Raoud Abderrezak | M.D (@raoudabderrezak) 's Twitter Profile
Raoud Abderrezak | M.D

@raoudabderrezak

Neurosurgery résident 🧠| Creative Graphic Designer |

ID: 938524742864244736

calendar_today06-12-2017 21:45:10

8,8K Tweet

274 Takipçi

3,3K Takip Edilen

A.Ajlan | د.عبدالرزاق عجلان (@abdulrazagajlan) 's Twitter Profile Photo

أورام الدماغ: شرح مبسط بالعربية -أورام المخ exeeria.page.link/ZcikTm8xJNVKUf… -الأورام السحائية exeeria.page.link/T9TnGs77gUG9Gv… -أورام الغدة النخامية exeeria.page.link/4XKMmmex3oyL7D… - الورم الأرومي الدبقي exeeria.page.link/3tuD6xExo291Lc… - جراحة المخ بالمنظار exeeria.page.link/33GgE44v3e7uvh…

رَوانــ 𓂆 (@rawanatallah_77) 's Twitter Profile Photo

قَالَ مُعَاذُ بْنُ جَبَلٍ: "مَا شَيْءٌ أَنْجَى مِنْ عَذَابِ اللَّهِ مِنْ ذِكْرِ اللَّهِ"

قَالَ مُعَاذُ بْنُ جَبَلٍ: "مَا شَيْءٌ أَنْجَى مِنْ عَذَابِ اللَّهِ مِنْ ذِكْرِ اللَّهِ"
Radiology Masterclass (@radmasterclass) 's Twitter Profile Photo

CT BRAIN 22: What is the intracranial abnormality? How does the bone window (inset) help determine the cause in this unconscious patient? Answer - buff.ly/3DV3OiK

CT BRAIN 22: What is the intracranial abnormality? How does the bone window (inset) help determine the cause in this unconscious patient? Answer - buff.ly/3DV3OiK
Dr Navarro (@docnavarrow) 's Twitter Profile Photo

🧒A 6-year-old boy presented with intermittent episodes of urinary retention and constipation, without pain or limb weakness. Previous imaging had suggested diastematomyelia, but new studies revealed a different underlying spinal pathology. 🧑‍⚕️What’s the diagnosis?

🧒A 6-year-old boy presented with intermittent episodes of urinary retention and constipation, without pain or limb weakness. Previous imaging had suggested diastematomyelia, but new studies revealed a different underlying spinal pathology.

🧑‍⚕️What’s the diagnosis?
Neuroanatomy Research group (@neuroanatomyrg) 's Twitter Profile Photo

The Neuroanatomy Research Group is launching a series of oral mock exam sessions this Saturday (November 15, 2025) 🧠✨ A targeted group of participants has already been arranged—get ready for focused, high-yield preparation. 📚🔥 Full review of a Neurosurgical condition in one

The Neuroanatomy Research Group is launching a series of oral mock exam sessions this Saturday (November 15, 2025) 🧠✨

A targeted group of participants has already been arranged—get ready for focused, high-yield preparation. 📚🔥

Full review of a Neurosurgical condition in one
Dr Navarro (@docnavarrow) 's Twitter Profile Photo

🥴A 17-year-old male presented with a 4-year history of episodic generalized seizures and progressive headache. Three weeks before admission, he developed quadriparesis, urinary and fecal incontinence, and behavioral changes. What’s your diagnosis?

🥴A 17-year-old male presented with a 4-year history of episodic generalized seizures and progressive headache. Three weeks before admission, he developed quadriparesis, urinary and fecal incontinence, and behavioral changes.

What’s your diagnosis?
Dr Navarro (@docnavarrow) 's Twitter Profile Photo

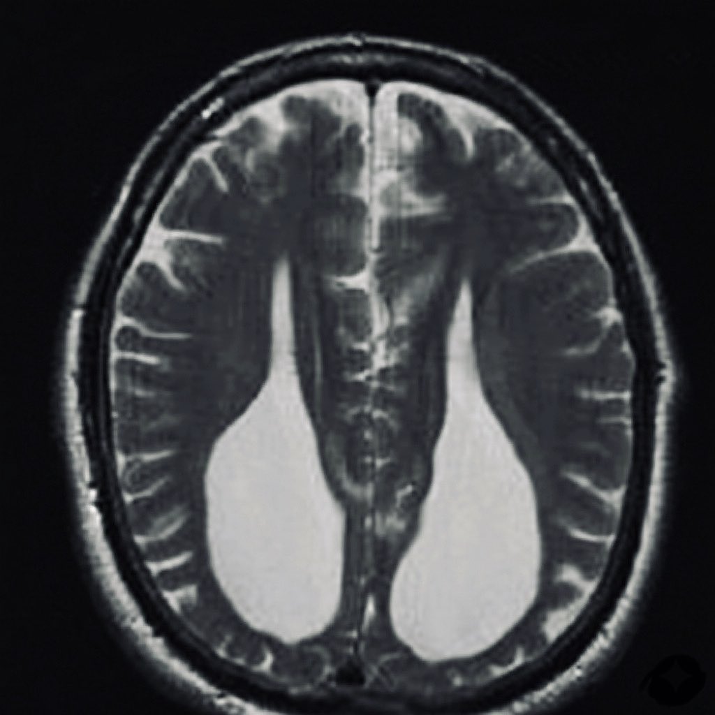
✅ Bilateral lateral ventricular epidermoid cyst These lesions usually show the combination of marked diffusion restriction with incomplete FLAIR suppression, even if CT shows near fat attenuation, a finding that can appear in cholesterol-rich epidermoids doi.org/10.1016/j.ijsc…

✅ Bilateral lateral ventricular epidermoid cyst

These lesions usually show the combination of marked diffusion restriction with incomplete FLAIR suppression, even if CT shows near fat attenuation, a finding that can appear in cholesterol-rich epidermoids
doi.org/10.1016/j.ijsc…
Megan Malueg (@megandmalueg) 's Twitter Profile Photo

These step-by-step papers with clear anatomical visuals were incredibly helpful during my sub-Is. They made the anatomy and approaches easier to understand and helped me get the most out of every case. Highly recommend for any student shadowing or rotating in #Neurosurgery.

Lea Alhilali, MD (@teachplaygrub) 's Twitter Profile Photo

1/Time to go with the flow! Hoping no one notices you don’t know the anatomy of internal carotid (ICA)? Do you say “carotid siphon” & hope no one asks for more detail? Here’s a thread to help you siphon off some information about ICA anatomy!

1/Time to go with the flow!

Hoping no one notices you don’t know the anatomy of internal carotid (ICA)? 

Do you say “carotid siphon” & hope no one asks for more detail?

Here’s a thread to help you siphon off some information about ICA anatomy!
Hatan Mortada | هتان مرتضى (@hatanmortada) 's Twitter Profile Photo

من أمتع المقالات اللي قرأتها مؤخرًا منشورة في JAMA، تشرح بشكل عملي وبسيط كيف تقرأ الـ Systematic Review والـ Meta-analysis وتطبق نتائجها في الممارسة السريرية كطبيب. المقال يوضح التفاصيل خطوة بخطوة، من تقييم مصداقية المنهجية إلى كيفية تفسير الثقة في الأدلة. بصراحة مفيد جدًا لأي

من أمتع المقالات اللي قرأتها مؤخرًا منشورة في JAMA، تشرح بشكل عملي وبسيط كيف تقرأ الـ Systematic Review والـ Meta-analysis وتطبق نتائجها في الممارسة السريرية كطبيب. 

المقال يوضح التفاصيل خطوة بخطوة، من تقييم مصداقية المنهجية إلى كيفية تفسير الثقة في الأدلة. بصراحة مفيد جدًا لأي
Neuroanatomy Research group (@neuroanatomyrg) 's Twitter Profile Photo

🧠 𝗕𝗿𝗮𝗶𝗻 𝗔𝗯𝘀𝗰𝗲𝘀𝗱 – Key Points ! ᶠᵒᶜᵃˡ ⁱⁿᵗʳᵃᶜʳᵃⁿⁱᵃˡ ⁱⁿᶠᵉᶜᵗⁱᵒⁿ 1- 𝗦𝗼𝘂𝗿𝗰𝗲𝗱: sinusitis, mastoiditis/otitis, hematogenous spread, trauma, post-op. 2- 𝗟𝗼𝗰𝗮𝘁𝗶𝗼𝗻𝘀: frontal & temporal lobes. 3- 𝗦𝘆𝗺𝗽𝘁𝗼𝗺𝘀: headache, fever, focal

🧠 𝗕𝗿𝗮𝗶𝗻 𝗔𝗯𝘀𝗰𝗲𝘀𝗱 – Key Points !
ᶠᵒᶜᵃˡ ⁱⁿᵗʳᵃᶜʳᵃⁿⁱᵃˡ ⁱⁿᶠᵉᶜᵗⁱᵒⁿ
1- 𝗦𝗼𝘂𝗿𝗰𝗲𝗱: sinusitis, mastoiditis/otitis, hematogenous spread, trauma, post-op.
2- 𝗟𝗼𝗰𝗮𝘁𝗶𝗼𝗻𝘀: frontal & temporal lobes.
3- 𝗦𝘆𝗺𝗽𝘁𝗼𝗺𝘀: headache, fever, focal
Selina (@selinatasnim1) 's Twitter Profile Photo

All Paid Courses (Free for First 4500 People) 𝗣𝗮𝗶𝗱 𝗖𝗼𝘂𝗿𝘀𝗲 𝗙𝗥𝗘𝗘 (PART - 2) 🎯 Social Media Marketing Course 🎯 WordPress Development Course 🎯 Facebook Ads Course 🎯 Search Engine Optimization 🎯 Email Marketing Course 🎯 Amazon Business 🎯 Fiverr Freelancing

All Paid Courses (Free for First 4500 People)

 𝗣𝗮𝗶𝗱 𝗖𝗼𝘂𝗿𝘀𝗲 𝗙𝗥𝗘𝗘 (PART - 2)

🎯 Social Media Marketing Course
🎯 WordPress Development Course
🎯 Facebook Ads Course
🎯 Search Engine Optimization
🎯 Email Marketing Course
🎯 Amazon Business
🎯 Fiverr Freelancing
Abdulhamid (@abdulhamid_199) 's Twitter Profile Photo

سوال نسبة صعوبته : ⭐️⭐️⭐️⭐️⭐️ جاك مريض للعيادة بهذا الشكل لما طلبت له اشعة brain CT لقيت فيها هذا البياض التشخيص هو ؟

سوال نسبة صعوبته : ⭐️⭐️⭐️⭐️⭐️

جاك مريض للعيادة بهذا الشكل 
لما طلبت له اشعة brain CT  
لقيت فيها هذا البياض  

التشخيص هو ؟
Dr Harun Yıldız (@drharunyildiz) 's Twitter Profile Photo

Bannayan–Riley–Ruvalcaba Syndrome doi.org/10.1007/s12672… dx.doi.org/10.3174/ajnr.A… #radiologicalillustration pixel by pixel handmade!

Bannayan–Riley–Ruvalcaba Syndrome

doi.org/10.1007/s12672…
dx.doi.org/10.3174/ajnr.A…

#radiologicalillustration
pixel by pixel handmade!