Amandeep Aneja (@324amandeep) 's Twitter Profile
Amandeep Aneja

@324amandeep

Surgical Pathologist @Cooper#Pulmpath

ID: 2372834160

calendar_today04-03-2014 23:29:12

50 Tweet

185 Followers

262 Following

syed t. hoda (@01sth02) 's Twitter Profile Photo

more people should know that: every single cancer is diagnosed and classified by a Pathologist— we care a lot about cancer patients even if we don’t meet face to face. #pathtwitter #medtwitter

Natasha Rekhtman MD PhD (@natasharekhtman) 's Twitter Profile Photo

1. Excited to share the latest study from our group with Marina Baine Marina K Baine, MD, PhD at the helm! Here we characterize a distinct subtype of #SCLC defined by POU2F3, focusing on the utility of this marker in SCLC diagnosis. Open access JTO & JTO CRR: bit.ly/3nsmjj4 Tweetorial ⬇️

Evi Abada, MD, MS (@eviabadamd) 's Twitter Profile Photo

One of the most compassionate Physicians you may never meet are #Pathologists. I am a firsthand witness to the amount of time, energy and astuteness that Pathologists put into getting the diagnosis Right! And I am incredibly humbled to be a part of this specialty🙌 #PathTwitter

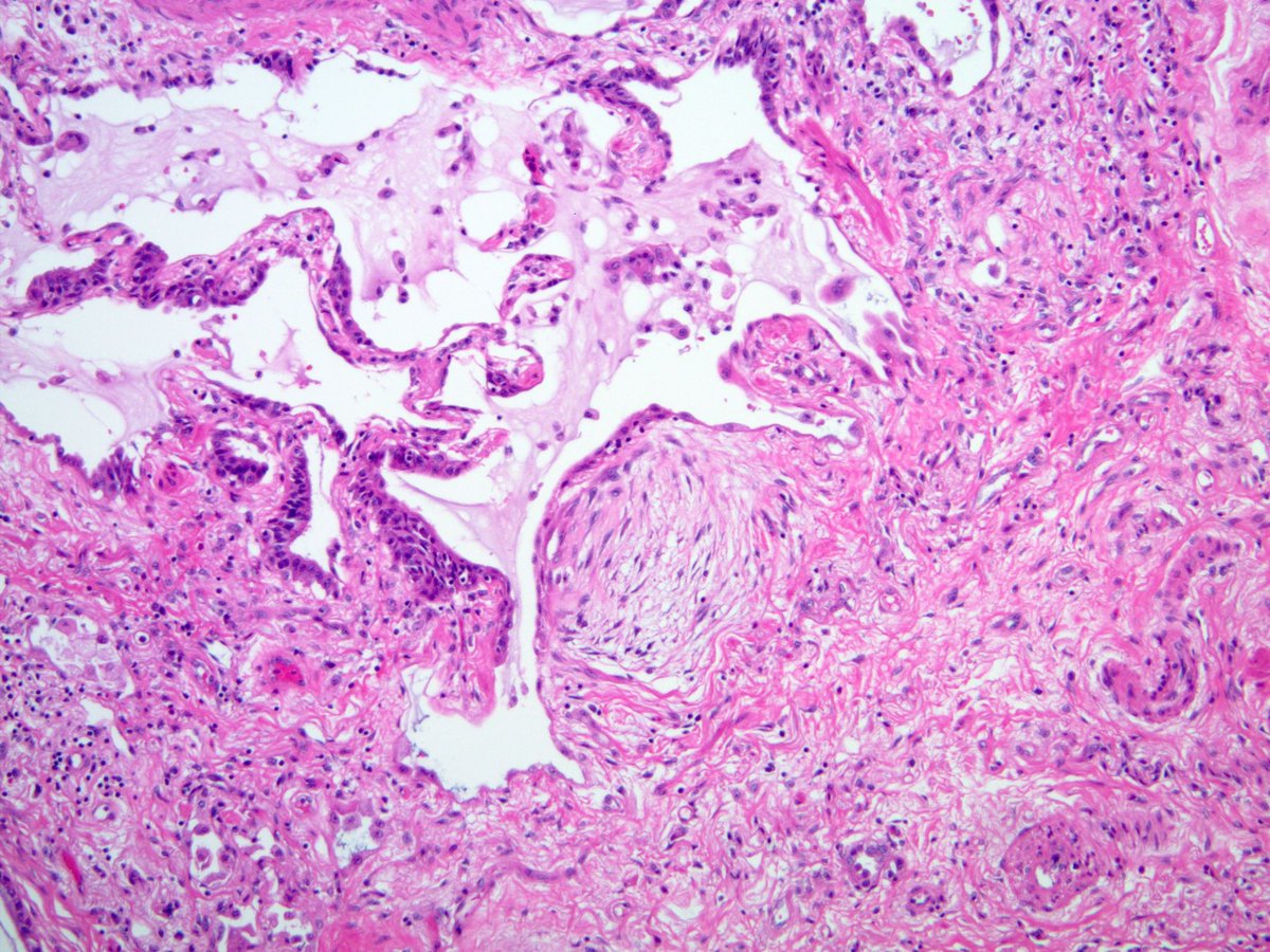
Sanjay Mukhopadhyay (@smlungpathguy) 's Twitter Profile Photo

Thick arteries (with striking medial hypertrophy) are a common finding in UIP. Don’t get fooled into thinking that they are specific for pulmonary hypertension! What is UIP? Read this 👇🏾🔬 nature.com/articles/s4137… #FibroblastFocusFriday

Thick arteries (with striking medial hypertrophy) are a common finding in UIP. Don’t get fooled into thinking that they are specific for pulmonary hypertension! 

What is UIP? Read this 👇🏾🔬
nature.com/articles/s4137…

#FibroblastFocusFriday
Matthew Cecchini MD PhD FRCPC (@path_matt) 's Twitter Profile Photo

Announcing season #2 of the Fresh Air Series with Irene Sansano, MD Phd Raghavendra Pillappa Sanjay Mukhopadhyay Check out our trailer for a sneak peak of the exciting cases coming this season. Turn the sound on (it is more epic than a Vimentin negative tumor 😎) #pulmpath

Upasana Joneja (@ujoneja) 's Twitter Profile Photo

Pathology trainees/budding pathologists take note: #AceMyPath team is soon releasing a surgical pathology boards review book like none other "ACE THE BOARDS: SURGICAL PATHOLOGY REIMAGINED" Here is a glimpse of what is to come! #Happylearning Ace My Path Akanksha Gupta, MD

Olaleke Folaranmi (@drgeeone) 's Twitter Profile Photo

The 1000 Mitoses Project is a Social media (Twitter)-initiated international collaboration! Many thanks to Matthew Cecchini MD PhD FRCPC Sherman Lin for offering us the opportunity to participate. 🙏🏽❤️ Congratulations to all the team members! #PathTwitter rocks💯

The 1000 Mitoses Project is a Social media (Twitter)-initiated international collaboration!
Many thanks to <a href="/Path_Matt/">Matthew Cecchini MD PhD FRCPC</a> <a href="/PathShermanoma/">Sherman Lin</a> for offering us the opportunity to participate.
🙏🏽❤️
Congratulations to all the team members!
#PathTwitter rocks💯
Laura J. Tafe, MD (@ljtafemd) 's Twitter Profile Photo

Success is a personal definition. Not a title, a rank, a label, a check box. Not someone else’s opinion. It’s living and measuring against your values.

Upasana Joneja (@ujoneja) 's Twitter Profile Photo

Cooper University Healthcare now has a Pathology Residency Program! Check us out: cooperhealth.edu/residencies/pa… Apply now! #PathTwitter #path #pathology #pathologyoutlines #pathmatch2024 #path2path #pathresidency Anu Peter, MD Amandeep Aneja Aileen Grace Arriola, MD

CooperPathology (@cooperpathology) 's Twitter Profile Photo

Meet Drs. Catherine Skibiel and Bilal Khan, our exceptional PGY1 residents in Pathology! Their passion for diagnostics and commitment to learning make them invaluable members of our team. We are thrilled to have them in our department CooperPathology! #ResidentSpotlight

Meet Drs. Catherine Skibiel and Bilal Khan, our exceptional PGY1 residents in Pathology! Their passion for diagnostics and commitment to learning make them invaluable members of our team. We are thrilled to have them in our department <a href="/CooperPathology/">CooperPathology</a>! #ResidentSpotlight
CooperPathology (@cooperpathology) 's Twitter Profile Photo

1/2 #PathResidents This week's interesting case is a thyroid FNA (DQ, Pap, and H&E). What is your diagnosis? Reply with your answer! Options in 2/2. 👇 #Cytology #PathTwitter

1/2 #PathResidents This week's interesting case is a thyroid FNA (DQ, Pap, and H&amp;E). What is your diagnosis? Reply with your answer! Options in 2/2. 👇 #Cytology #PathTwitter
CooperPathology (@cooperpathology) 's Twitter Profile Photo

Considering a residency in #Pathology? Get an inside look at our AP/CP Residency Program training, faculty, and opportunities in this video👇 #pathresidents cooperhealth.edu/residencies/pa… Pooja Navale MD Aileen Grace Arriola, MD Upasana Joneja Amandeep Aneja Ruth Birbe Dejan Gord Guo Zhu, MD/PhD

Eduardo Alcaraz, MD PhD (@edusqo) 's Twitter Profile Photo

#FNAFriday Pre #SAC_SLACito25 Lung adenocarcinoma with clear cell features. I see 🦋. Have I ever mentioned how much I like those TTF1 negative adenocarcinomas? 😡 XXXII Congress of the Latin-American Society of #CytoPath and XXVI Congress of the Argentine Society of Cytology.

#FNAFriday Pre #SAC_SLACito25
Lung adenocarcinoma with clear cell features. I see 🦋.
Have I ever mentioned how much I like those TTF1 negative adenocarcinomas? 😡
XXXII Congress of the Latin-American Society of #CytoPath and XXVI Congress of the Argentine Society of Cytology.