Abdulrahman Algain (@abdulrah_algain) 's Twitter Profile
Abdulrahman Algain

@abdulrah_algain

Interventional Radiologist at King Abdulaziz Medical City- Jeddah, Saudi Arabia

ID: 1430746613354467332

calendar_today26-08-2021 04:19:18

42 Tweet

289 Takipçi

258 Takip Edilen

Abdulrahman Algain (@abdulrah_algain) 's Twitter Profile Photo

Breast ca with new liver lesions, underwent percutaneous liver lesion bx, complicated with a hepatic arterial psa, successfully treated with percutaneous injection of 180 units of Thrombin Topical (Recombinant). Azzam Khankan عزام خانكان Majed Abdulhaq د. عبدالقادر القناوي @SalmanFelemban

Abdulrahman Algain (@abdulrah_algain) 's Twitter Profile Photo

DLBCL with massive hemoptysis due COP. Bronchoscopy localized bleeding from the right. Right bronchial artery embolization was performed. What variance or aberrance have you personally encountered? Azzam Khankan عزام خانكان د. عبدالقادر القناوي @SalmanFelemban Majed Abdulhaq #InterventionalRadiology

DLBCL with massive hemoptysis due COP. Bronchoscopy localized bleeding from the right. Right bronchial artery embolization was performed. What variance or aberrance have you personally encountered? <a href="/AzzamKhankan/">Azzam Khankan عزام خانكان</a> <a href="/AAlkenawi/">د. عبدالقادر القناوي</a> @SalmanFelemban <a href="/DrMajedAbdulhaq/">Majed Abdulhaq</a> #InterventionalRadiology
Abdulrahman Algain (@abdulrah_algain) 's Twitter Profile Photo

Different angiographic manifestations of four patients with retroperitoneal hemorrhage. One iatrogenic (post nephrostomy) and three spontaneous (anticoagulation). All successfully treated with embolization. Azzam Khankan عزام خانكان ghassan atassi د. عبدالقادر القناوي Majed Abdulhaq @SalmanFelemban

Different angiographic manifestations of four patients with retroperitoneal hemorrhage. One iatrogenic (post nephrostomy) and three spontaneous (anticoagulation). All successfully treated with embolization. <a href="/AzzamKhankan/">Azzam Khankan عزام خانكان</a> <a href="/AtassiGhassan/">ghassan atassi</a> <a href="/AAlkenawi/">د. عبدالقادر القناوي</a> <a href="/DrMajedAbdulhaq/">Majed Abdulhaq</a> @SalmanFelemban
Abdulrahman Algain (@abdulrah_algain) 's Twitter Profile Photo

أقيم اليوم اختبار الترقية لبرنامج تخصص الأشعة التداخلية والوعائية السعودي. يشرفني ويسعدني أن كنت من اللجنة الممتحنة، بارك الله جهودهم ومساعيهم، وبالتوفيق للأطباء المشاركين. #sirs

أقيم اليوم اختبار الترقية لبرنامج تخصص الأشعة التداخلية والوعائية السعودي. يشرفني ويسعدني أن كنت من اللجنة الممتحنة، بارك الله جهودهم ومساعيهم، وبالتوفيق للأطباء المشاركين. 
#sirs
Abdulrahman Algain (@abdulrah_algain) 's Twitter Profile Photo

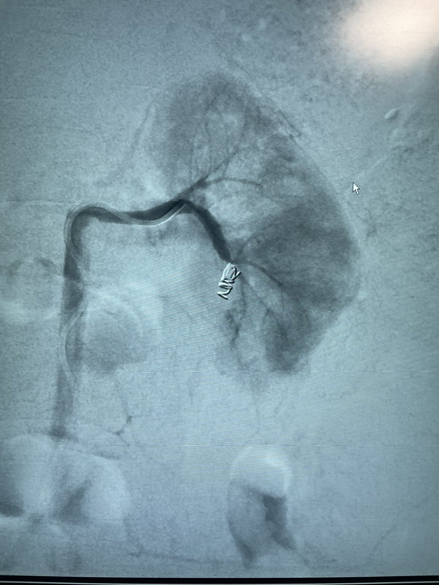
Lower GI Cecal bleeding, scope failed to manage, superselective coil embolization was performed. Hematochezia stopped. Inotropes were off.

Lower GI Cecal bleeding, scope failed to manage, superselective coil embolization was performed. Hematochezia stopped. Inotropes were off.
Saudi Interventional Radiology Society (@sirs_ksa) 's Twitter Profile Photo

🚨 The Wait is Over! 🚨 Join us for the SIRS 2025 Congress – the ultimate event in interventional radiology, where knowledge meets innovation! 💡 Day 1 Spotlight: Dive into the IR Fellow’s Survival Course, featuring top-tier experts delivering impactful, hands-on sessions

🚨 The Wait is Over! 🚨
Join us for the SIRS 2025 Congress – the ultimate event in interventional radiology, where knowledge meets innovation!

💡 Day 1 Spotlight:
Dive into the IR Fellow’s Survival Course, featuring top-tier experts delivering impactful, hands-on sessions
Abdulrahman Algain (@abdulrah_algain) 's Twitter Profile Photo

A middle-aged man with a cavitary RUL lung lesion, infection, TB? Presented with hemoptysis. CT showed a Rasmussen aneurysm. Successfully embolized.

A middle-aged man with a cavitary RUL lung lesion, infection, TB? Presented with hemoptysis. CT showed a Rasmussen aneurysm. Successfully embolized.
Abdulrahman Algain (@abdulrah_algain) 's Twitter Profile Photo

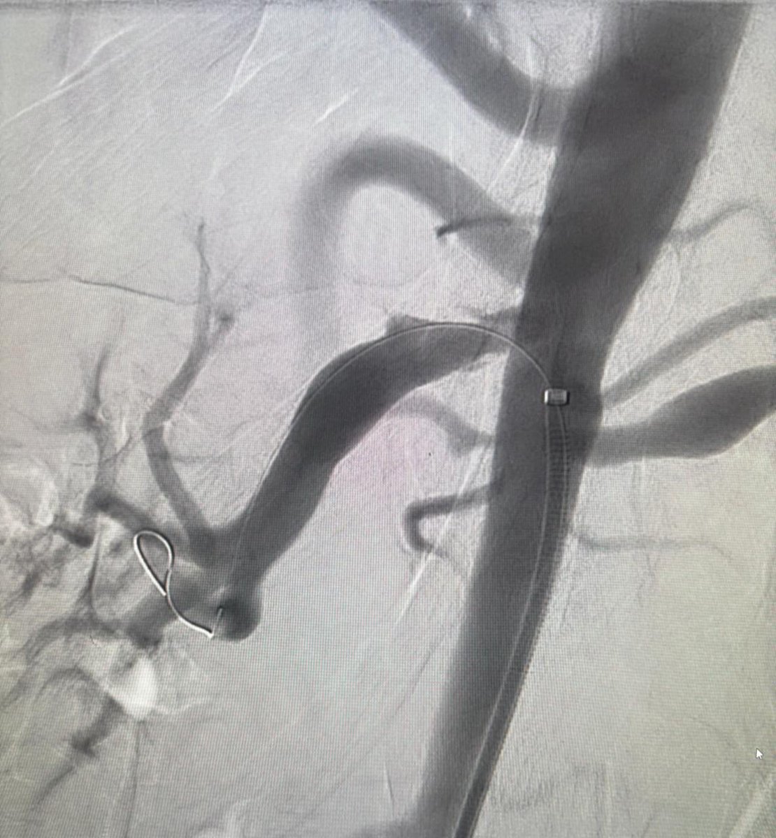
37 year old man, k/c neurofibromatosis type 1 with right renal artery stenosis and resistant hypertension. Balloon angioplasty was performed and nothing left behind.

37 year old man, k/c neurofibromatosis type 1 with right renal artery stenosis and resistant hypertension. Balloon angioplasty was performed and nothing left behind.