Shatha (@shathadent441) 's Twitter Profile
Shatha

@shathadent441

"باسمك اللهم نخوض دروبًا جديدة، آملين أن لا نتعثّر “🤍 | Dental student at PNU

ID: 1576544375420686341

calendar_today02-10-2022 12:07:34

74 Tweet

69 Followers

88 Following

حافظ عليهم (@protecthem_) 's Twitter Profile Photo

صحتك النفسية تلعب دور كبير بصحة اسنانك ترقبوا حملتنا القادمة لاكتشاف الرابط بين صحتك النفسية وصحة الاسنان والفم✨ #حافظ_عليهم

حافظ عليهم (@protecthem_) 's Twitter Profile Photo

🗣️ قد سمعتوا قبل عن الرابط بين الصحة النفسية وصحة الفم والأسنان؟ 🦷🧠 خلونا نكتشف الجواب سوا مع د.رهف المحارب رهف الربيع د.علي الربيعان د.علي الربيعان د.أحمد القحطاني د. أحمد القحطاني ود.روان عشي Rawan Ashshi

حافظ عليهم (@protecthem_) 's Twitter Profile Photo

تشرفنا بحضور الدكتور علي الربيعان لحملة حافظ عليهم كل الشكر لمشاركته وحضوره القيم❤️ د.علي الربيعان

حافظ عليهم (@protecthem_) 's Twitter Profile Photo

تشرفنا بحضور الدكتور عبدالرحمن المالكي لحملة حافظ عليهم كل الشكر لمشاركته وحضوره القيم❤️ Dr. Abdulrahman Almalki د. عبدالرحمن المالكي

Shatha (@shathadent441) 's Twitter Profile Photo

الحمدلله حمدًا يملأ القلب فرحاً، والروح رضا والعين نورًا الحمدلله الذي لا تُحصى نعمه 🤍

الحمدلله حمدًا يملأ القلب فرحاً، والروح رضا والعين نورًا الحمدلله الذي لا تُحصى نعمه 🤍
Shatha (@shathadent441) 's Twitter Profile Photo

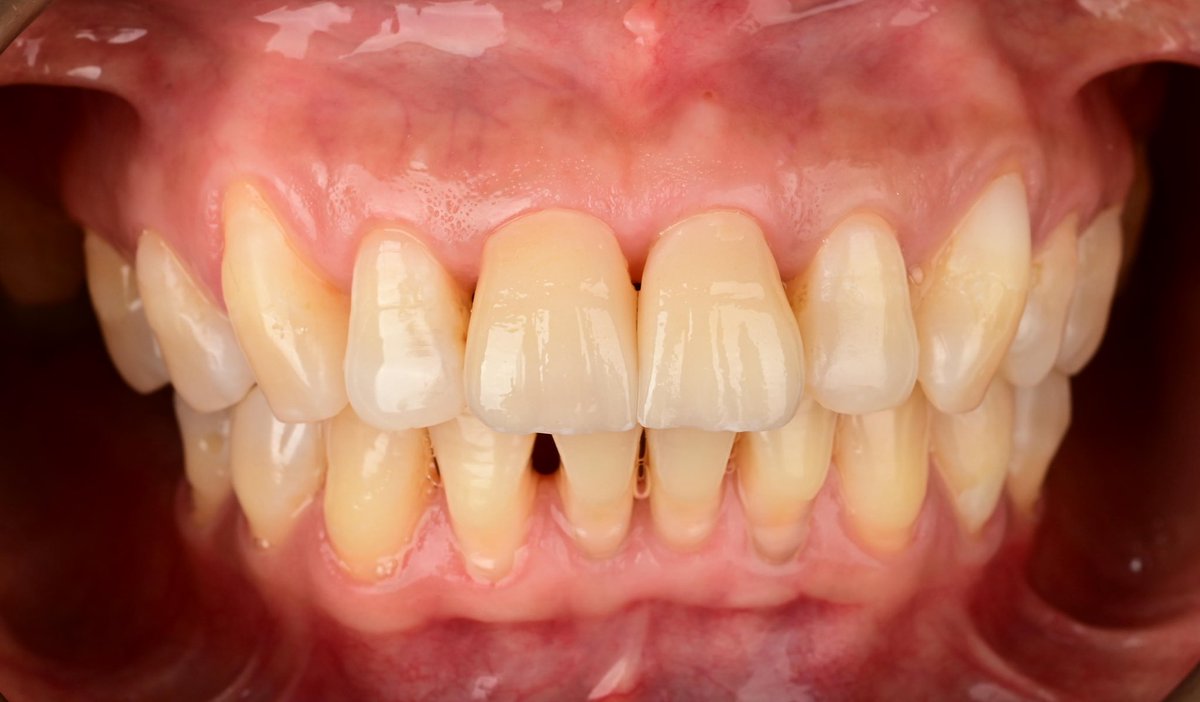
Thrilled to share my long journey 🤍 This is the last comprehensive case as an undergrad looking forward to share cases as postgrad 🤍 الحمدلله على التمام 🤍

Thrilled to share my long journey 🤍
This is the last comprehensive case as an undergrad looking forward to share cases as postgrad 🤍
الحمدلله على التمام 🤍
Shatha (@shathadent441) 's Twitter Profile Photo

A proud moment representing our PNU College of Dentistry at this inspiring conference! Excited to learn from brilliant minds from around the globe. 🦷💫 #SPS_2025

A proud moment representing our PNU College of Dentistry at this inspiring conference! 

Excited to learn from brilliant minds from around the globe. 🦷💫
#SPS_2025
Shatha (@shathadent441) 's Twitter Profile Photo

Kick of the Day! 🔥 Tooth #47 with occlusal caries (sadly no pre-operative photo) Tooth restored with composite restoration using stamp technique 🧩 Impressed with the result ✨

Kick of the Day! 🔥
Tooth #47 with occlusal caries (sadly no pre-operative photo)
Tooth restored with composite restoration using stamp technique 🧩

Impressed with the result ✨
Shatha (@shathadent441) 's Twitter Profile Photo

السلام عليكم ورحمة الله وبركاته نحن طالبات من جامعة الاميره نوره نقوم ببحث ونحتاج من طلاب وطالبات السنه الخامسه كليه طب الاسنان، طلاب وطالبات الامتياز، طبيب العام و استشاريين واستشاريات بتعبئة الاستبيان شاكرين لكم تعاونكم 🙏🏻 docs.google.com/forms/d/e/1FAI…

Shatha (@shathadent441) 's Twitter Profile Photo

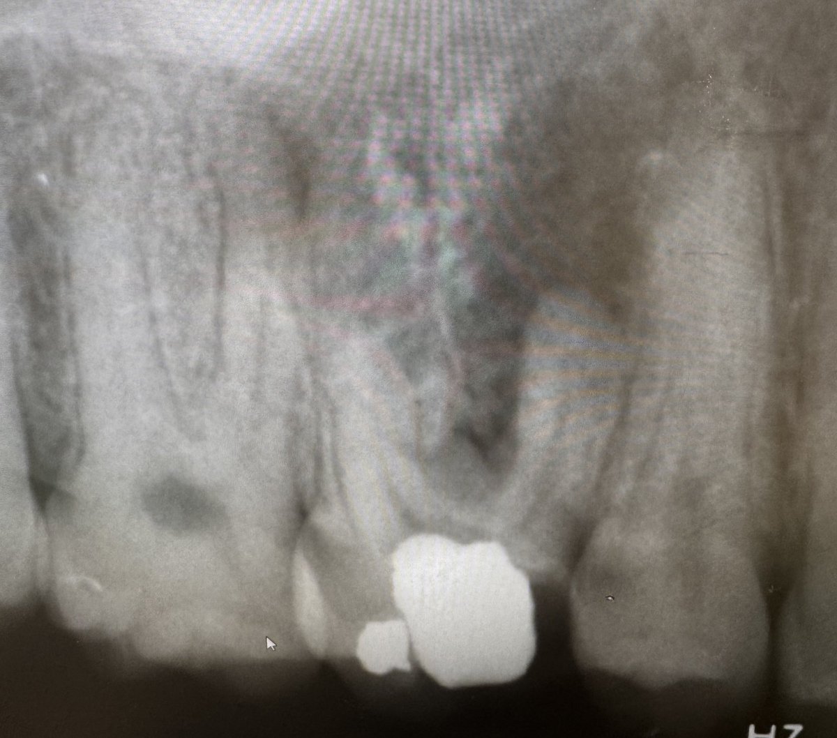
Starting the day with an endo case 🫧 #24 Dx: Necrotic pulp with SAP Restorability check ✅ Access cavity, WL, C&S and obturation with cold lateral condensation technique.

Starting the day with an endo case 🫧

#24 Dx: Necrotic pulp with SAP
Restorability check ✅
Access cavity, WL, C&S and obturation with cold lateral condensation technique.