Only Cells Shop (@onlycellsshop) 's Twitter Profile
Only Cells Shop

@onlycellsshop

🧬 Science related paraphernalia for yourself and to gift to others | 🥼Run by @BloodScientist | IG: OnlyCellsShop |

ID: 1549876104307040257

linkhttp://onlycells.shop calendar_today20-07-2022 21:57:23

151 Tweet

288 Takipçi

58 Takip Edilen

Only Cells Shop (@onlycellsshop) 's Twitter Profile Photo

🩸#MorphologyMonday | Case MM250714 onlycells.co.uk/mm250714/ 60 year old female Hb: 84 g/L MCV: 81 fL RDW: 22.5% A blood film was requested to investigate these findings further. What do you think it is? #RedCells #BloodFilm #LabDiagnostics

🩸#MorphologyMonday | Case MM250714

onlycells.co.uk/mm250714/

60 year old female
Hb: 84 g/L
MCV: 81 fL
RDW: 22.5%

A blood film was requested to investigate these findings further. What do you think it is?

#RedCells #BloodFilm #LabDiagnostics
Only Cells Shop (@onlycellsshop) 's Twitter Profile Photo

Thank you to everyone who joined us for Part 1 of the Antibody Identification Webinar Series: Tools of the Trade. It was a real pleasure to host this session with the brilliant Helen Thom who broke down the fundamentals of antibody identification with clarity and the occasional

Only Cells Shop (@onlycellsshop) 's Twitter Profile Photo

🩸#MorphologyMonday | Case MM250707: Thalassaemia onlycells.co.uk/mm250714-thala… ✅Dimorphic red cell population ✅Target cells ✅Occasional Howell-Jolly bodies ✅Basophillic stippling ✅Suggestive of haemoglobinopathy #OnlyCells #BloodFilm #LabDiagnostics #RedCells #Thalassaemia

Only Cells Shop (@onlycellsshop) 's Twitter Profile Photo

Missed Session 1/3 of our Antibody ID webinar series? Catch up here: 📺 onlycells.co.uk/webinar-abid1/ Then join us for Session 2: Putting It Into Practice 🗓 6 Aug 2025 | 🕐 13:00 UK 🔗 Register: events.teams.microsoft.com/event/85fb655d… 🧪 Real-life cases, panel walkthroughs, and polls! #ABID

Missed Session 1/3 of our Antibody ID webinar series?
Catch up here:
📺 onlycells.co.uk/webinar-abid1/

Then join us for Session 2: Putting It Into Practice
🗓 6 Aug 2025 | 🕐 13:00 UK

🔗 Register: events.teams.microsoft.com/event/85fb655d…

🧪 Real-life cases, panel walkthroughs, and polls!

#ABID
Only Cells Shop (@onlycellsshop) 's Twitter Profile Photo

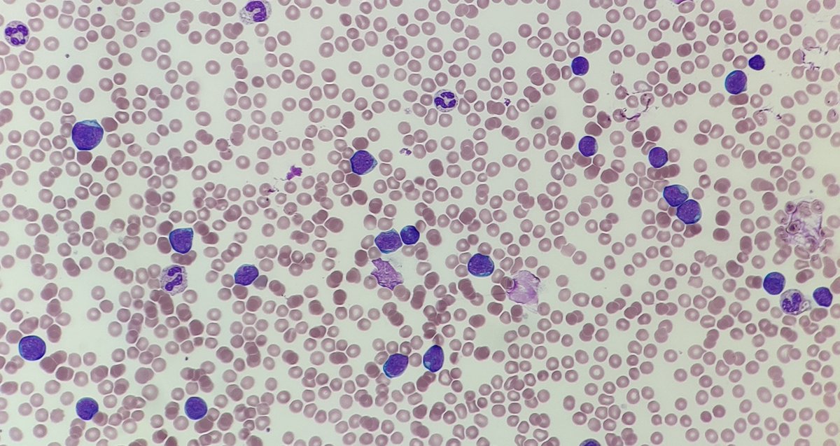
🩸#MorphologyMonday | Case MM250721 onlycells.co.uk/mm250721/ This week’s case comes from a 14 year old teen with a total white cell count of 81.25 ×10⁹/L, low platelets, and an abnormal FBC. Blood film images attached. What would you be considering based on this FBC and the

🩸#MorphologyMonday | Case MM250721

onlycells.co.uk/mm250721/

This week’s case comes from a 14 year old teen with a total white cell count of 81.25 ×10⁹/L, low platelets, and an abnormal FBC.

Blood film images attached. What would you be considering based on this FBC and the
Only Cells Shop (@onlycellsshop) 's Twitter Profile Photo

Hi Royal Mail, is there an issue with the website (send.royalmail.com)? Every time I go to pay I get the attached error on a desktop. On the app, I can't even sign in because of some unexplained error. This is really becoming a repeating issue.

Hi <a href="/RoyalMail/">Royal Mail</a>, is there an issue with the website (send.royalmail.com)? Every time I go to pay I get the attached error on a desktop. On the app, I can't even sign in because of some unexplained error. This is really becoming a repeating issue.
Only Cells Shop (@onlycellsshop) 's Twitter Profile Photo

🩸#MorphologyMonday | Case MM250707: Acute lymphoblastic leukaemia onlycells.co.uk/mm250721-all/ 👦 14 year old male ✅ WBC: Elevated at 37.83 ×10⁹/L ✅ Hb: Reduced at 87 g/L ✅ PLT: Markedly decreased at 19 ×10⁹/L ✅ RBC: 2.93 ×10¹²/L ✅ MCV: Normocytic at 87.4 fL ✅ RDW: 16.4%

Only Cells Shop (@onlycellsshop) 's Twitter Profile Photo

🩸#MorphologyMonday | Case MM250728 onlycells.co.uk/mm250728/ This week’s case features a 26-year-old presenting with anaemia, jaundice & bone pain. The FBC shows a Hb of 68g/L. Other results can be seen by visiting the Only Cells website (link above) What’s your

🩸#MorphologyMonday | Case MM250728

onlycells.co.uk/mm250728/

This week’s case features a 26-year-old presenting with anaemia, jaundice &amp; bone pain.

The FBC shows a Hb of 68g/L. Other results can be seen by visiting the Only Cells website (link above)

What’s your
Anas Nasir (@bloodscientist) 's Twitter Profile Photo

With just a little over a week to go until this webinar, if you haven't registered yet you can do so using the link in the tweet below. Helen has also provided antibody panel worksheets that will be used in the session. You can download and print them here:

Only Cells Shop (@onlycellsshop) 's Twitter Profile Photo

ABID: Tools of the trade Enzymes explained - Spongebob's fun way to understand Watch the full webinar here: youtu.be/7oMnxJO9B68 #OnlyCells #Webinar #ABID #Spongebob #LabDiagnostics #TransfusionScience

Only Cells Shop (@onlycellsshop) 's Twitter Profile Photo

🩸#MorphologyMonday | Case MM250728 onlycells.co.uk/mm250804/ This week’s case comes from a 69-year-old male with fatigue, back pain, and a history of recurrent infections. His FBC shows normocytic anaemia and mild thrombocytopaenia. Biochemistry reveals raised total protein and

🩸#MorphologyMonday | Case MM250728

onlycells.co.uk/mm250804/

This week’s case comes from a 69-year-old male with fatigue, back pain, and a history of recurrent infections. His FBC shows normocytic anaemia and mild thrombocytopaenia. Biochemistry reveals raised total protein and
Only Cells Shop (@onlycellsshop) 's Twitter Profile Photo

🩸#MorphologyMonday | Case MM250728: Multiple myeloma onlycells.co.uk/mm250804-multi… ✅Symptoms: fatigue, back pain, recurrent infections ✅Circulating plasma cells ✅Mild rouleaux formation ✅Anaemia and pancytopenia ✅Increased total protein Diagnosis: multiple myeloma While

Only Cells Shop (@onlycellsshop) 's Twitter Profile Photo

Thanks again to everyone who joined us for Session 2 of the Antibody Identification (ABID) Webinar series on Wednesday! It’s been brilliant to see the engagement and enthusiasm from colleagues across labs, hospitals, and training programmes. Special thanks to Helen Thom for

Thanks again to everyone who joined us for Session 2 of the Antibody Identification (ABID) Webinar series on Wednesday!

It’s been brilliant to see the engagement and enthusiasm from colleagues across labs, hospitals, and training programmes. Special thanks to Helen Thom for
Only Cells Shop (@onlycellsshop) 's Twitter Profile Photo

Final session of the Antibody ID Webinar Series! Session 3 – The Weird and the Wonderful 🗓 9 Sept 2025 ⏰ 12:30 PM UK 🧪 High incidence antibodies, alloadsorption, neutralisation, DTT, inhibition & case studies 🎓 CPD certificate included 🔗 Register: events.teams.microsoft.com/event/5c5637f3…

Final session of the Antibody ID Webinar Series!

Session 3 – The Weird and the Wonderful
🗓 9 Sept 2025
⏰ 12:30 PM UK
🧪 High incidence antibodies, alloadsorption, neutralisation, DTT, inhibition &amp; case studies
🎓 CPD certificate included

🔗 Register: events.teams.microsoft.com/event/5c5637f3…
Anas Nasir (@bloodscientist) 's Twitter Profile Photo

We're so used to looking at cells under a microscope where they appear 'flat' and 2D. So when you finally see them in their 3D form, it can be quite a 🤯 moment.

Only Cells Shop (@onlycellsshop) 's Twitter Profile Photo

🩸#MorphologyMonday | Case MM250818 onlycells.co.uk/mm250818/ This week's case is from a 35 year old who presented with: - Fatigue and pallor - Easy bruising - Reduced urine output - Mild abdominal pain following GI illness Their FBC result showed: - Hb: 113g/L - WBC: 5.46

🩸#MorphologyMonday | Case MM250818

onlycells.co.uk/mm250818/

This week's case is from a 35 year old who presented with:
 - Fatigue and pallor
 - Easy bruising
 - Reduced urine output
 - Mild abdominal pain following GI illness

Their FBC result showed:
 - Hb: 113g/L
 - WBC: 5.46
Only Cells Shop (@onlycellsshop) 's Twitter Profile Photo

🩸#MorphologyMonday | Case MM250818: Haemolytic uraemic syndrome onlycells.co.uk/mm250818-hus/ Patient symptoms: ✅ Fatigue ✅ Pallor ✅ Easy bruising ✅ Reduced urine output FBC results: ✅ Hb: 113g/L ✅ WBC: 5.46 ×10⁹/L ✅ PLT: 16 ×10⁹/L Other results: ✅ ADAMTS13 activity: