Saroja Devi Geetha (@saroja_devig) 's Twitter Profile
Saroja Devi Geetha

@saroja_devig

Daughter. Wife. Mother. Chief Resident- PGY4 Pathology @Northwellhealth. 25-26 CytoPath fellow @MDAndersonnews 26-27 PulmPath fellow @MayoClinic AZ

ID: 1636893439781396480

calendar_today18-03-2023 00:53:20

727 Tweet

523 Followers

533 Following

Society of Black Pathology (@sbpathology) 's Twitter Profile Photo

Congratulations to SBP members Drs Alae Kawam, Sophia Bertse Bellegarde, and Nicole Jackson for their recognition as Leading Voices in this year’s The Pathologist’s #PowerList. Read their thoughts and others 👉🏾 tinyurl.com/SBPowerlist25 #Pathology #LaboratoryMedicine

Congratulations to SBP members Drs Alae Kawam, Sophia Bertse Bellegarde, and Nicole Jackson for their recognition as Leading Voices in this year’s <a href="/pathologistmag/">The Pathologist</a>’s #PowerList.

Read their thoughts and others 👉🏾 tinyurl.com/SBPowerlist25

#Pathology #LaboratoryMedicine
Raza Hoda MD (@razahoda) 's Twitter Profile Photo

Case of Metastatic Lobular Carcinoma to Gallbladder ☄️🔬 Chronic cholecystitis on the requisition? 🤔 Those dyscohesive cells in the wall might tell a different story 😦 #PathX #PathTwitter #breastpath

Case of Metastatic Lobular Carcinoma to Gallbladder ☄️🔬

Chronic cholecystitis on the requisition? 🤔

Those dyscohesive cells in the wall might tell a different story 😦

#PathX #PathTwitter #breastpath
C. Christofer Juhlin (@drjuhlin) 's Twitter Profile Photo

Medullary thyroid carcinoma - FNAC vs histology. 🔹 FNAC: Dyshesive, plasmocytoid cells with variable shapes & long tapering processes. 🔹 Histology: Spindle-shaped cells with neuroendocrine chromatin. Classic cytology–histology correlation!

Medullary thyroid carcinoma - FNAC vs histology.

🔹 FNAC: Dyshesive, plasmocytoid cells with variable shapes &amp; long tapering processes.
🔹 Histology: Spindle-shaped cells with neuroendocrine chromatin.

Classic cytology–histology correlation!
USCAP (@theuscap) 's Twitter Profile Photo

Apply today for the Medical Student Genomics Workshop at USCAP 2026! Deadline is December 3, 2025. uscap.org/2025-medical-s…

Saroja Devi Geetha (@saroja_devig) 's Twitter Profile Photo

Koilocyte cluster on Pap smear → LSIL. Next case? Nope! Always screen the entire slide to be sure you are not missing any high-grade cells. #CytoPath #MedTwitter #PathTwitter #GynPath #PathResidents #PAPsmear

Koilocyte cluster on Pap smear → LSIL. Next case? Nope! Always screen the entire slide to be sure you are not missing any high-grade cells.

#CytoPath  #MedTwitter #PathTwitter #GynPath #PathResidents #PAPsmear
Raza Hoda MD (@razahoda) 's Twitter Profile Photo

Quiz time! 🧑‍🏫 A single enlarged retroperitoneal lymph node. Poll in the comments 👇 Answer reveal on Monday! ⏳ #PathX #PathTwitter #breastpath #PathQuiz

Quiz time! 🧑‍🏫

A single enlarged retroperitoneal lymph node.

Poll in the comments 👇

Answer reveal on Monday! ⏳

#PathX #PathTwitter #breastpath #PathQuiz
Meredith Herman, DO (@meredithkherman) 's Twitter Profile Photo

Handmade by yours truly and sprinkled with glamour. My new holiday ornaments are ready to shine on your tree (or microscope)! ✨ whitecoatartistry.etsy.com/?coupon=PATHAR… Cyber Sale Discount: PATHART25 #Whitecoatartistry #PathArt #sciencegift

Syed Z. Ali (@sza_jhcyto) 's Twitter Profile Photo

ADVICE for CTs and MDs - It's always a good idea to take short breaks during a lengthy sign out session or slide screening at the scope. REMEMBER, "Calm Eyes See More."

Modern Pathology (@modernpathology) 's Twitter Profile Photo

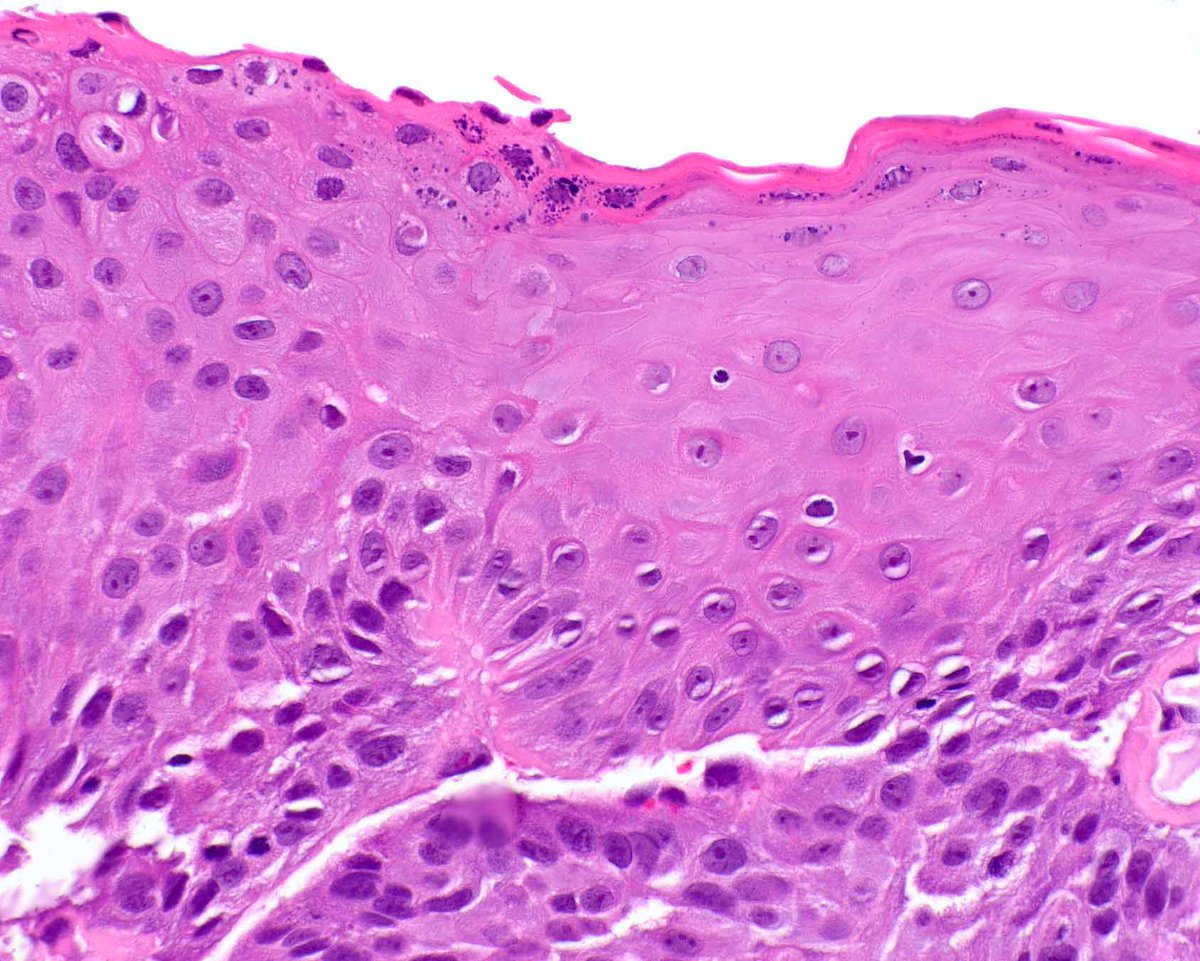
Esophageal epidermoid metaplasia (the presence of a granular layer) is likely a precursor to esophageal squamous cell carcinoma - a vintage report in Modern Pathology showed good evidence. Singhi AD, Arnold CA, Lam-Himlin DM, Nikiforova MN, Voltaggio L, Canto MI, McGrath KM,

Esophageal epidermoid metaplasia (the presence of a granular layer) is likely a precursor to esophageal squamous cell carcinoma - a vintage report in Modern Pathology showed good evidence.
Singhi AD, Arnold CA, Lam-Himlin DM, Nikiforova MN, Voltaggio L, Canto MI, McGrath KM,
syed t. hoda (@01sth02) 's Twitter Profile Photo

EVERY single doctor you interview with was in your exact position before and was also nervous about their career I know I was! very much so… they are you in another dimension —giving you a chance to make it! #match2026 #medtwitter #pathtwitter #pathmatch26

Saroja Devi Geetha (@saroja_devig) 's Twitter Profile Photo

Liver FNA: Metastatic melanoma Both hepatocytes & melanoma can show prominent nucleoli/binucleation, but melanoma smears are more cellular with larger discohesive cells & if lucky, melanin pigment: blue-black on DQ, yellow-brown on Pap #PathTwitter #MedTwitter #CytoPath

Liver FNA: Metastatic melanoma

Both hepatocytes &amp; melanoma can show prominent nucleoli/binucleation, but melanoma smears are more cellular with larger discohesive cells &amp; if lucky, melanin pigment: blue-black on DQ, yellow-brown on Pap

#PathTwitter #MedTwitter #CytoPath
Saroja Devi Geetha (@saroja_devig) 's Twitter Profile Photo

Thyroid FNA: Bethesda Category IV Follicular neoplasm (oncocytic) Highly cellular smears composed almost entirely of oncocytic cells. #PathTwitter #MedTwitter #CytoPath #Cytology #ThyroidFNA #CytoFellow

Thyroid FNA: Bethesda Category IV
Follicular neoplasm (oncocytic)

Highly cellular smears composed almost entirely of oncocytic cells.

#PathTwitter #MedTwitter #CytoPath #Cytology #ThyroidFNA #CytoFellow
Ziad El-Zaatari (@ziad_zaatari) 's Twitter Profile Photo

🔬📸 Pulmonary Hamartoma ~ 3 in 1... Cartilage (left), fat (white), and myxoid spindled cells (light blue) ~ #PulmPath #Pathology #PathArt

🔬📸  Pulmonary Hamartoma ~ 3 in 1... Cartilage (left), fat (white), and myxoid spindled cells (light blue) ~ #PulmPath #Pathology #PathArt
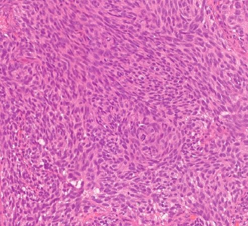
Saroja Devi Geetha (@saroja_devig) 's Twitter Profile Photo

The many faces of melanoma on FNA. This time, the cells are discohesive and spindled. Paired with histology from the biopsy. #PathTwitter #MedTwitter #CytoPath #DermPath #PathResident

The many faces of melanoma on FNA. This time, the cells are discohesive and spindled. Paired with histology from the biopsy.

#PathTwitter #MedTwitter #CytoPath #DermPath #PathResident