
Tom Marotta
@trmarot
T.R. Marotta, MD, FRCPC Diagnostic & Therapeutic Neuroradiology Co-Director NV Center SMH Associate Professor, U of T Adjunct Prof Physics Department Ryerson U
ID: 1040765442
27-12-2012 22:47:12
15 Tweet
217 Takipçi
53 Takip Edilen

Surreal experience making history with this incredible team today! First live #robotic assisted #neurosurgical repair of a #brain #aneurysm, live broadcasted from #Toronto to the #Louvre for the LINNC online 🧠 conference. @VitorMendesPer1 Dr. DiestroKE St. Michael's Hospital Foundation Unity Health Toronto



Great time with our Neurovascular Center @ St. Michael's Hospital Fellows.


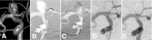
Check it out! Tom Marotta @VitorMendesPer1 Dr. DiestroKE Pre and post-treatment catheter angiograms (with permission)


Optical coherence tomography (OCT) images by Gentuity coming soon. RADIS lab Nicole Cancelliere For now, here are the pre and post-treatment MRI images (with permission) showing aneurysm obliteration with evasc eCLIPS and coils. Pretty cool 😎 Carmen Parra-Fariñas


Vaso CT (w/ permission) Philips Healthcare shows beautiful neck bridging by the Evasc Neurovascular eCLIPs prior to re-coiling. Cutting-edge endovascular therapy 🤓😎 everyday Neurovascular Center @ St. Michael's Hospital Unity Health Toronto Tom Marotta @VitorMendesPer1 Dr. DiestroKE University of Toronto Neurosurgery UToronto Neurology UofT Medical Imaging



