Roberto González-Oyervides (@rober_go) 's Twitter Profile
Roberto González-Oyervides

@rober_go

MD. Urólogo (endouro / uro-onco) @TecdeMonterrey @Nlsalud \ Regio, Founder Spartan

ID: 71300459

calendar_today03-09-2009 16:52:34

2,2K Tweet

301 Followers

294 Following

Francisco Rodríguez-Covarrubias (@drfrodriguezcov) 's Twitter Profile Photo

Coincido totalmente. Antes tendrá que haber preceptos éticos mínimos para un uso correcto de las redes sociales en medicina. Empezando por no publicar órganos recién resecados ni fotos de pacientes en los quirófanos... SMU México

Manuel Pérez Jiménez (@manperez19) 's Twitter Profile Photo

Hoy Rayados salió a competir con dignidad y juego de conjunto ante un coloso de fútbol mundial; el Liverpool Campeón de UEFA y quizá hoy día, mejor equipo del orbe ⚽️ La prensa internacional lo reconoce así... Que orgullo MTY 💪🏻 #ArribaElMonterrey

Hoy Rayados salió a competir con dignidad y juego de conjunto ante un coloso de fútbol mundial; el Liverpool Campeón de UEFA y quizá hoy día, mejor equipo del orbe ⚽️
La prensa internacional lo reconoce así...
Que orgullo MTY 💪🏻 #ArribaElMonterrey
Andrew Portis, MD (@andrewportis) 's Twitter Profile Photo

Introducing STONE PASS A community education effort to improve ureteral stone discussions between patient & provider A tool to communicate probability based on outcomes of similar patients (size, location, & #PROMIS pain) It's all about decision making stonepassapp.com

Introducing STONE PASS

A community education effort to improve ureteral stone discussions between patient & provider

A tool to communicate probability based on outcomes of similar patients (size, location, & #PROMIS pain)

It's all about decision making

stonepassapp.com
Harvard Business Review (@harvardbiz) 's Twitter Profile Photo

For organizations where they're not the norm, virtual meetings can be daunting and seem like they're draining productivity. It doesn't have to be this way. s.hbr.org/2Ilt55N

Zach Klaassen (@zklaassen_md) 's Twitter Profile Photo

Phase 3 Adjuvant Chemo for UTUC -- first presented at GU ASCO '18, now published in The Lancet Adjuvant chemotherapy significantly improved DFS (HR 0.45, 95% CI 0.30–0.68; p=0.0001) at a median follow-up of 30.3 months thelancet.com/journals/lance…

Tecnológico de Monterrey (@tecdemonterrey) 's Twitter Profile Photo

¡En el Tec #UnidosSomosMásFuertes! Agradecemos sobremanera el trabajo de todo el equipo de TecSalud - Sistema de Salud del Tec de Monterrey , y nos sumamos cuidando de nosotros y de los demás. #YoMeQuedoEnCasa #GraciasTecSalud

OPS/OMS (@opsoms) 's Twitter Profile Photo

¡La OMS (World Health Organization (WHO)) lleva la información de la #COVID19 a millones 🌎 a través de WhatsApp, ahora en español! 👉 Envíe la palabra “𝐇𝐨𝐥𝐚” al +41 22 501 76 90 📲 para comenzar la conversación. ➕INFO: paho.org/hq/index.php?o…

¡La OMS (<a href="/WHO/">World Health Organization (WHO)</a>) lleva la información de la #COVID19 a millones 🌎 a través de WhatsApp, ahora en español! 

👉 Envíe la palabra “𝐇𝐨𝐥𝐚” al +41 22 501 76 90 📲 para comenzar la conversación.

➕INFO: paho.org/hq/index.php?o…
Pandemis (@pandemis1) 's Twitter Profile Photo

🚨¡No creas todo lo que lees!🚨 Hay mucha información falsa circulando por las redes sociales. #FactChecking #COVID19 Abriendo hilo: "¿El agua caliente es capaz de eliminar el virus causante de COVID-19?"

🚨¡No creas todo lo que lees!🚨
Hay mucha información falsa circulando por las redes sociales. #FactChecking #COVID19 

Abriendo hilo: "¿El agua caliente es capaz de eliminar el virus causante de COVID-19?"
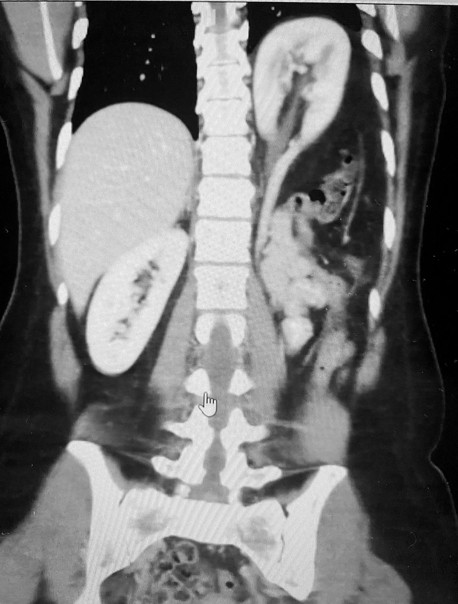
Reza Mehrazin, MD (@mehrazinmd) 's Twitter Profile Photo

An interesting case of thoracic renal ectopia - herniation of kidney through foramen of Bochdalek #MedTwitter #urology #radiology

An interesting case of thoracic renal ectopia - herniation of kidney through foramen of Bochdalek  #MedTwitter #urology #radiology
JaimeCCS (@jaimeccs) 's Twitter Profile Photo

🚨𝐂𝐇𝐄𝐐𝐔𝐄𝐍 𝐄𝐒𝐓𝐀 𝐁𝐎𝐌𝐁𝐀, 𝐏𝐎𝐑 𝐄𝐒𝐓𝐎 𝐑𝐄𝐍𝐔𝐍𝐂𝐈𝐎 𝐋𝐀 𝐃𝐈𝐑𝐄𝐂𝐓𝐎𝐑𝐀 𝐍𝐀𝐂𝐈𝐎𝐍𝐀𝐋 𝐃𝐄 𝐕𝐀𝐂𝐔𝐍𝐀𝐂𝐈Ó𝐍.🚨 (Circula en WhatsApp) De ser cierto esto son unos criminales. 4T Criminal: Nunca se compraron vacunas -Abro hilo-