Scopio Labs (@scopio_labs) 's Twitter Profile
Scopio Labs

@scopio_labs

Full-Field Cell Morphology™ and AI-powered decision support, shaping the future of hematology.

ID: 1214541007968251904

linkhttps://scopiolabs.com/ calendar_today07-01-2020 13:35:44

157 Tweet

257 Takipçi

83 Takip Edilen

Scopio Labs (@scopio_labs) 's Twitter Profile Photo

🎃Here's a treat: we will be at Pathvisions booth #413 next week! Set up time to talk Full-Field digital cell morphology with Les Carlson bit.ly/45M7awA . Don't forget to visit us! Itai Hayut Amir Farhi Erez Naaman

🎃Here's a treat: we will be at Pathvisions booth #413 next week! Set up time to talk Full-Field digital cell morphology with Les Carlson bit.ly/45M7awA . Don't forget to visit us! <a href="/itaihayut/">Itai Hayut</a> <a href="/afarhi/">Amir Farhi</a> <a href="/ErezNaaman1/">Erez Naaman</a>
Scopio Labs (@scopio_labs) 's Twitter Profile Photo

🎉Did you catch us in November's Today's Clinical Lab Emerging Technologies section? Great to be recognized among today's innovators improving the lives of lab professionals! bit.ly/3QLXWLF Itai Hayut Amir Farhi Lianne Trantz

🎉Did you catch us in November's <a href="/todaysclinical/">Today's Clinical Lab</a> Emerging Technologies section? Great to be recognized among today's innovators improving the lives of lab professionals! bit.ly/3QLXWLF <a href="/itaihayut/">Itai Hayut</a> <a href="/afarhi/">Amir Farhi</a> <a href="/liannetrantz/">Lianne Trantz</a>
Blood Academy (@blood_academy) 's Twitter Profile Photo

Can you tell what these interesting bone marrow cells are👇 *Answer tomorrow* Subscribe today @ blood-academy.com #hematology #hempath #biomedicalscientist #medicalstudent #medicallaboratoryscientist #morphology #hematology #biomedicalscientist #ibmschat

Can you tell what these interesting bone marrow cells are👇 

*Answer tomorrow*

Subscribe today @ blood-academy.com

#hematology #hempath #biomedicalscientist #medicalstudent #medicallaboratoryscientist #morphology #hematology  #biomedicalscientist #ibmschat
Scopio Labs (@scopio_labs) 's Twitter Profile Photo

We're joining the medical biology community of professionals at our first JiB (Journees de L'Innovation en Biologie) in Paris this week. Reserve time here: bit.ly/jibscopio to look at Full-Field digital cell morphology and the benefits of built-in remote capability.

We're joining the medical biology community of professionals at our first JiB (Journees de L'Innovation en Biologie) in Paris this week. Reserve time here: bit.ly/jibscopio to look at Full-Field digital cell morphology and the benefits of built-in remote capability.
Scopio Labs (@scopio_labs) 's Twitter Profile Photo

Fernando Chaves, Global Head of Hematology at Siemens Healthineers, shares insight on innovations made possible by full-field digital morphology, including full remote consultation. Read the CAP TODAY MAGAZINE interview here: bit.ly/3sBYJXkt Itai Hayut Amir Farhi Lianne Trantz

Fernando Chaves, Global Head of Hematology at <a href="/SiemensHealth/">Siemens Healthineers</a>, shares insight on innovations made possible by full-field digital morphology, including full remote consultation. Read the <a href="/captodayonline/">CAP TODAY MAGAZINE</a> interview here: bit.ly/3sBYJXkt <a href="/itaihayut/">Itai Hayut</a> <a href="/afarhi/">Amir Farhi</a> <a href="/liannetrantz/">Lianne Trantz</a>
Scopio Labs (@scopio_labs) 's Twitter Profile Photo

When tissue pathology reached the digital age, hematopathology and, specifically, bone marrow test procedures remained frustratingly analog, but that's all about to change... bit.ly/3GxVFyN

When tissue pathology reached the digital age, hematopathology and, specifically, bone marrow test procedures remained frustratingly analog, but that's all about to change... bit.ly/3GxVFyN
Scopio Labs (@scopio_labs) 's Twitter Profile Photo

🏃🏃‍♂️🏃‍♀️We are proud to sponsor #Labweekrun 2024! Your spring training starts now! Register today for this virtual run; future you in spring will thank winter you for it! Thank you ASCLS for this excellent event! Itai Hayut Amir Farhi Lianne Trantz

Scopio Labs (@scopio_labs) 's Twitter Profile Photo

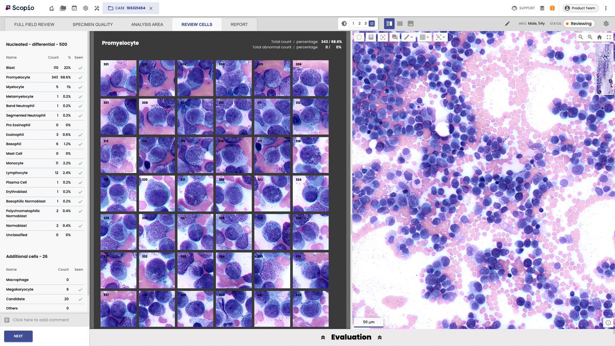
Breaking news: Scopio Labs Receives Groundbreaking De Novo FDA Clearance for First-Ever Digital Bone Marrow Aspirate Application. This marks a pivotal moment, establishing a new regulatory category for all-digital bone marrow aspirate analysis software. scopiolabs.com/news/scopio-la…

Breaking news: Scopio Labs Receives Groundbreaking De Novo FDA Clearance for First-Ever Digital Bone Marrow Aspirate Application. This marks a pivotal moment, establishing a new regulatory category for all-digital bone marrow aspirate analysis software. scopiolabs.com/news/scopio-la…
Scopio Labs (@scopio_labs) 's Twitter Profile Photo

Exciting news out of Scopio Labs today. We are thrilled to announce that we have secured $42 million in our latest funding round led by Fortissimo Capital , with participation from existing investors. #hematology #digitalmorphology #ai #hemepath

Exciting news out of Scopio Labs today. We are thrilled to announce that we have secured $42 million in our latest funding round led by Fortissimo Capital , with participation from existing investors. 
#hematology #digitalmorphology #ai #hemepath
Scopio Labs (@scopio_labs) 's Twitter Profile Photo

“I could solve the whole case from my sofa.” Hear from Dr. Lukas Graf, Head of Department of Clinical Chemistry, Hematology, Immunology; Consultant Hematologist at ZLM in Switzerland, sharing his first-hand experiences with remote consultation* in this quick video.