Sarah Moharem Elgamal, MBBCh, MSc, PhD👩🏻‍⚕️🫀 (@sarah_moharem) 's Twitter Profile
Sarah Moharem Elgamal, MBBCh, MSc, PhD👩🏻‍⚕️🫀

@sarah_moharem

Assembly🔩🪛🇪🇬|Made🇺🇸|Refined🇬🇧| Consultant Cardiologist @LHCHFT💙#ACHD #CVImaging #WhyCMR #CCT|@LiverpoolCCS|@escardio| #EACVI Board Member| Views🙋🏻‍♀️

ID: 250766320

linkhttps://www.lhch.nhs.uk/staff/consultants/32 calendar_today11-02-2011 19:22:09

12,12K Tweet

5,5K Takipçi

2,2K Takip Edilen

Sarah Moharem Elgamal, MBBCh, MSc, PhD👩🏻‍⚕️🫀 (@sarah_moharem) 's Twitter Profile Photo

🧠💬 Help us understand what’s holding back #whyCMR use in clinical practice! #EACVI is conducting a Europe-wide survey to identify barriers faced by🫀👩🏻‍⚕️in performing & reporting #whyCMR scans. Your experience matters. Share your insights 👇

EHJCVI Editor-in-Chief (@ehjcvieic) 's Twitter Profile Photo

#EHJCVI Most read ➡️ This consensus statement aims to provide practical advice for all clinicians regarding the use of #multimodality #imaging to simplify the diagnostic evaluation, prognostic stratification, and management of cardiac involvement in AFD ➡️ academic.oup.com/ehjcimaging/ar…

#EHJCVI Most read ➡️ This consensus statement aims to provide practical advice for all clinicians regarding the use of #multimodality #imaging to simplify the diagnostic evaluation, prognostic stratification, and management of cardiac involvement in AFD ➡️ academic.oup.com/ehjcimaging/ar…
EACVI President (@eacvipresident) 's Twitter Profile Photo

Honoured to deliver today’s Guest Lecture on Sex Differences in Valvular Heart Disease with Philippe Pibarot at #JIIC2025 in Paris. From aortic stenosis to mitral regurgitation, we discussed how sex-specific imaging insights can improve outcomes—especially for women, who remain

Honoured to deliver today’s Guest Lecture on Sex Differences in Valvular Heart Disease with Philippe Pibarot at #JIIC2025 in Paris.

From aortic stenosis to mitral regurgitation, we discussed how sex-specific imaging insights can improve outcomes—especially for women, who remain
Vass Vassiliou (@vass_vassiliou) 's Twitter Profile Photo

Job ALERT NIHR Clinical Lecturer posts in #Norwich NEED: 1- medical doctor in UK training scheme with NTN (or qualified GP) AND 2- Hold a PhD If interested please contact me and apply - GP, Gastro, Cardiology, Resp, Endo, Gen Surg tinyurl.com/uvndtc62 …/2 for photos!

EACVI President (@eacvipresident) 's Twitter Profile Photo

Don't miss this case based webinar on cardiac amyloidosis if you want to ⭐️ identify and diagnose cardiac amyloidosis ⭐️learn about types of cardiac amyloidosis ⭐️and different diagnostic tools for screening Register at esc365.escardio.org/event/1928?utm… Robert Manka Gosia Wamil

Don't miss this case based webinar on cardiac amyloidosis if you want to 
⭐️ identify and diagnose cardiac amyloidosis
⭐️learn about types of cardiac amyloidosis 
⭐️and different diagnostic tools for screening 
Register at esc365.escardio.org/event/1928?utm…

<a href="/rmanka_/">Robert Manka</a> <a href="/GosiaWamil/">Gosia Wamil</a>
European Society of Cardiology (@escardio) 's Twitter Profile Photo

#ImageOfTheWeek by Mohamed Ztat, Rim Zerhoudi and Mustapha Elhattaoui from the Cardiology Department - Errazi Hospital - Mohammed VI University Hospital, Marrakech. This case is a patient in their 40s, presenting with poorly tolerated ventricular arrhythmia. What is your

#ImageOfTheWeek by Mohamed Ztat, Rim Zerhoudi and Mustapha Elhattaoui from the Cardiology Department - Errazi Hospital - Mohammed VI University Hospital, Marrakech. This case is a patient in their 40s, presenting with poorly tolerated ventricular arrhythmia. 

What is your
EHJ-IMP Editor-in-Chief (@ehjimpeic) 's Twitter Profile Photo

⚠️ Overlapping signs of infective endocarditis (IE) and #COVID19 pneumonia can delay diagnosis—especially in elderly, comorbid patients. Clinicians should keep a low threshold for bedside echo in septic patients post-COVID-19. #Endocarditis #EchoFirst 🔗 doi.org/10.1093/ehjimp…

⚠️ Overlapping signs of infective endocarditis (IE) and #COVID19 pneumonia can delay diagnosis—especially in elderly, comorbid patients. Clinicians should keep a low threshold for bedside echo in septic patients post-COVID-19. #Endocarditis #EchoFirst
🔗 doi.org/10.1093/ehjimp…
Ahmed Mohsen (@drahmedmohsen85) 's Twitter Profile Photo

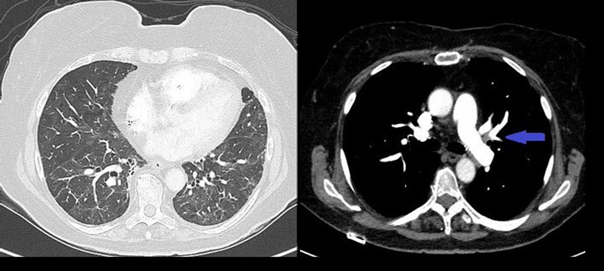
Patients with unexplained dyspnea with normal back examination (no wheezes or crepitation) and normal CXR Rule out pulmonary embolism From my book "Tips and Tricks in Clinical Cardiology"

Patients with unexplained dyspnea with normal back examination (no wheezes or crepitation) and normal CXR
Rule out pulmonary embolism

From my book 
"Tips and Tricks in Clinical Cardiology"
Sarah Moharem Elgamal, MBBCh, MSc, PhD👩🏻‍⚕️🫀 (@sarah_moharem) 's Twitter Profile Photo

Thank you so much Denisa Muraru for the thoughtful wishes! I’m truly grateful to be part of such a passionate & inspiring team. It’s a privilege to contribute to the #EACVI mission & support the amazing work we’re doing together. Looking forward to more shared successes ahead!

Sarah Moharem Elgamal, MBBCh, MSc, PhD👩🏻‍⚕️🫀 (@sarah_moharem) 's Twitter Profile Photo

Thank you so much Denisa Muraru for the Bday wishes! I’m truly grateful to be part of such a passionate and inspiring team. It’s a privilege to contribute to the #EACVI mission and support the amazing work we’re doing together. Looking forward to more shared successes ahead!

Victoria Delgado (@vdelgadogarcia) 's Twitter Profile Photo

It has been a pleasure to participate at the European Society of Cardiology webinar on how to use MMI in cardiac amyloidosis with Dr Damy, Pablo Garcia-Pavia and Dr Merlo - very interactive, with important learning points. To review it, go to #ESC365 👉esc365.escardio.org/event/1928 EACVI President HFAPresident

It has been a pleasure to participate at the <a href="/escardio/">European Society of Cardiology</a> webinar on how to use MMI in cardiac amyloidosis with Dr Damy, <a href="/dr_pavia/">Pablo Garcia-Pavia</a> and Dr Merlo - very interactive, with important learning points. To review it, go to #ESC365 👉esc365.escardio.org/event/1928 <a href="/EACVIPresident/">EACVI President</a> <a href="/HFA_President/">HFAPresident</a>
EACVI President (@eacvipresident) 's Twitter Profile Photo

Join the Next Edition of the #EACVI CMR Course – 18–20/09 📍 European Heart House 🇫🇷 Experience an immersive 3 day programme combining interactive lectures with hands-on practical training, including: •Simulation scanning sessions •Image analysis workshops on dedicated

Join the Next Edition of the #EACVI CMR Course – 18–20/09
📍 European Heart House 🇫🇷

Experience an immersive 3 day programme combining interactive lectures with hands-on practical training, including:
•Simulation scanning sessions
•Image analysis workshops on dedicated