Presley M. Gruezo-Realpe (@r_gruezo) 's Twitter Profile
Presley M. Gruezo-Realpe

@r_gruezo

MD 🇪🇨 | «Memento Mori» | Research Amateur | Interested in Neurology and Public health.

ID: 1170782164104941568

linkhttps://orcid.org/0000-0003-0397-345X calendar_today08-09-2019 19:33:25

5,5K Tweet

822 Followers

1,1K Following

Claudio Alejandro 🕎 (@calejandroneuro) 's Twitter Profile Photo

Tratamiento crisis de migraña Leve a moderada ✅ Analgésicos simples: 🌟 Paracetamol (1 g) o AINE (ibuprofeno 400-600 mg, naproxeno 500-550 mg, ácido acetilsalicílico 900-1000 mg). 🌟 Combinaciones como paracetamol + AINE o paracetamol + cafeína pueden ser más efectivas. 🪐

Neurology Journal (@greenjournal) 's Twitter Profile Photo

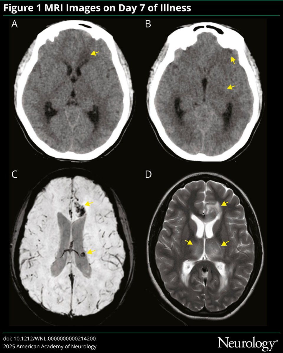
This #NeuroImage case highlights acute hemorrhagic necrotizing encephalitis as the initial radiologic manifestation of CNS tuberculosis: hubs.ly/Q03Mr25Z0

This #NeuroImage case highlights acute hemorrhagic necrotizing encephalitis as the initial radiologic manifestation of CNS tuberculosis: hubs.ly/Q03Mr25Z0
Alejandro (@pleuralpocus) 's Twitter Profile Photo

Mucho del examen físico que seguimos enseñando en 2025 es historia de la medicina, no medicina basada en evidencia. Si abrimos Rational Evidence-Based Physical Diagnosis de Steven McGee, el mensaje es contundente: ✅ Solo una minoría de las maniobras clásicas tiene valor

Mucho del examen físico que seguimos enseñando en 2025 es historia de la medicina, no medicina basada en evidencia.

Si abrimos Rational Evidence-Based Physical Diagnosis de Steven McGee, el mensaje es contundente:
✅ Solo una minoría de las maniobras clásicas tiene valor
Rosana Ferrero 📈📊🙌 (@rosanaferrero) 's Twitter Profile Photo

El p-valor debe interpretarse con cuidado: no nos dice si la hipótesis es verdadera; evalúa la evidencia contra la hipótesis nula; úsalo junto con el tamaño del efecto (e.g. MCID), los intervalos de confianza y el contexto del estudio. #stats #pvalor #pvalue #DataScience

Dr. Joshuan J. Barboza (@joshuanbarbozam) 's Twitter Profile Photo

Si quieres aprender investigación clínica, estas son lecturas obligatorias 🔍📚⁣ Fuentes de alto nivel, claras y prácticas para desarrollar criterio científico. ✅ NEJM – Clinical Trials Series nejm.org/clinical-trial… Explicaciones esenciales sobre el diseño, análisis e

Si quieres aprender investigación clínica, estas son lecturas obligatorias 🔍📚⁣
Fuentes de alto nivel, claras y prácticas para desarrollar criterio científico.
✅ NEJM – Clinical Trials Series
nejm.org/clinical-trial…
Explicaciones esenciales sobre el diseño, análisis e
Presley M. Gruezo-Realpe (@r_gruezo) 's Twitter Profile Photo

La investigación es la clave para transformar la salud pública. Las políticas de prevención y promoción solo funcionarán cuando sean producto de la mejor evidencia en territorio. Compartiendo lo que me apasiona: “Tiempo es cerebro y corazón”. Gracias a la PUCE Ecuador

La investigación es la clave para transformar la salud pública. Las políticas de prevención y promoción solo funcionarán cuando sean producto de la mejor evidencia en territorio. Compartiendo lo que me apasiona: “Tiempo es cerebro y corazón”. 
Gracias a la <a href="/PUCE_Ecuador/">PUCE Ecuador</a>
Pablo Malo (@pitiklinov) 's Twitter Profile Photo

Estudio en Australia. El abuso sexual infantil (especialmente en varones) es uno de los factores de riesgo más potentes y más ignorados para el suicidio en la edad adulta, pero casi toda la política pública australiana contra el suicidio se centra sólo en “salud mental” y pasa

Pablo Malo (@pitiklinov) 's Twitter Profile Photo

Un gran estudio genético con más de un millón de personas identificó que 14 trastornos psiquiátricos principales se agrupan en 5 categorías genéticas distintas, revelando solapamientos biológicos en lugar de divisiones estrictas. Las cinco categorías son: 1-Esquizofrenia,

Oscar Arias (@oacerebro) 's Twitter Profile Photo

La enfermedad de Parkinson es una paradoja biológica: una dolencia pequeña en su origen —la pérdida progresiva de neuronas dopaminérgicas en la sustancia nigra— con consecuencias enormes para el cuerpo y la mente. Es una enfermedad del movimiento, sí, pero también del tiempo, del

La enfermedad de Parkinson es una paradoja biológica: una dolencia pequeña en su origen —la pérdida progresiva de neuronas dopaminérgicas en la sustancia nigra— con consecuencias enormes para el cuerpo y la mente. Es una enfermedad del movimiento, sí, pero también del tiempo, del
Oscar Arias (@oacerebro) 's Twitter Profile Photo

Si bien la literatura biomédica ha avanzado enormemente en la recolección, modelización y análisis de datos —desde estudios clínicos hasta grandes cohortes epidemiológicas—, la interpretación estadística sigue siendo un punto débil que puede malograr conclusiones incluso cuando

Si bien la literatura biomédica ha avanzado enormemente en la recolección, modelización y análisis de datos —desde estudios clínicos hasta grandes cohortes epidemiológicas—, la interpretación estadística sigue siendo un punto débil que puede malograr conclusiones incluso cuando
Oscar Arias (@oacerebro) 's Twitter Profile Photo

Recuerdo muy bien mis primeros mil rechazos editoriales. Hoy veo a estudiantes jóvenes profundamente deprimidos porque les rechazan un manuscrito, y siempre les digo lo mismo: si no te han rechazado, es que todavía no estás haciendo ciencia de verdad. Jonas Ludvigsson

Recuerdo muy bien mis primeros mil rechazos editoriales. 

Hoy veo a estudiantes jóvenes profundamente deprimidos porque les rechazan un manuscrito, y siempre les digo lo mismo: si no te han rechazado, es que todavía no estás haciendo ciencia de verdad. <a href="/ludvigsson/">Jonas Ludvigsson</a>
Borja Cabal-Paz 🧠 (@borjacabal) 's Twitter Profile Photo

#Neurología y #Neurocirugía en el #MIR2026 🧠🗣🧶 Preguntas más sencillas, clínicas y variadas que en años previos. ¡Dentro hilo! 👇

Gonzalo Albán Molestina (@gonzaloalbanm) 's Twitter Profile Photo

Hay un país más allá de la foto para el Instagram. Hoy algunos se ahogan en la adicción al posteo de reuniones sin resultado y de gestiones sin impacto. Las redes desconectaron a algunos de la realidad porque su prioridad dejó de ser la gestión bien hecha y pasó a ser la foto

Jesús Endara-Mina, MD, ABG, MPH(c) (@endaraminamd) 's Twitter Profile Photo

Otra vez, la población afrodescendiente y empobrecida de Esmeraldas respira humo tóxico, vive sin información clara y enfrenta riesgos graves para su salud. Esto no es un accidente aislado. #AsambleaNacionalEcuador #ADN #RevoluciónCiudadana

Otra vez, la población afrodescendiente y empobrecida de Esmeraldas respira humo tóxico, vive sin información clara y enfrenta riesgos graves para su salud.
Esto no es un accidente aislado.

#AsambleaNacionalEcuador #ADN #RevoluciónCiudadana
Ismael Bernal Espinoza (@ismaelbernale) 's Twitter Profile Photo

Esta atrocidad ocurre en Esmeraldas, es indignante que la ministra Inés Manzano diga que todo está bien, tenemos el aire y el río contaminado, es aberrante. Sinvergüenzas en decir que no pasa nada, ni un solo gramo de dignidad ni de reparación, 2 derrames 2 incendios en 1 año.

Pepe Ruales (@peperuales) 's Twitter Profile Photo

Es 8.000 veces más probable de morir por Tuberculosis en la cárcel que afuera. No hay un epidemiólogo a cargo en el MSP, Subsecretarios y directores sin perfil técnico. Es evidente la incidencia semanal sobre el canal endémico durante todo el año 2025 (ver línea roja). 600