Jasmine Vickery (@vickeryjasmine) 's Twitter Profile
Jasmine Vickery

@vickeryjasmine

Breast Pathologist: @PennPathLabMed Fellowship: @Mghpathology Residency: @Uchicagopath #breastpath Path tweets only :) jasminevick.bsky.social

ID: 1203528427229319168

calendar_today08-12-2019 04:15:20

353 Tweet

1,1K Takipçi

1,1K Takip Edilen

Raza Hoda MD (@razahoda) 's Twitter Profile Photo

You all nailed it! The answer was microglandular adenosis (MGA). Unlike other adenoses, MGA lacks myoepithelial investment. MGA is ‘triple-negative’ and should always be consider before rendering the diagnosis of invasive carcinoma. #PathX #PathTwitter #breastpath #PathQuiz

Raza Hoda MD (@razahoda) 's Twitter Profile Photo

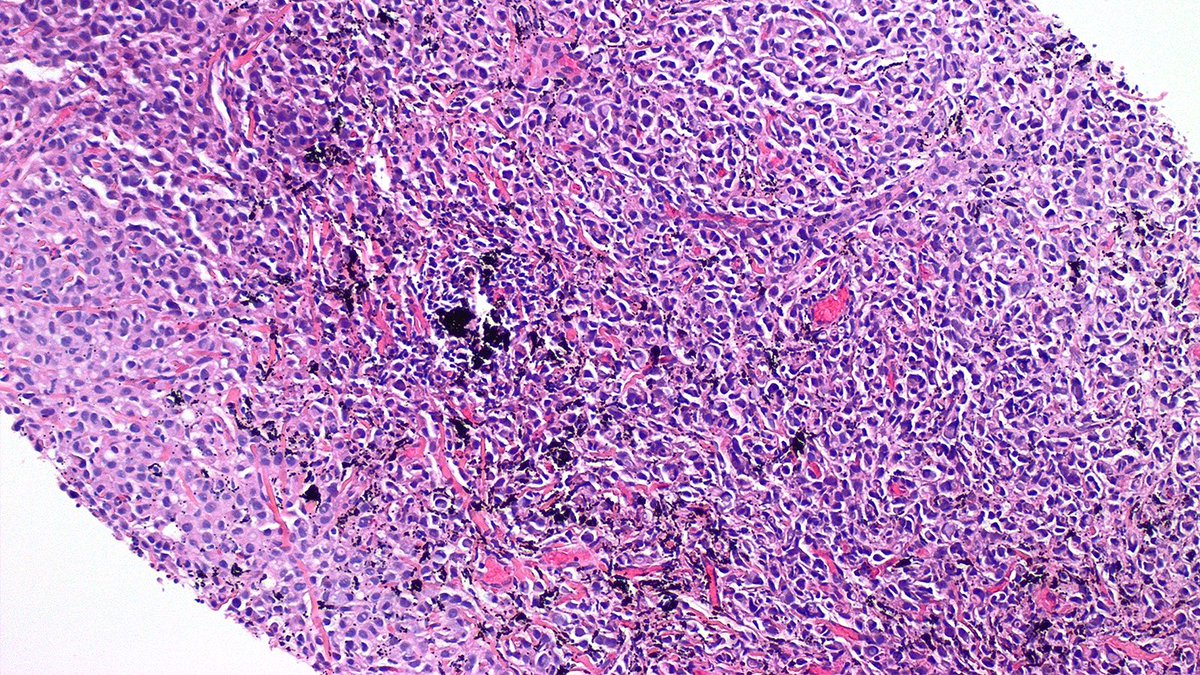
Case of Metastatic Carcinoma and Tattoo Pigment 🔬 Never stop looking once you’ve identified one finding! In this nodal biopsy, tattoo pigment from the patient’s arm is eye-catching, but metastatic lobular carcinoma lurking in the background. #PathX #PathTwitter #breastpath

Case of Metastatic Carcinoma and Tattoo Pigment 🔬

Never stop looking once you’ve identified one finding! In this nodal biopsy, tattoo pigment from the patient’s arm is eye-catching, but metastatic lobular carcinoma lurking in the background.

#PathX #PathTwitter #breastpath
Jasmine Vickery (@vickeryjasmine) 's Twitter Profile Photo

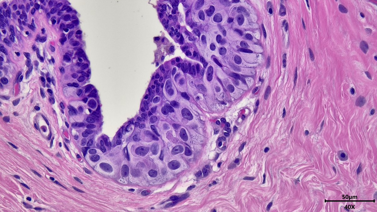
Happy Halloween #pathx and #PathTwitter ! 👻🎃Something wicked is lurking in this duct 🧌, pagetoid spread of DCIS #breastpath

Happy Halloween #pathx and #PathTwitter ! 👻🎃Something wicked is lurking in this duct 🧌, pagetoid spread of DCIS #breastpath