Ahmed Azhar Ali (@ahmedazharmd) 's Twitter Profile
Ahmed Azhar Ali

@ahmedazharmd

Vascular Surgeon - MD | MSc | MRCS | PhD candidate

ID: 1202560572

linkhttp://linkedin.com/in/ahmed-azhar-ali-b89568106 calendar_today21-02-2013 00:53:21

7,7K Tweet

836 Takipçi

410 Takip Edilen

Xavier Berard (@xavierberardmd) 's Twitter Profile Photo

When the IMA is larger than the occluded aorta a EJVES « coup d’oeil » from CHU de Bordeaux OR by our 🇮🇹resident Marco Campolmi An Inferior Mesenteric Artery Too Good To Go sciencedirect.com/science/articl… #aortaEd

When the IMA is larger than the occluded aorta 
a <a href="/EJVES_ESVS/">EJVES</a> « coup d’oeil » from <a href="/CHUBordeaux/">CHU de Bordeaux</a>  OR  by  our 🇮🇹resident Marco Campolmi An Inferior Mesenteric Artery Too Good To Go sciencedirect.com/science/articl… #aortaEd
Xavier Berard (@xavierberardmd) 's Twitter Profile Photo

Bilateral profunda endart, suprarenal clamp w/ eversion endarterectomy of infrarenal neck, move clamp infrafrenally, end-to-end proximal w/ aorto-bifem, IMA (red loop) direct reimplant. & SMA c-loop bypass ( retro the blue looped LRV) from ABF graft #aortaEd 1/3

Ahmed Azhar Ali (@ahmedazharmd) 's Twitter Profile Photo

45y male CLI with CAD & hx of CABG POBA of rt SFA, retrograde crossing of lt CIA by balloon supported Command 0.018 gw, bilateral kissing bare metal BES Restoration of pedal pulses #vascular Fórum Vascular CLI Global Society #CLIFighter #endovascular

45y male CLI with CAD &amp; hx of CABG

POBA of rt SFA, retrograde crossing of lt CIA by balloon supported Command 0.018 gw, bilateral kissing bare metal BES

Restoration of pedal pulses 

#vascular <a href="/VascularForum/">Fórum Vascular</a> <a href="/CLI_Global/">CLI Global Society</a> #CLIFighter #endovascular
DeBakey CV Education - World Class CV Training (@debakeycvedu) 's Twitter Profile Photo

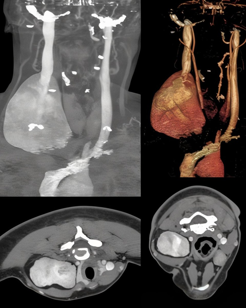
#DeBakeyCVJournal case! “Congenital Fibrolipoma with Hamartomatous Changes of the Internal Jugular Vein" – Samer Regal, Tamer Khafagy, Mohamed AbdelGawad, Ehab Saad & Ahmed Ali Videos & more doi.org/10.14797/mdcvj… CardioNerds Houston Methodist CV M Quinones MD, MACC Nadeen N. Faza, M.D. #CardioEd

#DeBakeyCVJournal case! “Congenital Fibrolipoma with Hamartomatous Changes of the Internal Jugular Vein" – Samer Regal, Tamer Khafagy, Mohamed AbdelGawad, Ehab Saad &amp; Ahmed Ali 

Videos &amp; more doi.org/10.14797/mdcvj… 
<a href="/CardioNerds/">CardioNerds</a> <a href="/HMethodistCV/">Houston Methodist CV</a> <a href="/maquinonesmd/">M Quinones MD, MACC</a> <a href="/NadeenFaza/">Nadeen N. Faza, M.D.</a> #CardioEd
Xavier Berard (@xavierberardmd) 's Twitter Profile Photo

Ruptured Suprarenal AAA. ThoracoPhrenoLaparotomy. Supra CT clamp, 4°C Ringer by 9F Pruitt L &R RAs Beveled anastomosis including CT, SMA and RRA. While LRA was reattached using side Satinsky clamping, both limbs perfused by 12F Pruitt. 📽️captured before R then L iliac anastomosis

Xavier Berard (@xavierberardmd) 's Twitter Profile Photo

Prof Ramesh K Tripathi 😉I don’t have the 2009 CTA at time of EVAR, so hard to answer if neck was safe. Nowadays we do 80% ruptures Endo. It’s a great change for our patient but we must keep in mind that sizing is often done in permissive hypoT, poor oversizing and too short distal sealing can happen

Xavier Berard (@xavierberardmd) 's Twitter Profile Photo

Extending a NAIS to get the requested length and the proper diameter Tapered tubulized bovine pericardium (20 to 10 ml Syringe as mandrel) combined to the 2 femoral veins.

Extending a NAIS to get the requested length and the proper diameter 
Tapered tubulized bovine pericardium (20 to 10 ml Syringe as mandrel) combined to the 2 femoral veins.