Zac (@scriptursuccess) 's Twitter Profile
Zac

@scriptursuccess

Part-time Pharmacist Full-time medical student. Educator Study community: discord.com/invite/u9f6

ID: 1787926445295128576

linkhttps://bit.ly/m/ScriptUrSucces calendar_today07-05-2024 19:24:25

16,16K Tweet

4,4K Takipçi

3,3K Takip Edilen

Zac (@scriptursuccess) 's Twitter Profile Photo

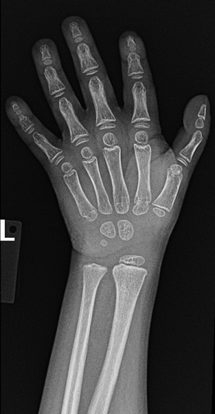
An interesting finding in fanconi anemia is a triphalngeal thumb Al Salam H, Lustosa L, Ranchod A, et al. Triphalangeal thumb. Reference article, Radiopaedia.org (Accessed on 15 Aug 2025) doi.org/10.53347/rID-1…

An interesting finding in fanconi anemia is a triphalngeal thumb 

Al Salam H, Lustosa L, Ranchod A, et al. Triphalangeal thumb. Reference article, Radiopaedia.org (Accessed on 15 Aug 2025) doi.org/10.53347/rID-1…
Zac (@scriptursuccess) 's Twitter Profile Photo

Wanna know why med errors happen? Look at the packaging… very similar to each other . When you have this + severely understaffed + corporate yelling at you to go faster = med errors.

Wanna know why med errors happen? Look at the packaging… very similar to each other . 

When you have this + severely understaffed + corporate yelling at you to go faster = med errors.