Rachael Vaubel
@thebigcobb
M.D., Ph.D. Pathologist specializing in Neuropathology and Molecular Genetic Pathology
@MayoClinicPath
ID: 782346843887775744
01-10-2016 22:29:58
241 Tweet
1,1K Takipçi
368 Takip Edilen
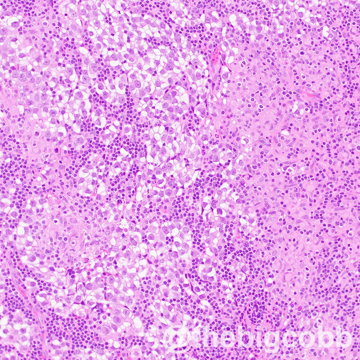
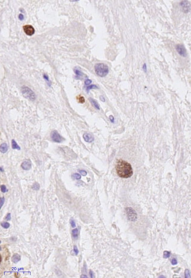
PathWays Case Study: A 52/F presents with progressive numbness involving the right side of her face and tongue, diplopia, swallowing difficulty, and gait instability. Read more: news.mayocliniclabs.com/2019/10/15/pat… Rachael Vaubel #neuropath
Mayo has developed a test to detect #COVID19. A process that usually takes 6 months to a year was accomplished in under a month, thanks to a dedicated team working around the clock. Learn more about the Clinical #Virology Laboratory Mayo Clinic Labs mayocl.in/3cSYLx7.
EARLY VIEW: Rachael Vaubel Fausto Rodriguez Brent Orr @CaterinaGianni7 and Mayo Clinic Pathology Hopkins Neuropath Rheinische Friedrich-Wilhelms-Universität Bonn colleagues perform a comprehensive genomic profile of 67 cases of pleomorphic xanthoastrocytoma #neuropath #braintumor onlinelibrary.wiley.com/doi/10.1111/bp…