Shahir Monsuruddin (@shahirmons) 's Twitter Profile
Shahir Monsuruddin

@shahirmons

Radiologist at Jefferson Health @jeffersonrads @TJUHospital. Abdominal Imaging/Emergency Radiology. Tweets are my own, but I don't tweet.

ID: 752255796

calendar_today12-08-2012 01:53:11

212 Tweet

27 Followers

159 Following

Dra. Cecilia Ferrario (@draceciferrario) 's Twitter Profile Photo

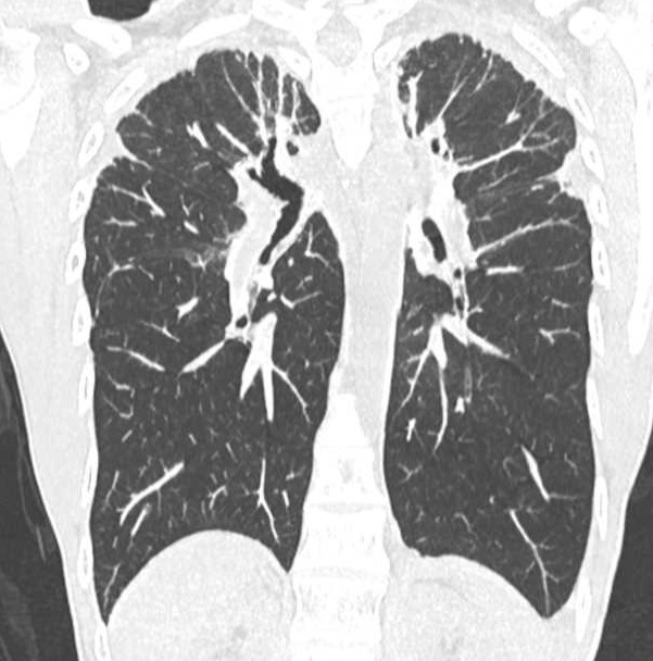
1/ 📢 Let’s talk about pleuroparenchymal fibroelastosis (PPFE)! 🔥 This rare lung disease has very characteristic CT findings, even though in most cases, we don’t really know what causes it! 😬👇🧵

1/ 📢 Let’s talk about pleuroparenchymal fibroelastosis (PPFE)! 🔥

This rare lung disease has very characteristic CT findings, even though in most cases, we don’t really know what causes it! 😬👇🧵
𝙟𝙤𝙨𝙝 𝙛𝙖𝙧𝙠𝙖𝙨 💊 (@pulmcrit) 's Twitter Profile Photo

PulmCrit blog: Michelin Chest Syndrome A shallow pigtail chest tube straightens out & lacerates the lung… Side-holes in the chest wall function as a conduit, pushing air into the subcutaneous tissue… Massive subcutaneous emphysema occurs. blog: emcrit.org/pulmcrit/miche…

PulmCrit blog: Michelin Chest Syndrome

A shallow pigtail chest tube straightens out & lacerates the lung…

Side-holes in the chest wall function as a conduit, pushing air into the subcutaneous tissue…

Massive subcutaneous emphysema occurs.

blog: emcrit.org/pulmcrit/miche…
Sameer Raniga (@samrad77) 's Twitter Profile Photo

Epidural hematomas (EDHs) typically do not cross cranial sutures (including midline) due to the firm attachment of the dura to the bones at the sutures. However, there are exceptions where an EDH can cross suture lines: 1. Fracture-Associated – In cases of diastatic fractures

Epidural hematomas (EDHs) typically do not cross cranial sutures (including midline) due to the firm attachment of the dura to the bones at the sutures.

However, there are exceptions where an EDH can cross suture lines:

1. Fracture-Associated – In cases of diastatic fractures
Lea Alhilali, MD (@teachplaygrub) 's Twitter Profile Photo

1/Don't fall for the siren song of calling all bright round objects at foramen of Monro colloid cysts. Like a true siren song, this may be a TRAP! If you hear the call of colloid—read this first! Here's a thread about lesions here that can trap you--& how you can avoid them!

1/Don't fall for the siren song of calling all bright round objects at foramen of Monro colloid cysts.

Like a true siren song, this may be a TRAP!

If you hear the call of colloid—read this first!

Here's a thread about lesions here that can trap you--& how you can avoid them!
Sameer Raniga (@samrad77) 's Twitter Profile Photo

Osteoporosis can mimic an aggressive, permeative pattern on X-ray—especially in the pelvis, scapula, legs, and ribs. Don’t mistake it for malignancy or infection. Clue: Look for generalized demineralization and similar changes in the adjacent bones. —Pearls and pitfalls from

Osteoporosis can mimic an aggressive, permeative pattern on X-ray—especially in the pelvis, scapula, legs, and ribs.

Don’t mistake it for malignancy or infection.

Clue: Look for generalized demineralization and similar changes in the adjacent bones.

—Pearls and pitfalls from
Eddy J. Gutierrez, MD (@eddyjoemd) 's Twitter Profile Photo

Does your patient on mechanical ventilation REALLY need that daily chest X-ray? Avoid unnecessarily radiating your patient and consuming all the accompanied resources. 🎩 tip to the authors. eddyjoemd.com/foamed/

Does your patient on mechanical ventilation REALLY need that daily chest X-ray? Avoid unnecessarily radiating your patient and consuming all the accompanied resources. 🎩 tip to the authors.
eddyjoemd.com/foamed/
Michael Okun (@michaelokun) 's Twitter Profile Photo

Do you know when silence is not avoidance — it’s integrity? What did Muhammad Ali's medical case teach us about the dangers of talking publicly about someone's medical diagnosis w/o consent and obtaining an in-person examination? This isn’t just bad practice — it risks eroding

Do you know when silence is not avoidance — it’s integrity? What did Muhammad Ali's medical case teach us about the dangers of talking publicly about someone's medical diagnosis w/o consent and obtaining an in-person examination? This isn’t just bad practice — it risks eroding
SPIN | Society of Pediatric Neuroimaging (@spinacademics) 's Twitter Profile Photo

For our second case presented by Dr Kapil at VNC, the CECT had everyone guessing—ring-enhancing lesions lit up the chat with differentials. But the MRI flipped the script entirely. Just goes to show the many faces of venous thrombosis—disguised as the usual, but far from it!!!

For our second case presented by Dr Kapil at VNC, the CECT had everyone guessing—ring-enhancing lesions lit up the chat with differentials. But the MRI flipped the script entirely. Just goes to show the many faces of venous thrombosis—disguised as the usual, but far from it!!!
Francis Deng, MD (@francisdeng) 's Twitter Profile Photo

Hey radiologists, The Intl Osteoporosis Foundation has this one simple trick to help you better care for your patients with osteoporosis. If you see a fracture, CALL IT A FRACTURE, not just a combination of non-fracture words like compression deformity, height loss, wedging, etc

Hey radiologists,
The Intl Osteoporosis Foundation has this one simple trick to help you better care for your patients with osteoporosis.

If you see a fracture, CALL IT A FRACTURE, not just a combination of non-fracture words like compression deformity, height loss, wedging, etc
Lea Alhilali, MD (@teachplaygrub) 's Twitter Profile Photo

Anyone can see the bright spot of diffusion imaging! What sets you apart is your ability to tell them where it is—what vascular territory Here are the vascular territories you need to know: * Posterior Inferior Cerebellar Artery (PICA) Soft under surface of the cerebellum *

Anyone can see the bright spot of diffusion imaging!

What sets you apart is your ability to tell them where it is—what vascular territory

Here are the vascular territories you need to know:

* Posterior Inferior Cerebellar Artery (PICA)
Soft under surface of the cerebellum

*
RJ (@northwoods1980) 's Twitter Profile Photo

Somewhat interesting case for me not patient. Example of osseous UCL avulsion fracture sublime tubercle. Also associated with osteochondral separation, fx.

Somewhat interesting case for me not patient. Example of osseous UCL avulsion fracture sublime tubercle. Also associated with osteochondral separation, fx.
Sandeep Arora (@letddiceflyhigh) 's Twitter Profile Photo

Perfect case to see distinguishing features of inguinal hernia and inguinal canal lipoma ...icl connects with extraperitoneal fat and the cord is usually displaced to one side. #FOAMrad #radiology #radres #abdrad

Peter M. Lawrence (@petermlawrence1) 's Twitter Profile Photo

I am deeply saddened by the news of Prof. Gazi Yaşargil’s passing, and so close to his 100th birthday and the yasargil100 Symposium to honor him. I am presenting in Zürich in a few weeks and was greatly looking forward to meeting Dr. Yaşargil, and giving him this portrait. Truly

I am deeply saddened by the news of Prof. Gazi Yaşargil’s passing, and so close to his 100th birthday and the <a href="/yasargil100/">yasargil100</a> Symposium to honor him. I am presenting in Zürich in a few weeks and was greatly looking forward to meeting Dr. Yaşargil, and giving him this portrait. Truly