Vidya Monappa (@vi_monappa) 's Twitter Profile
Vidya Monappa

@vi_monappa

MD, DNB #(PGY3+19) Additional Prof #Oncopathology #GIPath #neuropath #lymphoma #Pathology #cytopath

ID: 928543825336795136

calendar_today09-11-2017 08:44:34

10,10K Tweet

4,4K Takipçi

1,1K Takip Edilen

KMC Mangalore (@kmc_mangalore) 's Twitter Profile Photo

The 1st M.S. Dahiya Memorial Oration and #Oncopathology CME was held by the Pathology department, KMC Mangalore yesterday. Dr. Sonika Dahiya, alumna and neuropathologist at Washington University, delivered the keynote on "Recent Updates in Meningioma." Vidya Monappa

The 1st M.S. Dahiya Memorial Oration and #Oncopathology CME was held by the Pathology department, KMC Mangalore yesterday. 

Dr. Sonika Dahiya, alumna and neuropathologist at Washington University, delivered the keynote on "Recent Updates in Meningioma." 

<a href="/vi_monappa/">Vidya Monappa</a>
Lorand Kis (@kis_lorand) 's Twitter Profile Photo

1/Once you get your eyes on them you can't stop unseeing them 😂🤣 Any thoughts on the anatomic location of this section? Two findings in the areas marked 1 and 2, what could them be? #PathTwitter #beautyinbenign

1/Once you get your eyes on them you can't stop unseeing them 😂🤣
Any thoughts on the anatomic location of this section?
Two findings in the areas marked 1 and 2, what could them be?
#PathTwitter #beautyinbenign
Immanuel Paul (@immanuel_paul30) 's Twitter Profile Photo

‘Your heart knows the way. Run in that direction !’ 50s/M Rectal growth Your thoughts 💭 #PathX #PathTwitter #surgicalpath #oncopath #GIpath #imanpath #pathologist #pathology

‘Your heart knows the way. Run in that direction !’

50s/M
Rectal growth 
Your thoughts 💭 

#PathX #PathTwitter #surgicalpath #oncopath #GIpath #imanpath #pathologist #pathology
Sanjay Mukhopadhyay (@smlungpathguy) 's Twitter Profile Photo

1/ The final winners of #PathTweetAward in the open category after 2 rounds of judges and an open poll are: Tristan Rutland MBBS FRCPA IFCAP 🥇 Mark Ong 🥈 Thank you both for sharing your knowledge with us in creative ways!

Miruna Popescu, MD (@mirunapopescu13) 's Twitter Profile Photo

Summary findings and dx approach to giant cell rich tumors of bone in small bx samples. ➡️ If prominent xanthomatous change, if CK+ think of xanthogranulomatous epithelial tumor (XGET) ➡️ RNA seq highlights characteristic HMGA2::NCOR2. Dr. Silvia Bagué #BSTPath #HMar_BASTPC25

Summary findings and dx approach to giant cell rich tumors of bone in small bx samples.
➡️ If prominent xanthomatous change, if CK+ think of xanthogranulomatous epithelial tumor (XGET) ➡️ RNA seq highlights characteristic HMGA2::NCOR2.
Dr. Silvia Bagué
#BSTPath #HMar_BASTPC25
Craig Horbinski (@craighorbinski) 's Twitter Profile Photo

Posterior fossa mass in a young girl. Diagnosis? What subtype of tumor is this? (The last image is a hint, in case the immunostains didn't help enough.) #neuropath #pathtwitter

Posterior fossa mass in a young girl. Diagnosis? What subtype of tumor is this? (The last image is a hint, in case the immunostains didn't help enough.) #neuropath #pathtwitter
Sanjay Mukhopadhyay (@smlungpathguy) 's Twitter Profile Photo

Thoracic Frozen Section Pitfalls: Lung Adenocarcinoma Versus Selected Mimics | Archives of Pathology & Laboratory Medicine meridian.allenpress.com/aplm/article/1…

Charles Herndon (@drcyclopath) 's Twitter Profile Photo

Breast core needle biopsy. Do you know what it is or is it #TooCloseToDiagnose? A) Tubular carcinoma B) Microglandular adenosis #PathSky #BreastPath #PathTwitter #Pathology 📷🙏IARC

Breast core needle biopsy.

Do you know what it is or is it #TooCloseToDiagnose?

A) Tubular carcinoma
B) Microglandular adenosis

#PathSky #BreastPath #PathTwitter #Pathology
📷🙏<a href="/IARCWHO/">IARC</a>
Diane Brackett, MD (@dgbrackett) 's Twitter Profile Photo

One of those "it's very distinctive and it has a name but I don't know what it is" cases Could it be a cutaneous lymphadenoma? (AKA adamantinoid trichoblastoma) I've never made the Dx before #dermpath

One of those "it's very distinctive and it has a name but I don't know what it is" cases
Could it be a cutaneous lymphadenoma? (AKA adamantinoid trichoblastoma)
I've never made the Dx before
#dermpath
Vidya Monappa (@vi_monappa) 's Twitter Profile Photo

#breast #cribriformDCIS #pathresidents #pathx Low grade cribrifrom DCIS $ uniform cell 1.5 -2x Rbc $ other- Micropapillary , solid $ DD: ADH (>2 complete distal spaces, size >2mm) $ high grade- >2.5x Rbc $ ROM 0-25% (60% high grade) $ surgery +/- RT $ trials- LORIS LORETTA

#breast #cribriformDCIS
#pathresidents #pathx 
Low grade cribrifrom DCIS 
$ uniform cell 1.5 -2x Rbc 
$ other- Micropapillary , solid
$ DD: ADH (&gt;2 complete distal spaces, size &gt;2mm)
$ high grade- &gt;2.5x Rbc
$ ROM 0-25% (60% high grade)
$ surgery +/- RT
$ trials-  LORIS LORETTA
Celina Stayerman MD (@ariella8) 's Twitter Profile Photo

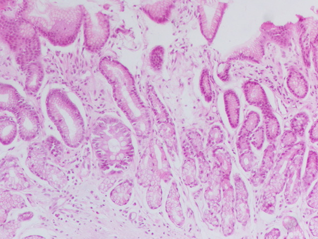
#GIPath Question on gastric biopsies for those that use OLGIM system. What would be your staging if you find just an aisolated metaplastic gland in antrum /incisura ,corpus is normal . Any comment that you would add ?

#GIPath 
Question  on gastric biopsies for those that use OLGIM system.
What would be your staging if you find  just an aisolated  metaplastic gland in antrum /incisura ,corpus is  normal .
Any comment that you would add ?
Vidya Monappa (@vi_monappa) 's Twitter Profile Photo

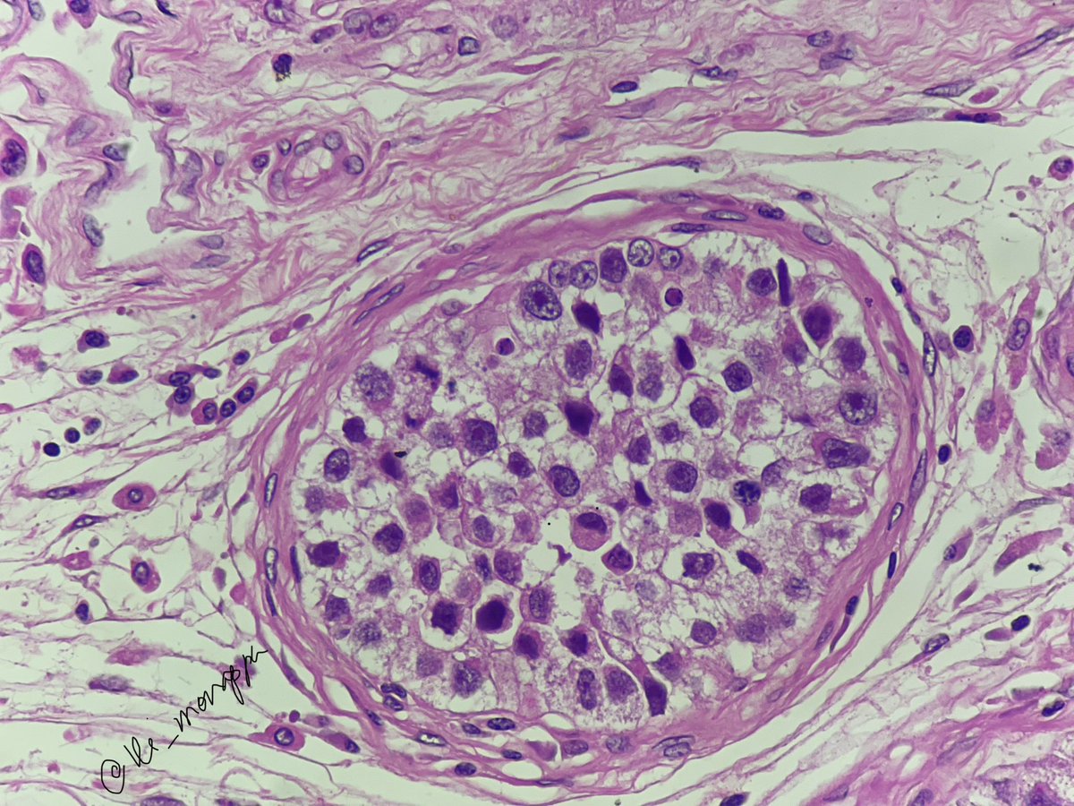
Just a perfect looking #signetringcellcarcinoma colon * rare *>50% SRC; <50% - adenoca with signet ring component * MSI associated

Just a perfect looking #signetringcellcarcinoma colon
* rare 
*&gt;50% SRC; &lt;50% - adenoca with signet ring component
* MSI associated