Ricardo Beduschi Müller (@rbmllr) 's Twitter Profile
Ricardo Beduschi Müller

@rbmllr

Senior Emergency Medicine Specialist. Soldier of the critically ill, loyal to physiology, madness about sonography, hemodynamics and lung-heart interaction.

ID: 1120066515590627328

calendar_today21-04-2019 20:47:21

2,2K Tweet

52 Takipçi

360 Takip Edilen

Ross Prager (@ross_prager) 's Twitter Profile Photo

(1/10) Pericardial tamponade is a clinical diagnosis supported by #echo (2D + quantitative). A 🧵of 10 confirmed tamponade cases (by drainage!) starting with obvious and ending with subtle ones that you could easily miss.. some PEARLS along the way 👇#medtwitter #foamed

Dr. OMID BANDARCHI (@obandarchi) 's Twitter Profile Photo

Beautiful infographics about ORBITAL FRACTURE from TipsInPlastucSurgery👍Orbital bones are thin, with varying shapes, prone to Fx(s) from relatively minor trauma.Also,orbit is close to vital intracranial structures. So it's imperative to know its anatomy well. see the comment too

Beautiful infographics about ORBITAL FRACTURE from TipsInPlastucSurgery👍Orbital bones are thin, with varying shapes, prone to Fx(s) from relatively minor trauma.Also,orbit is close to vital intracranial structures. So it's imperative to know its anatomy well.
see the comment too
Gonzalo Perez (@gonzaeperez) 's Twitter Profile Photo

CLASIFICACIÓN CCS DEL INFARTO DE MIOCARDIO 🔴Basado en el daño tisular 🔴4 estadios ▪️ 1: infarto abortado, injuria reversible,edema(E) ▪️2: injuria irreversible, necrosis(N); ▪️ 3: E+N+obstrucción microvascular ▪️ 4: E+N+destrucción microvascular (hemorragia)

CLASIFICACIÓN <a href="/SCC_CCS/">CCS</a> DEL INFARTO DE MIOCARDIO

🔴Basado en el daño tisular 
🔴4 estadios

▪️ 1: infarto abortado, injuria reversible,edema(E) 
▪️2: injuria irreversible, necrosis(N); 
▪️ 3: E+N+obstrucción microvascular
▪️ 4: E+N+destrucción microvascular (hemorragia)
NephroPOCUS (@nephrop) 's Twitter Profile Photo

Right heart catheterization in clinical practice: a review of basic physiology and important issues relevant to interpretation. 🔗 pubmed.ncbi.nlm.nih.gov/37469534/ #FOAMed #FOAMcc #hemodynamics

Right heart catheterization in clinical practice: a review of basic physiology and important issues relevant to interpretation.
🔗 pubmed.ncbi.nlm.nih.gov/37469534/
#FOAMed #FOAMcc #hemodynamics
The Heart (@zheart11768530) 's Twitter Profile Photo

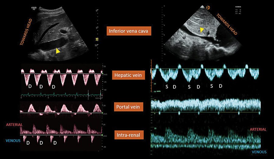
🔴 Diagnosis of Fluid Overload: From Conventional to Contemporary Concepts #openaccess #Review karger.com/crm/article/12… #FOAMed #MedEd #medstudent #paramedic #Cardiology #CardioEd #medtwitter #meded #CardioTwitter #cardiotwiteros #MedX #cardiovascular #MedTwitter #medical

🔴  Diagnosis of Fluid Overload: From Conventional to Contemporary Concepts 
  #openaccess  #Review

karger.com/crm/article/12…
 #FOAMed #MedEd #medstudent #paramedic #Cardiology #CardioEd #medtwitter #meded #CardioTwitter #cardiotwiteros  #MedX #cardiovascular #MedTwitter #medical
Us2 (@us2_ai) 's Twitter Profile Photo

FDA clearance for Us2.v2, featuring 45 automated echo parameters, including strain analysis, marking a significant stride in medical innovation! us2.ai/us2-ai-receive…

FDA clearance for Us2.v2, featuring 45 automated echo parameters, including strain analysis, marking a significant stride in medical innovation!

us2.ai/us2-ai-receive…
NephroPOCUS (@nephrop) 's Twitter Profile Photo

Demonstration of hepatojugular reflux on CVP trace. #FOAMed #FOAMcc #hemodynamics Can be done using #POCUS also (see thread)