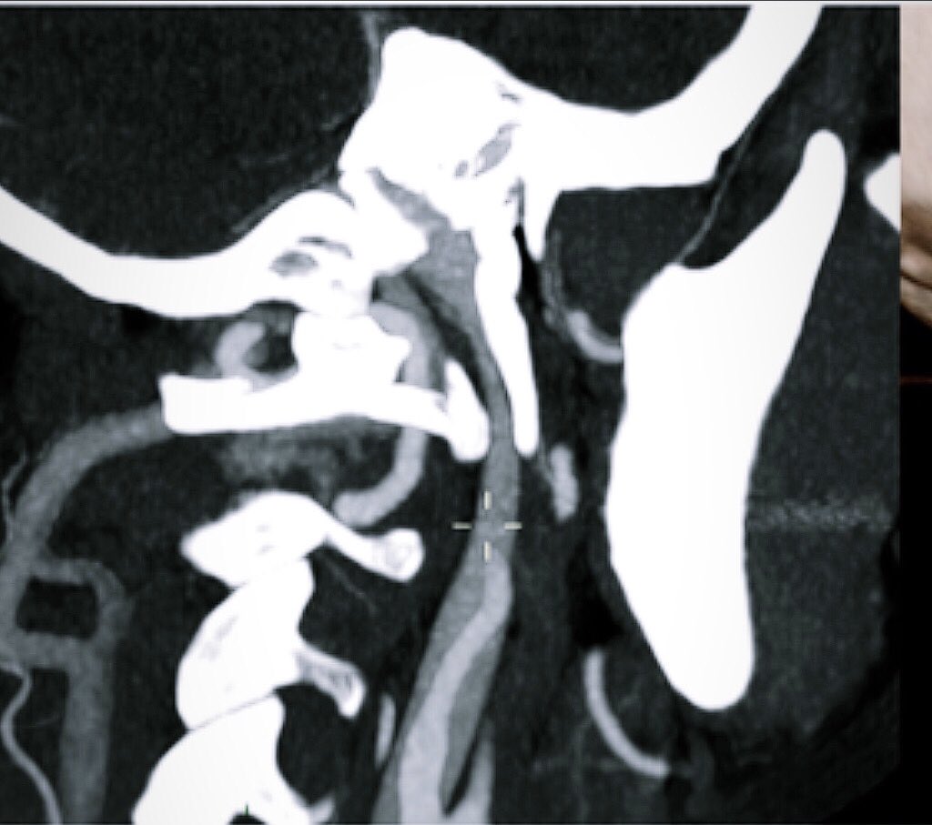
The #elongation of the #styloid #process may have different paths which creates #compression on the surrounding anatomical structures. There may be a possible association of #jugular #impingement by an elongated styloid process with symptoms. bmcneurol.biomedcentral.com/articles/10.11…

Paolo Zamboni (@zambo57) 's Twitter Profile Photo

La terribile e mai descritta compressione della giugulare interna fra il processo stiloideo ed il processo trasverso della prima vertebra cervicale bmcneurol.biomedcentral.com/articles/10.11…

La terribile e mai descritta compressione della giugulare interna fra il processo stiloideo ed il processo trasverso della prima vertebra cervicale bmcneurol.biomedcentral.com/articles/10.11…
ISNVD (@isnvd) 's Twitter Profile Photo

Eagle Jugular Syndrome and neurological symptoms. Lot of new articles on upper #jugular compression and #cerebral implications ncbi.nlm.nih.gov/pubmed/27858390 ncbi.nlm.nih.gov/pubmed/27858390

Paolo Zamboni (@zambo57) 's Twitter Profile Photo

PrEParing to End the #HIV Epidemic — When research does not impact on people life for the cost of the drug | NEJM nejm.org/doi/full/10.10…

Alba Scerrati (@albetta12) 's Twitter Profile Photo

“The use of a cervical collar after ACDF without plating on single or double levels for cervical spondylosis seems not supported by scientific evidence” link.springer.com/article/10.100…

Alba Scerrati (@albetta12) 's Twitter Profile Photo

Simplified four-step retropharingeal approach. #uppercervicalspine #surgery #neurosurgery link.springer.com/article/10.100…

Alba Scerrati (@albetta12) 's Twitter Profile Photo

Transcranial Sonography versus CT for Postoperative Monitoring After Decompressive Craniectomy. pubmed.ncbi.nlm.nih.gov/32681813/ #ultrasound #neurosurgery #decompressivecraniectomy

Alba Scerrati (@albetta12) 's Twitter Profile Photo

Artists playing music while undergoing brain surgery: A look into the scientific evidence and the social media pers… pubmed.ncbi.nlm.nih.gov/32505870/ #awakesurgery #eloquentarea #braintumor #music #brainsurgery #socialmedia #Neurosurgery

Alba Scerrati (@albetta12) 's Twitter Profile Photo

Neurosurgery at the time of COVID-19: how this pandemic infectious disease is influencing neurosurgical activities … pubmed.ncbi.nlm.nih.gov/32347683/ #neurosurgery #COVID__19 #pandemia

Alba Scerrati (@albetta12) 's Twitter Profile Photo

The controversial role of Bevacizumab in the treatment of patients with intracranial meningioma: a comprehensive li… pubmed.ncbi.nlm.nih.gov/32116057/ #bevacizumab #meningiomas #braintumors #neurosurgery