Richard J Gawel (@richardjgawelem) 's Twitter Profile
Richard J Gawel

@richardjgawelem

EM resident @UPennEM | @JeffersonUniv and @gettysburg alum | Interested in regional anesthesia / multimodal analgesia in the ED

ID: 1638552496384753670

calendar_today22-03-2023 14:45:38

83 Tweet

73 Followers

157 Following

Richard J Gawel (@richardjgawelem) 's Twitter Profile Photo

Do our ED patients with abdominal pain always need bilateral ESP blocks? Is a unilateral block just as good? Fewer injections (quicker, easier, safer), but same analgesic result? Check out our latest in AJEM! Penn EM Residency Penn Ultrasound Dan DePietro sciencedirect.com/science/articl…

Do our ED patients with abdominal pain always need bilateral ESP blocks? Is a unilateral block just as good?

Fewer injections (quicker, easier, safer), but same analgesic result? 

Check out our latest in AJEM!

<a href="/UPennEM/">Penn EM Residency</a> <a href="/PennUltrasound/">Penn Ultrasound</a> <a href="/depietro213/">Dan DePietro</a> 

sciencedirect.com/science/articl…
JEM_Journal (@jem_journal) 's Twitter Profile Photo

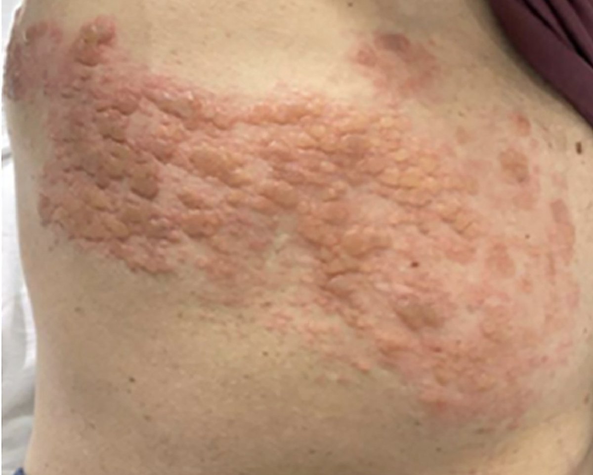
JEM Case of the Week: 54 yo M w/ s/p heart transplant presents with chest wall pain and the following rash. While waiting for an inpatient bed, his pain continues despite multiple narcotics. What is your next step for pain control? Answer posted Friday #medtwitter AAEM

JEM Case of the Week: 54 yo M w/ s/p heart transplant presents with chest wall pain and the following rash.  While waiting for an inpatient bed, his pain continues despite multiple narcotics.  What is your next step for pain control?  Answer posted Friday #medtwitter <a href="/aaeminfo/">AAEM</a>
JEM_Journal (@jem_journal) 's Twitter Profile Photo

JEM Case of the Week Answer: Pain from Zoster? How about a #POCUS guided Serratus Anterior Plane Block! Check out the full case here. Penn EM Residency AAEM #medtwitter jem-journal.com/article/S0736-…

JEM Case of the Week Answer: Pain from Zoster?  How about a #POCUS guided Serratus Anterior Plane Block!  Check out the full case here. <a href="/UPennEM/">Penn EM Residency</a> <a href="/aaeminfo/">AAEM</a>  #medtwitter jem-journal.com/article/S0736-…
Richard J Gawel (@richardjgawelem) 's Twitter Profile Photo

Thanks JEM_Journal! SAPB for severe zoster pain in a heart transplant patient…done safely in the ED. Immunosuppression isn’t always a contraindication. Check out our recent paper ⬇️ Penn Ultrasound Penn Medicine

Richard J Gawel (@richardjgawelem) 's Twitter Profile Photo

Thanks #JournalFeed for featuring our recent review article published in JEM_Journal on the use of the Serratus Anterior Plane Block for managing acute chest wall pain in the ED! Penn Ultrasound Penn EM Residency jeff kramer journalfeed.org/article-a-day/…

Richard J Gawel (@richardjgawelem) 's Twitter Profile Photo

🚨New Paper Alert🚨 We are thrilled to announce that the largest and most comprehensive scoping review of ED-based US-guided nerve blocks was just published in AJEM! Penn Ultrasound jeff kramer Michael Gottlieb Thread ⬇️ sciencedirect.com/science/articl…

🚨New Paper Alert🚨 

We are thrilled to announce that the largest and most comprehensive scoping review of ED-based US-guided nerve blocks was just published in AJEM! 

<a href="/PennUltrasound/">Penn Ultrasound</a> 
<a href="/3jeffkramer/">jeff kramer</a> 
<a href="/MGottliebMD/">Michael Gottlieb</a> 

Thread ⬇️

sciencedirect.com/science/articl…
Zedu Ultrasound Training @zedunow@med-mastodon.com (@zedunow) 's Twitter Profile Photo

🚨 The Zedu Weekly Wrap is live! 🚨 Catch up on the latest #ultrasound news, tips, & inspiration from the team at Zedu 🔥Ft Dr Amit Pawa💉🎙️ Michael I. Prats Richard J Gawel Check it out now: ultrasoundtraining.com.au/news/zedu-week… #pocus #ultrasound #meded

🚨 The Zedu Weekly Wrap is live! 🚨 
Catch up on the latest #ultrasound news, tips, &amp; inspiration from the team at Zedu

🔥Ft <a href="/amit_pawa/">Dr Amit Pawa💉🎙️</a> <a href="/PratsEM/">Michael I. Prats</a> <a href="/RichardJGawelEM/">Richard J Gawel</a> 

Check it out now: ultrasoundtraining.com.au/news/zedu-week… 
#pocus #ultrasound #meded
Richard J Gawel (@richardjgawelem) 's Twitter Profile Photo

Check out our correspondence in the latest edition of AnnalsofEM! “The ACGME proposal to incorporate nerve blocks as a core procedural requirement is a critical next step to standardize the training of regional anesthesia among EM residents.” annemergmed.com/article/S0196-…

Check out our correspondence in the latest edition of <a href="/AnnalsofEM/">AnnalsofEM</a>! 

“The <a href="/acgme/">ACGME</a> proposal to incorporate nerve blocks as a core procedural requirement is a critical next step to standardize the training of regional anesthesia among EM residents.”

annemergmed.com/article/S0196-…
Richard J Gawel (@richardjgawelem) 's Twitter Profile Photo

“Regional Anesthesia as a New Required Core Procedure for Emergency Medicine Residents: A Step in the Right Direction” annemergmed.com/article/S0196-…

Andrew Goldsmith (@goldymd) 's Twitter Profile Photo

Efficacy and Safety of Adjunct Medications in ED Ultrasound‐Guided Nerve Blocks: A National Ultrasound‐Guided NeRVE (NURVE) Block Registry Study - Brown - Academic Emergency Medicine - Wiley Online Library onlinelibrary.wiley.com/doi/10.1111/ac… A new publication from the NURVE group!