Steven Billings, MD (@stevebillingsmd) 's Twitter Profile
Steven Billings, MD

@stevebillingsmd

Professor of Pathology @ClevelandClinic. Co-director of Dermatopathology section. Soft tissue pathologist.

ID: 729040114848960513

linkhttp://my.clevelandclinic.org/staff_directory/staff_display?doctorid=8348 calendar_today07-05-2016 20:08:03

356 Tweet

3,3K Takipçi

267 Takip Edilen

Professor Richard Scolyer AO (@profrascolyer) 's Twitter Profile Photo

2018: what a year! Co-editing two #dermpath textbooks with friends & colleagues was a labour of love. Very proud of final products which trust will assist our colleagues & patients. Our Melanoma Institute Australia research team also recognised with awards. #melanoma #pathology

2018: what a year! Co-editing two #dermpath textbooks with friends &amp; colleagues was a labour of love. Very proud of final products which trust will assist our colleagues &amp; patients.  Our <a href="/MelanomaAus/">Melanoma Institute Australia</a> research team also recognised with awards. #melanoma #pathology
Steven Billings, MD (@stevebillingsmd) 's Twitter Profile Photo

Cutaneous epithelioid angiomatous nodule. Benign vascular tumor composed of circumscribed sheet-like proliferation of epithelioid endothelial cells. First described by Brenn and Fletcher PubMed PMID: 14726818. #dermpath

Cutaneous epithelioid angiomatous nodule. Benign vascular tumor composed of circumscribed sheet-like proliferation of epithelioid endothelial cells. First described by Brenn and Fletcher PubMed PMID: 14726818. #dermpath
Professor Richard Scolyer AO (@profrascolyer) 's Twitter Profile Photo

Artur Zembowicz M.D. That was a brilliant night Artur Zembowicz M.D.! Looking forward to catching up with you & other great friends in Orlando in 8-10 April 2019 when we join with my CoEditors & other outstanding contributors & present the most comprehensive review ever of the new #WHO #Dermpath #Bluebook

<a href="/DrZembowicz/">Artur Zembowicz M.D.</a> That was a brilliant night <a href="/DrZembowicz/">Artur Zembowicz M.D.</a>! Looking forward to catching up with you &amp; other great friends in Orlando in 8-10 April 2019 when we join with my CoEditors &amp; other outstanding contributors &amp; present the most comprehensive review ever of the new #WHO #Dermpath #Bluebook
Jerad Gardner, MD (@jmgardnermd) 's Twitter Profile Photo

Kaposiform hemangioendothelioma & tufted angioma are likely the same thing. Just different names based on size/depth. -Paula North. #USCAP2019 #ISBSTP #pathology #BSTpath #dermpath #dermatology #pedipath

Kaposiform hemangioendothelioma &amp; tufted angioma are likely the same thing. Just different names based on size/depth. -Paula North. #USCAP2019 #ISBSTP #pathology #BSTpath #dermpath #dermatology #pedipath
Hannah Wen (@hannahywen) 's Twitter Profile Photo

Excited to give my 1st Interactive microscopy course “Uncommon histologic subtypes of triple negative breast cancer”. Many thanks to the participants. Thank you USCAP for the awesome opportunity. #USCAP2019 #ISBP2019 USCAP MSK Department of Pathology & Laboratory Medicine Edi Brogi

John Gross, MD (@jmcmahong) 's Twitter Profile Photo

DEDIFFERENTIATED CHORDOMA: Very rare! Biphasic tumor; a conventional chordoma with an abrupt change to a high-grade undifferentiated pleomorphic/spindle cell neoplasm. Brachyury is lost in dedifferentiated component. Almost all cases occur in midline. Poor prognosis. #BSTPath

DEDIFFERENTIATED CHORDOMA: Very rare! Biphasic tumor; a conventional chordoma with an abrupt change to a high-grade undifferentiated pleomorphic/spindle cell neoplasm. Brachyury is lost in dedifferentiated component. Almost all cases occur in midline. Poor prognosis. #BSTPath
Rami Al-Rohil (@rami_alrohil) 's Twitter Profile Photo

Cellular neurothekeoma: solitary lesion, young age group, mostly females on the head&neck. Multilobular pattern in a fibrotic/hyalinized stroma, lobules composed of round cells with vesicular chromatin arranged in concentric nests that swirl w/ some mucin #Pathology #Dermpath

Cellular neurothekeoma: solitary lesion, young age group, mostly females on the head&amp;neck. Multilobular pattern in a fibrotic/hyalinized stroma, lobules composed of round cells with vesicular chromatin arranged in concentric nests that swirl w/ some mucin #Pathology #Dermpath
Steven Billings, MD (@stevebillingsmd) 's Twitter Profile Photo

Books donated by Cleveland Clinic pathology faculty to the students at the annual pathology course for the American Austrian Foundation #pathology

Books donated by Cleveland Clinic pathology faculty to the students at the annual pathology course for the American Austrian Foundation #pathology
Jonathan Myles (@jonathanmyles10) 's Twitter Profile Photo

Thank you for your support in re-electing me to serve as a second term on the CAP Board of Governors. I am proud to serve our members and carry out the CAP mission.

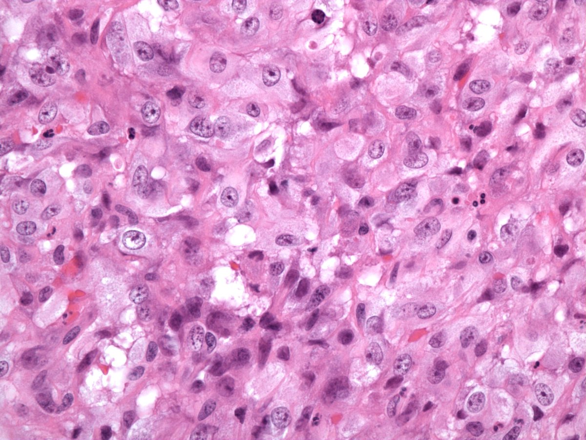
Steven Billings, MD (@stevebillingsmd) 's Twitter Profile Photo

EWSR1-SMAD3 rearranged fibroblastic tumor. Usually acral tumor on feet of women. Positive for ERG, negative for CD34, SMA, S100. We recently published our series in Journal of Cutaneous Pathology PMID: 32901982 Thanks to my colleagues for all their work #dermpath J Cutan Pathol

EWSR1-SMAD3 rearranged fibroblastic tumor. Usually acral tumor on feet of women. Positive for ERG, negative for CD34, SMA, S100. We recently published our series in Journal of Cutaneous Pathology PMID: 32901982  Thanks to my colleagues for all their work #dermpath <a href="/JCutaneousPath/">J Cutan Pathol</a>
Steven Billings, MD (@stevebillingsmd) 's Twitter Profile Photo

Intravascular lobular capillary hemangioma (pyogenic granuloma). Shout out to my fellow Josephine Dermawan and colleague Jennifer Ko who coauthored our series. PMID: 32496432 #dermpath #BSTpath Surgical Pathology

Intravascular lobular capillary hemangioma (pyogenic granuloma). Shout out to my fellow Josephine Dermawan and colleague Jennifer Ko who coauthored our series. PMID: 32496432 #dermpath #BSTpath <a href="/AJSPjournal/">Surgical Pathology</a>
Steven Billings, MD (@stevebillingsmd) 's Twitter Profile Photo

Non-neural granular cell tumor (primitive polypoid non-neural granular cell tumor). Looks like conventional granular cell tumor, but negative for S100 and SOX10. Positive for NKI/C3 (CD63). Some have ALK fusions. Possible relationship to epithelioid FH? #dermpath #BSTPath

Non-neural granular cell tumor (primitive polypoid non-neural granular cell tumor). Looks like conventional granular cell tumor, but negative for S100 and SOX10. Positive for NKI/C3 (CD63). Some have ALK fusions. Possible relationship to epithelioid FH? #dermpath #BSTPath
Karen Fritchie (@karenfritchiemd) 's Twitter Profile Photo

Join us on Sunday! The case presentations are available for viewing now. Please watch and submit any questions via the USCAP website!

Join us on Sunday! The case presentations are available for viewing now. Please watch and submit any questions via the USCAP website!