Dr Ray Bose MD FRCP(London) FRACP (@raybose1978) 's Twitter Profile
Dr Ray Bose MD FRCP(London) FRACP

@raybose1978

🇳🇿 🇬🇧 🇮🇳 🇦🇪 Consultant Neurologist, Headache Specialist

ID: 1499695658

linkhttp://www.neuralconnexion.com calendar_today10-06-2013 23:27:51

626 Tweet

866 Takipçi

960 Takip Edilen

Neurology Journal (@greenjournal) 's Twitter Profile Photo

Intrinsic Capacity, Polygenic Risk Score, APOE Genotype, and Risk of Dementia: A Prospective Cohort Study Based on the UK Biobank bit.ly/3VDHGjf

Intrinsic Capacity, Polygenic Risk Score, APOE Genotype, and Risk of Dementia: A Prospective Cohort Study Based on the UK Biobank bit.ly/3VDHGjf
NedergaardLab (@nedergaardlab) 's Twitter Profile Photo

Cerebrospinal fluid links the brain and peripheral sensory system and drives headache in migraine with aura! We’re excited to share our newest article just published today in Science Magazine . Please read along: science.org/doi/10.1126/sc…

Dimos Mitsikostas (@ddmitsikostas) 's Twitter Profile Photo

why we should not stop anti-CGRP prophylactic treatment for migraine for regulatory reasons - re-administration has less effectiveness of the treatment causing unnecessary suffering for our patients, acnr.co.uk/data-challenge…

International Headache Society (@ihs_official) 's Twitter Profile Photo

Our IHS leaders and committee members are proud to be participating in #MTIS2024. Let’s come together to advance headache care worldwide! 💡✨

Our IHS leaders and committee members are proud to be participating in #MTIS2024. Let’s come together to advance headache care worldwide! 💡✨
Michael Okun (@michaelokun) 's Twitter Profile Photo

Boom! Cerebrospinal fluid (CSF) flow extends to peripheral nerves. Alexander Ligocki, Ed Scott and colleagues FLORIDA UF Health blow our minds. New paper Science Advances. What will we call it now? Cerebro-spinal-nerve fluid (CSNF)? or maybe brain-spinal-nerve fluid (BSN)? Just when

Boom! Cerebrospinal fluid (CSF) flow extends to peripheral nerves. Alexander Ligocki, Ed Scott and colleagues <a href="/UF/">FLORIDA</a> <a href="/UFHealth/">UF Health</a> blow our minds.  New paper <a href="/ScienceAdvances/">Science Advances</a>. What will we call it now? Cerebro-spinal-nerve fluid (CSNF)? or maybe brain-spinal-nerve fluid (BSN)? Just when
Neurology Journal (@greenjournal) 's Twitter Profile Photo

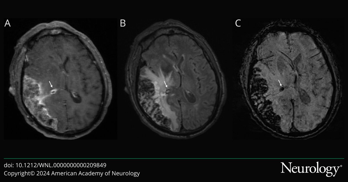
Basal ganglia ischemic stroke is a rare but known complication of minor head trauma in young children. Learn more in this Teaching NeuroImage article: bit.ly/3Zbmdk1 #NeurologyRF

Basal ganglia ischemic stroke is a rare but known complication of minor head trauma in young children. Learn more in this Teaching NeuroImage article: bit.ly/3Zbmdk1

#NeurologyRF
International Headache Society (@ihs_official) 's Twitter Profile Photo

Al-Khazali et al. show that individuals with migraine experience more problems related to neck pain compared to those with tension-type headache and healthy individuals without headache. journals.sagepub.com/doi/10.1177/03… #headache #migraine

Al-Khazali et al. show that individuals with migraine experience more problems related to neck pain compared to those with tension-type headache and healthy individuals without headache.
journals.sagepub.com/doi/10.1177/03…
#headache #migraine
Neurology Journal (@greenjournal) 's Twitter Profile Photo

NeuroImage: Angiostrongylus Pachymeningitis and Encephalitis With Extensive Parenchymal Involvement and Lack of CSF Eosinophilia bit.ly/47eEsaf #NeuroTwitter

NeuroImage: Angiostrongylus Pachymeningitis and Encephalitis With Extensive Parenchymal Involvement and Lack of CSF Eosinophilia bit.ly/47eEsaf

#NeuroTwitter
Simona Sacco (@simona_sacco_) 's Twitter Profile Photo

Proud to share new data on the short-term prognosis of minor ischemic stroke. With advancements in standard care, including DAPT and improved RF management, it's crucial to update figures and estimates. Matteo Foschi Raffaele Ornello Federico De Santis Eleonora

Theodoros Mavridis (@theodorosmavri2) 's Twitter Profile Photo

Precision for migraine treatment: Are we there yet?? Our new study suggests that there are clinical and biological features which associate with, and might be useful for predicting, migraine treatment responses... To find out more click the link below. journals.sagepub.com/doi/full/10.11…

International Headache Society (@ihs_official) 's Twitter Profile Photo

"Study challenges assumptions about migraine & brain health, finding no significant link to structural changes via MRI markers. Reassuring news for migraine sufferers, underscores need for further research. #Migraine #BrainHealth #headache #neurology journals.sagepub.com/doi/10.1177/03…

"Study challenges assumptions about migraine &amp; brain health, finding no significant link to structural changes via MRI markers. Reassuring news for migraine sufferers, underscores need for further research. #Migraine #BrainHealth #headache #neurology
journals.sagepub.com/doi/10.1177/03…
International Headache Society (@ihs_official) 's Twitter Profile Photo

Watch this video from Alexandre DaSilva, co-chair of the IHC 2025 Scientific Programme Committee! He warmly invites you to the first-ever Internationa Headache Congress in South America, where cutting-edge science meets the rich culture of #Brazil. Don’t miss it! #IHC2025

Michael Okun (@michaelokun) 's Twitter Profile Photo

Purple hands and purple feet of Multiple System Atrophy. This is a vasomotor autonomic dysfunction and nice paper in Journal of Parkinson's Disease by Campese and colleagues.

Purple hands and purple feet of Multiple System Atrophy. This is a vasomotor autonomic dysfunction and nice paper in <a href="/journal_PD/">Journal of Parkinson's Disease</a> by Campese and colleagues.
Neurology Journal (@greenjournal) 's Twitter Profile Photo

This study assessed duration of benefit and risk of clopidogrel-aspirin in patients with mild ischemic #stroke or transient ischemic attack. Learn more: bit.ly/3TAaLe8

This study assessed duration of benefit and risk of clopidogrel-aspirin in patients with mild ischemic #stroke or transient ischemic attack. Learn more: bit.ly/3TAaLe8