PRS Science (@prs_science) 's Twitter Profile
PRS Science

@prs_science

PRS Science department
@[email protected]
Showing what we do. Always looking to improve what we offer our students.

ID: 2386845080

linkhttps://sites.google.com/prsbucks.com/prsscience/ calendar_today13-03-2014 11:46:34

2,2K Tweet

584 Followers

306 Following

PRS Science (@prs_science) 's Twitter Profile Photo

What do people do to help your students understand the difference between nanoparticles bulk and nano scale properties? Thx

PRS Science (@prs_science) 's Twitter Profile Photo

So much to see and do. Great interactive museum. The tubes fill up with different gases and go different colours when electricity is run through them #enrichment week

So much to see and do.  Great interactive museum.   The tubes fill up with different gases and go different colours when electricity is run through them 
 #enrichment week
PRS Science (@prs_science) 's Twitter Profile Photo

Plenty to really get our students thinking CERN today. Which way will the electron beam bend due to the magnetic field? #aspireandchallenge

PRS Science (@prs_science) 's Twitter Profile Photo

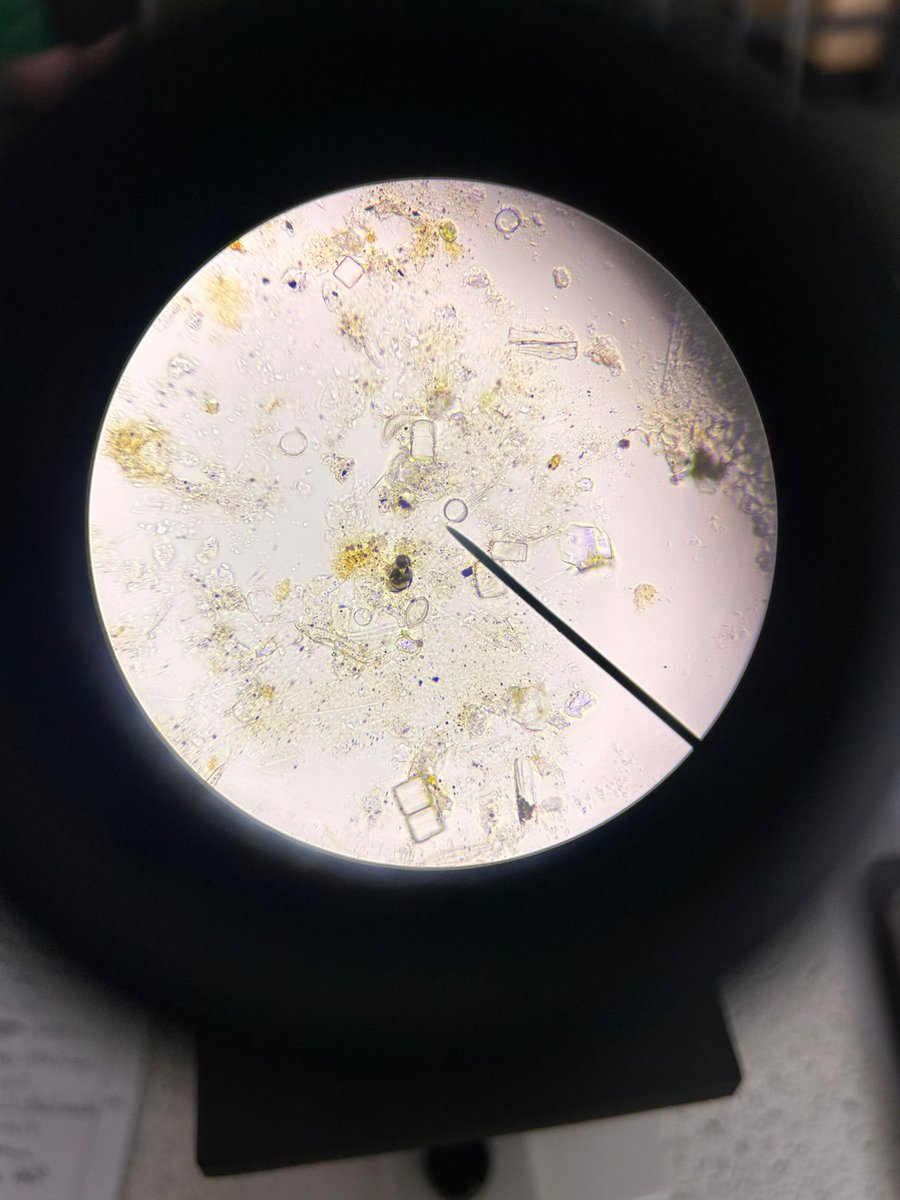
Year 7 are continuing on with their investigations using microscopes after their moss safaris. Today it is diatoms (can you spot them) with our fabulous external guest Tom.

Year 7 are continuing on with their investigations using microscopes after their moss safaris.  Today it is diatoms (can you spot them) with our fabulous external guest Tom.
PRS Science (@prs_science) 's Twitter Profile Photo

Said goodbye to our senior science technician today after 19 years. Technicians are the glue behind the scenes in science depts. We wish her every happiness pursuing term time holidays and continuing to support technicians in the Bucks Tech network.

Said goodbye to our senior science technician today after 19 years.  Technicians are the glue behind the scenes in science depts.  We wish her every happiness pursuing term time holidays and continuing to support technicians in the Bucks Tech network.
PRS Science (@prs_science) 's Twitter Profile Photo

Looking forward to catching up with you if you are coming in for your results tomorrow. Miss Watkins, Ms Riggien, Miss Pearce and Dr Lintott will be in school to help/celebrate if you need them. 🤞

Princes Risborough School (@princesrisbsch) 's Twitter Profile Photo

Congratulations to our wonderful GCSE & BTEC students on a fantastic set of results! Your hard work and commitment has paid off and we are exceptionally proud of you all. We are thrilled to welcome many of you back to our Sixth Form in September. #GCSEResults #AspireandAchieve

Congratulations to our wonderful GCSE & BTEC students on a fantastic set of results! Your hard work and commitment has paid off and we are exceptionally proud of you all. We are thrilled to welcome many of you back to our Sixth Form in September. #GCSEResults #AspireandAchieve
Princes Risborough School (@princesrisbsch) 's Twitter Profile Photo

How fantastic is this "Chemis-tree" as designed by our brilliant Science Technicians using resources from the lab!? #prs #aspireandachieve

How fantastic is this "Chemis-tree" as designed by our brilliant Science Technicians using resources from the lab!?

#prs #aspireandachieve