
Amirhossein Moaddab
@ahmoaddab
Fellow of Advanced Cardiovascular Imaging @StFrancis_LI. MPH-HCAD Candidate @DownstateSPH through CREST Scholarship
ID: 2437397336
10-04-2014 18:52:56
107 Tweet
82 Takipçi
487 Takip Edilen



Juma Abdullah, MBBS,FRCS & JBCS Jennifer Co-Vu, MD, FACC, FAAP, FASE Gina Lundberg MD FACC FAHA Toniya Singh MD FACC Alison L. Bailey, MD Minnow Walsh, MD, MACC Ki Park @mcwlovesheart Ritu Thamman MD Kamala Tamirisa MD Shona Velamakanni MD Alaina Kipps Dr. Shubhika Srivastava MBBS Aamisha Gupta, MD, FACC (she/her) Retu Saxena Khanjan Shah 13% of cardiologists are women. Every other conference is for men. Women should have safe academic spaces where they can be valued and supported by everyone who wants them to succeed. You should delete this tweet.

Excited to have the very first cardiovascular dedicated #yesCCT Siemens Naeotom Alpha Photon Counting CT in the USA. Heart_SCCT. First Images coming soon! chsli.org/news/st-franci…

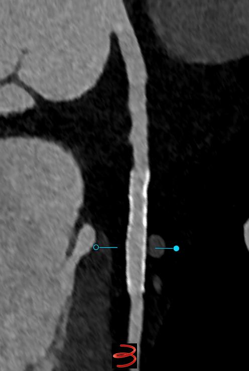
Ultra-high resolution #yesCCT imaging from the Naeotom Alpha. 0.2 mm recon , Bv56 kernel. No need for invasive angiography. St. Francis Hospital & Heart Center Heart_SCCT Juan Lopez-Mattei, MD Ryan P. Daly, MD Dr. Purvi Parwani Dr Andrew D. Choi Akhil Narang, MD


New St. Francis Hospital & Heart Center Cardiovascular Imaging #yesCCT #whyCMR fellowship website is live! If any interested applicants are at American College of Cardiology #ACC2023 please reach out to interview with Roosha Parikh and myself chsli.org/st-francis-hos…


Looking for a 1 year Cardiovascular Imaging #yesCCT #echofirst #whyCMR #thinkPET research fellow for July 2023-24 in a busy and productive program. Please see details below. Juan Lopez-Mattei, MD Dr. Purvi Parwani Ryan P. Daly, MD Akhil Narang, MD Tiffany Chen A.Sami Abuzaid MD,EMHL,FASE,FSCCT,FSCMR,FESC,FACC



The advantages of a large, full time dedicated imaging group - if any skilled imagers are reading this please apply - need to fill several faculty positions !! Juan Lopez-Mattei, MD Ryan P. Daly, MD Dr. Purvi Parwani Ziad Ali Srihari S. Naidu, MD

Save the date! Wed Dec 13 12pm EST. Difficult conversations Part 2. DEI Case Scenarios. A Round Table. Register here. blbmeetings.zoom.us/webinar/regist… Michelle Semins Sarah Razavi Sebastian Rodriguez-Alvarez, MD silvia secco


Great research presentation and representation by super⭐️ St. Francis Hospital & Heart Center Advanced CV imaging fellow Amirhossein Moaddab #yazeidalshebani #CMR2024 #London Omar Khalique Ziad Ali #whyCMR Society for Cardiovascular Magnetic Resonance Juan Lopez-Mattei, MD Jadranka Stojanovska MD MS FSCMR Dr. Purvi Parwani Ritu Thamman MD Catholic Health


St. Francis Hospital & Heart Center #accimaging #whyCMR team showing up big Society for Cardiovascular Magnetic Resonance #SCMR2024 with 6 abstracts, several presentations, and panels by faculty Roosha Parikh #sylviabiso #jasoncraft #janecao , super tech #joshcheng , and fellow Amirhossein Moaddab


Money magazine ranking only off by 7 slots but pretty close! 😉World class cardiac care St. Francis Hospital & Heart Center . Ziad Ali David J. Cohen, MD, MSc Roosha Parikh Lin Wang MD,FASE,FACC @DJDozaMD Amirhossein Moaddab Billal Tokhi Jaffar Khan Syed Saad Mahmood, MD🫀 Juan Lopez-Mattei, MD Dr. Purvi Parwani


Congratulations to our #CV Imaging fellows St. Francis Hospital & Heart Center 🎉 So proud of everything you have achieved and excited for your journey ahead! Omar Khalique Roosha Parikh Amirhossein Moaddab Sarah Malik Kelash Kumar Ninad Zaman


Proud to be a co-author on this important document. SCAI walking the walk when including #yesCCT #iecho imagers in the team approach. Juan Lopez-Mattei, MD Dr. Purvi Parwani Ryan P. Daly, MD Ritu Thamman MD Dee Dee Wang MD Heart_SCCT
